电话:
+86 (0512) 65829739
传真:
+86 (010) 6788 5057
电子邮件:
orders@antibodies-online.cn

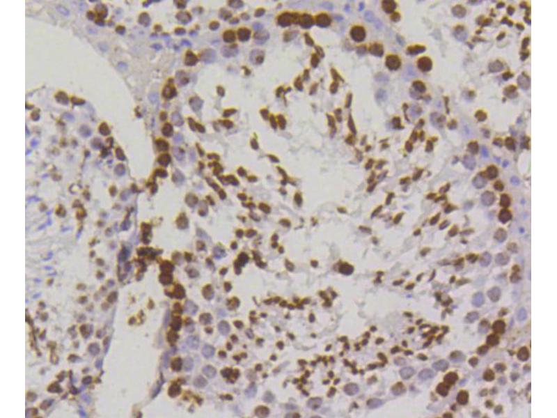
H2AFX 抗体 (pSer139)

This 兔 单克隆 antibody specifically detects H2AFX in WB 和 IHC (p). It exhibits reactivity toward 人, 小鼠 和 大鼠.
产品编号 ABIN5557485
发货至: 中国
Contact our Customer Service for availability and price in your country. Contact Info

Our Local Distributor

中国
北京 101111
No. 88 KeChuang 6th Street
Beijing Economic Technological Development Area
Room 801-803
4A Biotech Co.,Ltd.
Tel +86 (0512) 65829739 传真 +86 (010) 6788 5057

Quick Overview for H2AFX 抗体 (pSer139) (ABIN5557485)

抗原

See all H2AFX 抗体
H2AFX (H2A Histone Family, Member X (H2AFX))

适用

  • 203
  • 103
  • 89
  • 25
  • 25
  • 19
  • 15
  • 11
  • 8
  • 3
  • 2
  • 2
  • 2
  • 1
  • 1
  • 1
人, 小鼠, 大鼠

宿主

  • 180
  • 23
  • 2
  • 2

克隆类型

  • 121
  • 86
单克隆

标记

  • 122
  • 10
  • 6
  • 6
  • 6
  • 6
  • 6
  • 6
  • 5
  • 4
  • 4
  • 3
  • 2
  • 2
  • 2
  • 2
  • 2
  • 2
  • 2
  • 2
  • 2
  • 2
  • 1
  • 1
  • 1
This H2AFX antibody is un-conjugated

应用范围

  • 174
  • 90
  • 72
  • 55
  • 45
  • 31
  • 30
  • 27
  • 25
  • 16
  • 8
  • 4
  • 4
  • 3
  • 2
  • 2
  • 2
  • 2
  • 1
  • 1
Western Blotting (WB), Immunohistochemistry (Paraffin-embedded Sections) (IHC (p))

克隆位点

1C14
  • 抗原表位

    • 41
    • 21
    • 18
    • 9
    • 5
    • 5
    • 5
    • 5
    • 3
    • 3
    • 3
    • 3
    • 3
    • 2
    • 2
    • 2
    • 2
    • 2
    • 2
    • 1
    • 1
    • 1
    • 1
    • 1
    • 1
    • 1
    • 1
    • 1
    • 1
    • 1
    • 1
    • 1
    • 1
    • 1
    • 1
    • 1
    • 1
    • 1
    • 1
    • 1
    • 1
    • 1
    • 1
    pSer139

    交叉反应

    人, 小鼠, 大鼠

    纯化方法

    Purified by Protein A.

    免疫原

    KLH conjugated Synthesised phosphopeptide derived from human Histone H2AX around the phosphorylation site of Ser139:QA(p-S)QE.

    亚型

    IgG
  • 应用备注

    WB 1:300-5000
    IHC-P 1:200-400

    限制

    仅限研究用
  • 状态

    Liquid

    浓度

    1 μg/μL

    缓冲液

    Aqueous buffered solution containing 1xTBS ( pH 7.4), 1 % BSA, 40 %Glycerol and 0.05 % Sodium Azide.

    储存液

    ProClin

    注意事项

    This product contains ProClin: a POISONOUS AND HAZARDOUS SUBSTANCE, which should be handled by trained staff only.

    储存条件

    4 °C,-20 °C

    储存方法

    Shipped at 4°C. Store at -20°C for one year. Avoid repeated freeze/thaw cycles.

    有效期

    12 months
  • 抗原

    H2AFX (H2A Histone Family, Member X (H2AFX))

    别名

    Histone H2A.X

    背景

    Synonyms: H2A histone family member X, Histone H2A.x, H2afx, H2a.x, H2ax, Hist5-2ax, H2A.X, H2A/X, H2AX, H2AFX, H2AX_HUMAN.

    Background: Histones are basic nuclear proteins that are responsible for the nucleosome structure of the chromosomal fiber in eukaryotes. Two molecules of each of the four core histones (H2A, H2B, H3, and H4) form an octamer, around which approximately 146 bp of DNA is wrapped in repeating units, called nucleosomes. The linker histone, H1, interacts with linker DNA between nucleosomes and functions in the compaction of chromatin into higher order structures. This gene encodes a member of the histone H2A family, and generates two transcripts through the use of the conserved stem-loop termination motif, and the polyA addition motif. [provided by RefSeq, Jul 2008].

    基因ID

    3014

    UniProt

    P16104

    途径

    Telomere Maintenance, DNA Damage Repair, Positive Regulation of Response to DNA Damage Stimulus
You are here: