电话:
+86 (0512) 65829739
传真:
+86 (010) 6788 5057
电子邮件:
orders@antibodies-online.cn

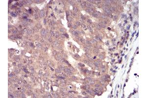
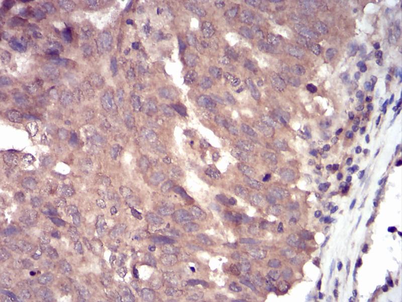
SSH1 抗体 (AA 1032-1044)

The 小鼠 单克隆 anti-SSH1 antibody is suitable to detect SSH1 in samples from 人. It has been validated for ELISA, IHC 和 FACS.
产品编号 ABIN5542668
发货至: 中国
Contact our Customer Service for availability and price in your country. Contact Info

Our Local Distributor

中国
北京 101111
No. 88 KeChuang 6th Street
Beijing Economic Technological Development Area
Room 801-803
4A Biotech Co.,Ltd.
Tel +86 (0512) 65829739 传真 +86 (010) 6788 5057

Quick Overview for SSH1 抗体 (AA 1032-1044) (ABIN5542668)

抗原

See all SSH1 抗体
SSH1 (Slingshot Homolog 1 (SSH1))

适用

  • 38
  • 5
  • 4
  • 3

宿主

  • 25
  • 13
小鼠

克隆类型

  • 26
  • 12
单克隆

标记

  • 21
  • 4
  • 3
  • 2
  • 1
  • 1
  • 1
  • 1
  • 1
  • 1
  • 1
  • 1
This SSH1 antibody is un-conjugated

应用范围

  • 26
  • 20
  • 4
  • 3
  • 3
  • 3
  • 2
  • 1
ELISA, Immunohistochemistry (IHC), Flow Cytometry (FACS)

克隆位点

6C11G9
  • 抗原表位

    • 8
    • 4
    • 3
    • 3
    • 2
    • 2
    • 2
    • 1
    • 1
    • 1
    • 1
    • 1
    • 1
    • 1
    • 1
    • 1
    AA 1032-1044

    原理

    SLINGSHOT-1L Antibody

    纯化方法

    Purified antibody

    免疫原

    Synthesized peptide fragment of human SLINGSHOT-1L (AA: 1032-1044 ) expressed in E. Coli.

    亚型

    IgG1
  • 应用备注

    ELISA: 1/10000

    FCM: 1/200 - 1/400

    限制

    仅限研究用
  • 状态

    Liquid

    缓冲液

    Purified antibody in PBS with 0.05 % sodium azide.

    储存液

    Sodium azide

    注意事项

    This product contains Sodium azide: a POISONOUS AND HAZARDOUS SUBSTANCE which should be handled by trained staff only.

    储存条件

    4 °C,-20 °C

    储存方法

    Store at 4°C short term. Aliquot and store at -20°C long term. Avoid freeze/thaw cycles.
  • 抗原

    SSH1 (Slingshot Homolog 1 (SSH1))

    别名

    SLINGSHOT-1L

    背景

    The protein encoded by this gene belongs to the slingshot homolog (SSH) family of phosphatases, which regulate actin filament dynamics. The SSH proteins dephosphorylate and activate the actin binding/depolymerizing factor cofilin, which subsequently binds to actin filaments and stimulates their disassembly. Cofilin is inactivated by kinases such as LIM domain kinase-1 (LIMK1), which may also be dephosphorylated and inactivated by SSH proteins. The SSH family thus appears to play a role in actin dynamics by reactivating cofilin proteins. Alternatively spliced transcript variants encoding different isoforms have been described for this gene.

    分子量

    115.5 kDa

    基因ID

    54434

    UniProt

    Q8WYL5

    途径

    CXCR4-mediated Signaling Events
You are here: