IFITM3 抗体 (N-Term)
Our Local Distributor
北京 101111
Quick Overview for IFITM3 抗体 (N-Term) (ABIN5539738)
抗原
See all IFITM3 抗体适用
宿主
克隆类型
标记
应用范围
质量等级
-
-
抗原表位
- N-Term
-
原理
- IFITM3 (N terminus)
-
序列
- HTVQTFFSPV NS
-
交叉反应
- 人
-
纯化方法
- Purified from goat serum by ammonium sulphate precipitation followed by antigen affinity chromatography using the immunizing peptide.
-
亚型
- IgG
-
-
-
-
应用备注
-
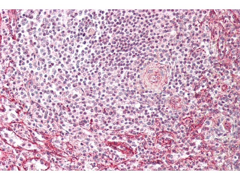
Immunohistochemistry: Paraffin embedded Human Spleen. Recommended concentration: 2.5 μg/mL.
Western Blot: Approx 17 kDa band observed in lysates of cell line HeLa (calculated MW of 14.6 kDa according to NP_066362.2). The observed molecular weight corresponds to the lipidated form. Recommended concentration: 0.3-1 μg/mL. Primary incubation was 1 ho
Peptide ELISA: antibody detection limit dilution 1:16000.
-
限制
- 仅限研究用
-
-
-
状态
- Liquid
-
浓度
- 0.5 mg/mL
-
缓冲液
- Supplied at 0.5 mg/mL in Tris saline, 0.02 % sodium azide, pH 7.3 with 0.5 % bovine serum albumin.
-
储存液
- Sodium azide
-
注意事项
- This product contains Sodium azide: a POISONOUS AND HAZARDOUS SUBSTANCE which should be handled by trained staff only.
-
注意事项
- Minimize freezing and thawing.
-
储存条件
- -20 °C
-
储存方法
- Aliquot and store at -20°C, with minimal freeze/thawing. A working aliquot may be refrigerated at 4°C for a few weeks and still remain viable.
-
-
- IFITM3 (Interferon-Induced Transmembrane Protein 3 (IFITM3))
-
别名
- IFITM3
-
背景
- IFITM3, interferon induced transmembrane protein 3, 1-8U, DSPA2b, IP15, dispanin subfamily A member 2b, interferon-induced transmembrane protein 3, interferon-inducible protein 1-8U
-
基因ID
- 10410
-
NCBI登录号
- NP_066362
抗原
-