电话:
+86 (0512) 65829739
传真:
+86 (010) 6788 5057
电子邮件:
orders@antibodies-online.cn

GLRA1 抗体 (Internal Region)

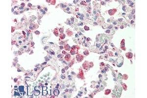
The 山羊 多克隆 anti-GLRA1 antibody (ABIN5539834) specifically detects GLRA1 in WB, ELISA 和 IHC. The antibody is reactive with 人, 大鼠 和 小鼠 samples.
产品编号 ABIN5539834
发货至: 中国
Contact our Customer Service for availability and price in your country. Contact Info

Our Local Distributor

中国
北京 101111
No. 88 KeChuang 6th Street
Beijing Economic Technological Development Area
Room 801-803
4A Biotech Co.,Ltd.
Tel +86 (0512) 65829739 传真 +86 (010) 6788 5057

Quick Overview for GLRA1 抗体 (Internal Region) (ABIN5539834)

抗原

See all GLRA1 抗体
GLRA1 (Glycine Receptor, alpha 1 (GLRA1))

适用

  • 31
  • 16
  • 15
  • 3
  • 2
  • 2
  • 1
  • 1
  • 1
人, 大鼠, 小鼠

宿主

  • 29
  • 4
山羊

克隆类型

  • 28
  • 4
多克隆

标记

  • 22
  • 2
  • 2
  • 1
  • 1
  • 1
  • 1
  • 1
  • 1
  • 1
This GLRA1 antibody is un-conjugated

应用范围

  • 20
  • 12
  • 6
  • 4
  • 2
  • 2
  • 1
  • 1
  • 1
Western Blotting (WB), ELISA, Immunohistochemistry (IHC)

质量等级

Verified
  • 抗原表位

    • 5
    • 3
    • 2
    • 2
    • 2
    • 1
    • 1
    • 1
    • 1
    • 1
    Internal Region

    原理

    Glycine receptor, alpha 1 (intracellular)

    序列

    CLQAKDGISV KGAN

    特异性

    The immunizing peptide represents part of the cytoplasmic domain. The antibody is not expected to cross-react with other glycine receptor alpha proteins.

    交叉反应

    Cow, 犬, 人, 小鼠, Pig, 大鼠

    纯化方法

    Purified from goat serum by ammonium sulphate precipitation followed by antigen affinity chromatography using the immunizing peptide.

    亚型

    IgG
  • 应用备注

    Immunohistochemistry: Paraffin embedded Human Lung and Kidney. Recommended concentration: 5 μg/mL.

    Western Blot: Approx 60 kDa band observed in Mouse and Rat Testis lysates (calculated MW of 51.7 kDa according to Mouse NP_065238.2). The observed molecular weight corresponds to the glycosylated form. Recommended concentration: 0.3-1 μg/mL. Primary incubat

    Peptide ELISA: antibody detection limit dilution 1:128000.

    限制

    仅限研究用
  • 状态

    Liquid

    浓度

    0.5 mg/mL

    缓冲液

    Supplied at 0.5 mg/mL in Tris saline, 0.02 % sodium azide, pH 7.3 with 0.5 % bovine serum albumin.

    储存液

    Sodium azide

    注意事项

    This product contains Sodium azide: a POISONOUS AND HAZARDOUS SUBSTANCE which should be handled by trained staff only.

    注意事项

    Minimize freezing and thawing.

    储存条件

    -20 °C

    储存方法

    Aliquot and store at -20°C, with minimal freeze/thawing. A working aliquot may be refrigerated at 4°C for a few weeks and still remain viable.
  • 抗原

    GLRA1 (Glycine Receptor, alpha 1 (GLRA1))

    别名

    Glra1

    背景

    Glra1, glycine receptor, alpha 1, GLYRA1, glycine receptor 48 kDa subunit, glycine receptor strychnine-binding subunit, glycine receptor subunit alpha-1, glycine receptor, alpha 1 subunit

    基因ID

    2741, 14654, 25674

    NCBI登录号

    NP_037265

    途径

    Synaptic Membrane
You are here: