电话:
+86 (0512) 65829739
传真:
+86 (010) 6788 5057
电子邮件:
orders@antibodies-online.cn

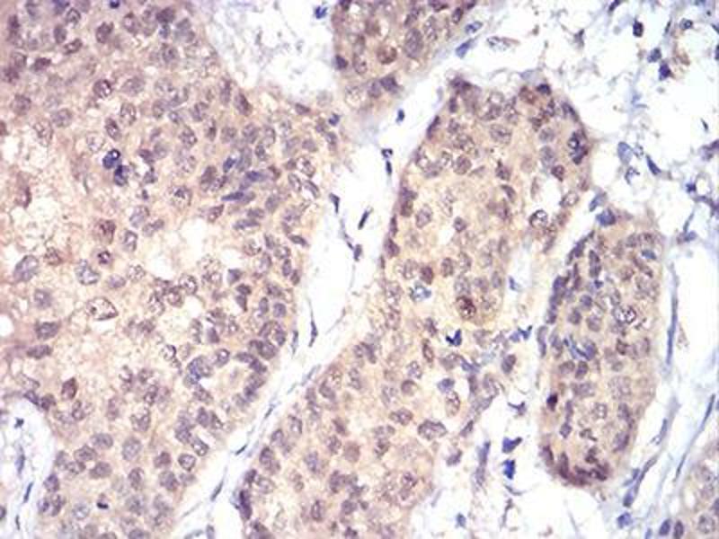
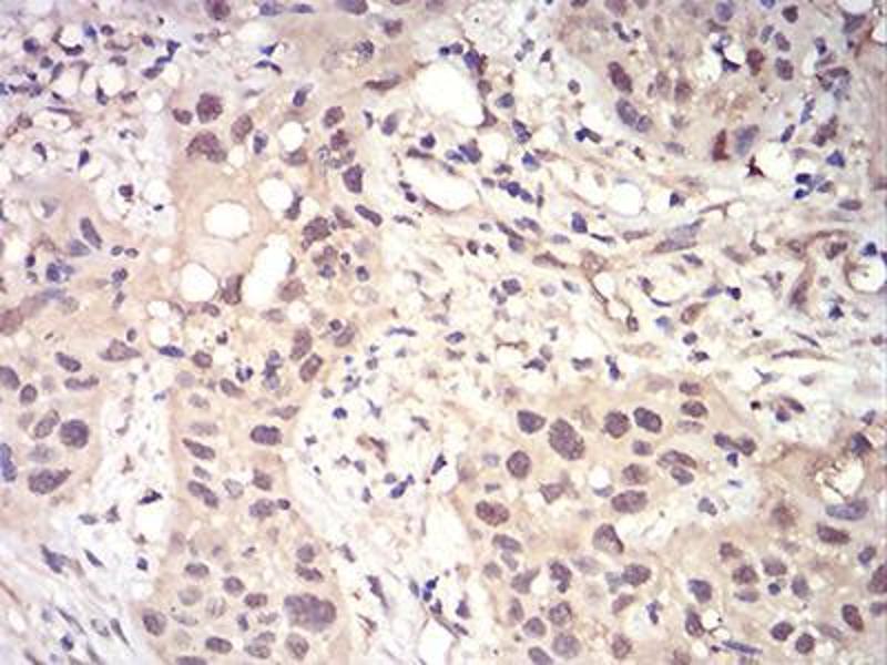
RAD23A 抗体 (AA 1-363)

This 小鼠 单克隆 antibody specifically detects RAD23A in ELISA, IHC 和 FACS. It exhibits reactivity toward 人.
产品编号 ABIN5542637
发货至: 中国
Contact our Customer Service for availability and price in your country. Contact Info

Our Local Distributor

中国
北京 101111
No. 88 KeChuang 6th Street
Beijing Economic Technological Development Area
Room 801-803
4A Biotech Co.,Ltd.
Tel +86 (0512) 65829739 传真 +86 (010) 6788 5057

Quick Overview for RAD23A 抗体 (AA 1-363) (ABIN5542637)

抗原

See all RAD23A 抗体
RAD23A (RAD23 Homolog A (RAD23A))

适用

  • 76
  • 32
  • 28
  • 6
  • 4
  • 4
  • 4
  • 3
  • 3
  • 3
  • 2

宿主

  • 72
  • 2
  • 2
小鼠

克隆类型

  • 61
  • 15
单克隆

标记

  • 36
  • 5
  • 4
  • 2
  • 2
  • 2
  • 2
  • 2
  • 2
  • 2
  • 2
  • 2
  • 1
  • 1
  • 1
  • 1
  • 1
  • 1
  • 1
  • 1
  • 1
  • 1
  • 1
  • 1
  • 1
This RAD23A antibody is un-conjugated

应用范围

  • 64
  • 28
  • 16
  • 14
  • 14
  • 13
  • 8
  • 5
  • 4
  • 3
  • 1
  • 1
  • 1
  • 1
ELISA, Immunohistochemistry (IHC), Flow Cytometry (FACS)

克隆位点

3E3F4
  • 抗原表位

    • 15
    • 6
    • 6
    • 5
    • 5
    • 4
    • 2
    • 1
    • 1
    • 1
    • 1
    • 1
    • 1
    • 1
    • 1
    • 1
    • 1
    • 1
    AA 1-363

    原理

    RAD23A Antibody

    纯化方法

    Purified antibody

    免疫原

    Purified recombinant fragment of human RAD23A (AA: 1-363) expressed in E. Coli.

    亚型

    IgG2b
  • 应用备注

    ELISA: 1/10000

    FCM: 1/200 - 1/400

    限制

    仅限研究用
  • 状态

    Liquid

    缓冲液

    Purified antibody in PBS with 0.05 % sodium azide.

    储存液

    Sodium azide

    注意事项

    This product contains Sodium azide: a POISONOUS AND HAZARDOUS SUBSTANCE which should be handled by trained staff only.

    储存条件

    4 °C,-20 °C

    储存方法

    Store at 4°C short term. Aliquot and store at -20°C long term. Avoid freeze/thaw cycles.
  • 抗原

    RAD23A (RAD23 Homolog A (RAD23A))

    别名

    RAD23A

    背景

    The protein encoded by this gene is one of two human homologs of Saccharomyces cerevisiae Rad23, a protein involved in nucleotide excision repair. Proteins in this family have a modular domain structure consisting of an ubiquitin-like domain (UbL), ubiquitin-associated domain 1 (UbA1), XPC-binding domain and UbA2. The protein encoded by this gene plays an important role in nucleotide excision repair and also in delivery of polyubiquitinated proteins to the proteasome. Alternative splicing results in multiple transcript variants encoding multiple isoforms.

    分子量

    40 kDa

    基因ID

    5886

    UniProt

    P54725

    途径

    DNA Damage Repair
You are here: