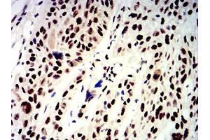
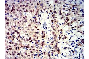
APEX1 抗体 (AA 219-318)
Our Local Distributor
北京 101111
Quick Overview for APEX1 抗体 (AA 219-318) (ABIN5611191)
抗原
See all APEX1 抗体适用
宿主
克隆类型
标记
应用范围
克隆位点
-
-
抗原表位
- AA 219-318
-
原理
- APEX1 Antibody
-
纯化方法
- Purified antibody
-
免疫原
- Purified recombinant fragment of human APEX1 (AA: 219-318) expressed in E. Coli.
-
亚型
- IgG1
-
-
-
-
应用备注
-
ELISA: 1/10000
FCM: 1/200 - 1/400
-
限制
- 仅限研究用
-
-
-
状态
- Liquid
-
缓冲液
- Purified antibody in PBS with 0.05 % sodium azide.
-
储存液
- Sodium azide
-
注意事项
- This product contains Sodium azide: a POISONOUS AND HAZARDOUS SUBSTANCE which should be handled by trained staff only.
-
储存条件
- 4 °C,-20 °C
-
储存方法
- Store at 4°C short term. Aliquot and store at -20°C long term. Avoid freeze/thaw cycles.
-
-
- APEX1 (Apurinic/Apyrimidinic Endonuclease 1 (APEX1))
-
别名
- APEX1
-
背景
-
Apurinic/apyrimidinic (AP) sites occur frequently in DNA molecules by spontaneous hydrolysis, by DNA damaging agents or by DNA glycosylases that remove specific abnormal bases. AP sites are pre-mutagenic lesions that can prevent normal DNA replication so the cell contains systems to identify and repair such sites. Class II AP endonucleases cleave the phosphodiester backbone 5' to the AP site. This gene encodes the major AP endonuclease in human cells. Splice variants have been found for this gene, all encode the same protein.
-
分子量
- 35.6 kDa
-
基因ID
- 328
-
UniProt
- P27695
-
途径
- DNA Damage Repair, Chromatin Binding, Cell RedoxHomeostasis, Smooth Muscle Cell Migration, Positive Regulation of Response to DNA Damage Stimulus
抗原
-