电话:
+86 (0512) 65829739
传真:
+86 (010) 6788 5057
电子邮件:
orders@antibodies-online.cn

Recombinant IFITM3 抗体

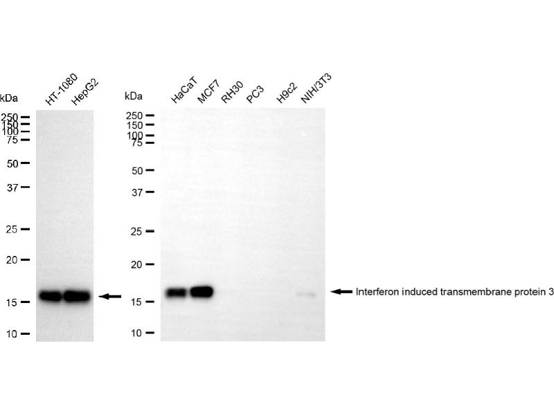
The 兔 单克隆 anti-IFITM3 antibody is suitable to detect IFITM3 in samples from 人. It has been validated for WB, FACS 和 IF (p).
产品编号 ABIN7799091
发货至: 中国
Contact our Customer Service for availability and price in your country. Contact Info

Our Local Distributor

中国
北京 101111
No. 88 KeChuang 6th Street
Beijing Economic Technological Development Area
Room 801-803
4A Biotech Co.,Ltd.
Tel +86 (0512) 65829739 传真 +86 (010) 6788 5057

Quick Overview for Recombinant IFITM3 抗体 (ABIN7799091)

抗原

See all IFITM3 抗体
IFITM3 (Interferon-Induced Transmembrane Protein 3 (IFITM3))

抗体类型

Recombinant Antibody

适用

  • 42
  • 7
  • 6
  • 1
  • 1
  • 1
  • 1

宿主

  • 33
  • 7
  • 3

克隆类型

  • 35
  • 8
单克隆

标记

  • 31
  • 3
  • 2
  • 1
  • 1
  • 1
  • 1
  • 1
  • 1
  • 1
This IFITM3 antibody is un-conjugated

应用范围

  • 33
  • 21
  • 15
  • 14
  • 8
  • 3
  • 3
  • 2
  • 2
  • 1
Western Blotting (WB), Flow Cytometry (FACS), Immunofluorescence (Paraffin-embedded Sections) (IF (p))

质量等级

KO Validated

克隆位点

25GB3410
You are here: