电话:
+86 (0512) 65829739
传真:
+86 (010) 6788 5057
电子邮件:
orders@antibodies-online.cn

Cyclin D1 抗体

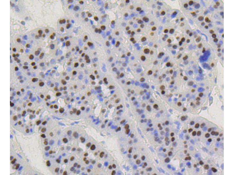
This 兔 单克隆 antibody specifically detects Cyclin D1 in WB, IHC (p) 和 IF (cc). It exhibits reactivity toward 人.
产品编号 ABIN5557293
发货至: 中国
Contact our Customer Service for availability and price in your country. Contact Info

Our Local Distributor

中国
北京 101111
No. 88 KeChuang 6th Street
Beijing Economic Technological Development Area
Room 801-803
4A Biotech Co.,Ltd.
Tel +86 (0512) 65829739 传真 +86 (010) 6788 5057

Quick Overview for Cyclin D1 抗体 (ABIN5557293)

抗原

See all Cyclin D1 (CCND1) 抗体
Cyclin D1 (CCND1)

适用

  • 235
  • 134
  • 126
  • 42
  • 21
  • 18
  • 17
  • 12
  • 9
  • 9
  • 3
  • 3
  • 3
  • 3
  • 2
  • 2
  • 2
  • 1
  • 1
  • 1
  • 1

宿主

  • 186
  • 76
  • 1

克隆类型

  • 162
  • 99
单克隆

标记

  • 129
  • 25
  • 15
  • 6
  • 4
  • 4
  • 4
  • 4
  • 4
  • 4
  • 4
  • 4
  • 4
  • 4
  • 4
  • 4
  • 4
  • 3
  • 3
  • 2
  • 2
  • 2
  • 2
  • 2
  • 2
  • 2
  • 2
  • 2
  • 2
  • 2
  • 2
  • 2
  • 1
  • 1
  • 1
  • 1
This Cyclin D1 antibody is un-conjugated

应用范围

  • 197
  • 86
  • 68
  • 63
  • 51
  • 44
  • 37
  • 27
  • 27
  • 23
  • 19
  • 11
  • 11
  • 6
  • 5
  • 4
  • 3
  • 2
  • 2
  • 2
  • 1
  • 1
  • 1
Western Blotting (WB), Immunohistochemistry (Paraffin-embedded Sections) (IHC (p)), Immunofluorescence (Cultured Cells) (IF (cc))

克隆位点

2H4
  • 交叉反应

    纯化方法

    Purified by Protein A.

    免疫原

    Recombinant human Cyclin D1 protein, around C-terminal 150aa.

    亚型

    IgG
  • 应用备注

    WB 1:300-5000
    IHC-P 1:200-400
    IF(ICC) 1:50-200

    限制

    仅限研究用
  • 状态

    Liquid

    浓度

    1 μg/μL

    缓冲液

    Aqueous buffered solution containing 1xTBS ( pH 7.4), 1 % BSA, 40 %Glycerol and 0.05 % Sodium Azide.

    储存液

    ProClin

    注意事项

    This product contains ProClin: a POISONOUS AND HAZARDOUS SUBSTANCE, which should be handled by trained staff only.

    储存条件

    4 °C,-20 °C

    储存方法

    Shipped at 4°C. Store at -20°C for one year. Avoid repeated freeze/thaw cycles.

    有效期

    12 months
  • 抗原

    Cyclin D1 (CCND1)

    别名

    Cyclin D1

    背景

    Synonyms: Cyclin D1 phospho T286, p-Cyclin D1 phospho T286, AI327039, B cell ccl/lymphoma 1, B cell leukemia 1, B-cell CLL/lymphoma 1, B-cell leukemia 1, B-cell lymphoma 1 protein, BCL-1, BCL1, BCL1 oncogene, CCND 1, CCND1, CCND1 protein, CCND1/FSTL3 fusion gene, included, CCND1/IGHG1 fusion gene, CCND1/IGHG1 fusion gene, included, CCND1/IGLC1 fusion gene, included, CCND1/PTH fusion gene, included, cD1, Cyclin D1, Cyl-1, D11S287E, G1/S specic cyclin D1, MGC137744, Parathyroid adenomatosis 1, PRAD1, PRAD1 oncogene, U21B31, CCND1_HUMAN.

    Background: The protein encoded by this gene belongs to the highly conserved cyclin family, whose members are characterized by a dramatic periodicity in protein abundance throughout the cell cycle. Cyclins function as regulators of CDK kinases. Different cyclins exhibit distinct expression and degradation patterns which contribute to the temporal coordination of each mitotic event. This cyclin forms a complex with and functions as a regulatory subunit of CDK4 or CDK6, whose activity is required for cell cycle G1/S transition. This protein has been shown to interact with tumor suppressor protein Rb and the expression of this gene is regulated positively by Rb. Mutations, amplification and overexpression of this gene, which alters cell cycle progression, are observed frequently in a variety of tumors and may contribute to tumorigenesis. [provided by RefSeq, Jul 2008].

    基因ID

    595

    UniProt

    P24385

    途径

    PI3K-Akt Signaling, Cell Division Cycle, Mitotic G1-G1/S Phases, ER-Nucleus Signaling
You are here: