电话:
+86 (0512) 65829739
传真:
+86 (010) 6788 5057
电子邮件:
orders@antibodies-online.cn

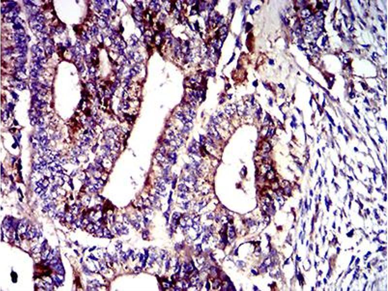
LAMP2 抗体 (AA 29-168)

The 小鼠 单克隆 anti-LAMP2 antibody is suitable to detect LAMP2 in samples from 人. It has been validated for IHC, FACS 和 ELISA.
产品编号 ABIN5611242
发货至: 中国
Contact our Customer Service for availability and price in your country. Contact Info

Our Local Distributor

中国
北京 101111
No. 88 KeChuang 6th Street
Beijing Economic Technological Development Area
Room 801-803
4A Biotech Co.,Ltd.
Tel +86 (0512) 65829739 传真 +86 (010) 6788 5057

Quick Overview for LAMP2 抗体 (AA 29-168) (ABIN5611242)

抗原

See all LAMP2 抗体
LAMP2 (Lysosomal-Associated Membrane Protein 2 (LAMP2))

适用

  • 152
  • 83
  • 47
  • 16
  • 3
  • 3
  • 2
  • 1

宿主

  • 118
  • 46
  • 32
小鼠

克隆类型

  • 119
  • 76
单克隆

标记

  • 67
  • 20
  • 20
  • 13
  • 10
  • 6
  • 6
  • 6
  • 5
  • 5
  • 5
  • 5
  • 3
  • 3
  • 2
  • 2
  • 1
  • 1
  • 1
  • 1
  • 1
  • 1
  • 1
  • 1
  • 1
  • 1
  • 1
  • 1
  • 1
  • 1
  • 1
  • 1
  • 1
  • 1
This LAMP2 antibody is un-conjugated

应用范围

  • 137
  • 77
  • 64
  • 44
  • 43
  • 37
  • 35
  • 13
  • 13
  • 13
  • 10
  • 7
  • 5
  • 3
  • 1
  • 1
Immunohistochemistry (IHC), Flow Cytometry (FACS), ELISA

克隆位点

6A10H10
  • 抗原表位

    • 16
    • 8
    • 8
    • 8
    • 6
    • 6
    • 2
    • 2
    • 2
    • 2
    • 2
    • 1
    • 1
    • 1
    • 1
    • 1
    • 1
    • 1
    • 1
    • 1
    • 1
    AA 29-168

    原理

    CD107b Antibody

    纯化方法

    Purified antibody

    免疫原

    Purified recombinant fragment of human CD107b (AA: 29-168) expressed in E. Coli.

    亚型

    IgG1
  • 应用备注

    ELISA: 1/10000

    FCM: 1/200 - 1/400

    限制

    仅限研究用
  • 状态

    Liquid

    缓冲液

    Purified antibody in PBS with 0.05 % sodium azide.

    储存液

    Sodium azide

    注意事项

    This product contains Sodium azide: a POISONOUS AND HAZARDOUS SUBSTANCE which should be handled by trained staff only.

    储存条件

    4 °C,-20 °C

    储存方法

    Store at 4°C short term. Aliquot and store at -20°C long term. Avoid freeze/thaw cycles.
  • 抗原

    LAMP2 (Lysosomal-Associated Membrane Protein 2 (LAMP2))

    别名

    CD107b

    背景

    The protein encoded by this gene is a member of a family of membrane glycoproteins. This glycoprotein provides selectins with carbohydrate ligands. It may play a role in tumor cell metastasis. It may also function in the protection, maintenance, and adhesion of the lysosome. Alternative splicing of this gene results in multiple transcript variants encoding distinct proteins.

    分子量

    45 kDa

    UniProt

    P13473

    途径

    Autophagy
You are here: