电话:
+86 (0512) 65829739
传真:
+86 (010) 6788 5057
电子邮件:
orders@antibodies-online.cn

Recombinant ErbB2/Her2 (Trastuzumab Biosimilar) 抗体

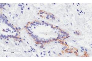
The 兔 Chimeric anti-ErbB2/Her2 (Trastuzumab Biosimilar) antibody is suitable to detect ErbB2/Her2 (Trastuzumab Biosimilar) in samples from 人. It has been validated for FACS, ELISA 和 IHC.
产品编号 ABIN5668227
发货至: 中国
Contact our Customer Service for availability and price in your country. Contact Info

Our Local Distributor

中国
北京 101111
No. 88 KeChuang 6th Street
Beijing Economic Technological Development Area
Room 801-803
4A Biotech Co.,Ltd.
Tel +86 (0512) 65829739 传真 +86 (010) 6788 5057

Quick Overview for Recombinant ErbB2/Her2 (Trastuzumab Biosimilar) 抗体 (ABIN5668227)

抗原

ErbB2/Her2 (Trastuzumab Biosimilar)

抗体类型

Recombinant Antibody

适用

宿主

  • 7
  • 1
  • 1
  • 1

克隆类型

  • 8
  • 2
Chimeric

标记

  • 9
  • 1
This ErbB2/Her2 (Trastuzumab Biosimilar) antibody is un-conjugated

应用范围

  • 8
  • 4
  • 4
  • 2
Flow Cytometry (FACS), ELISA, Immunohistochemistry (IHC)

克隆位点

4D5-8
  • 原理

    Anti-erbB-2 (Her-2/neu) [4D5-8 (trastuzumab)], Rabbit IgG, kappa

    特异性

    Oncogenic protein Her-2/neu (erbB-2), a member of the family of epidermal growth factor (EGF) receptors, overexpressed in 30 % of invasive breast cancers and 70 % of ductal carcinomata in situ, in a small percentage of melanomas, and in other malignancies originating from various organs, including ovary, kidney, colon, and bladder.

    产品特性

    Original Species of Ab: Human

    Original Format of Ab: IgG1

    纯化方法

    Protein A affinity purified

    纯度

    > 98 % as determined by SDS-PAGE

    内毒素水平

    Endotoxin is < 1.0 EU/mg as determined by the LAL method

    免疫原

    A431 cells (human epidermoid carcinoma) (over)expressing EGFR.

    亚型

    IgG kappa
  • 应用备注

    This antibody binds to erbB-2/Her-2/neu has therapeutic indications particularly in the treatment of breast cancer (c.f. Herceptin). It can also be used to detect HER-2 by flow cytometry or IHC (Glazyrin 2007).

    说明

    This chimeric rabbit antibody was made using the variable domain sequences of the original Human IgG1 format, for improved compatibility with existing reagents, assays and techniques.

    限制

    仅限研究用
  • 浓度

    1 mg/mL

    缓冲液

    PBS with 0.02 % Proclin 300.

    储存液

    ProClin

    注意事项

    This product contains ProClin: a POISONOUS AND HAZARDOUS SUBSTANCE which should be handled by trained staff only.

    储存条件

    4 °C,-20 °C

    储存方法

    Store at 4°C for up to 3 months. For longer storage, aliquot and store at -20°C.
  • 抗原

    ErbB2/Her2 (Trastuzumab Biosimilar)

    物质类

    Biosimilar

    背景

    CD340, Metastatic lymph node gene 19 protein (MLN 19), Proto-oncogene Neu, Proto-oncogene c-ErbB-2, Tyrosine kinase-type cell surface receptor HER2, p185erbB2, p185HER2, EGFR

    UniProt

    P04626
You are here: