电话:
+86 (0512) 65829739
传真:
+86 (010) 6788 5057
电子邮件:
orders@antibodies-online.cn

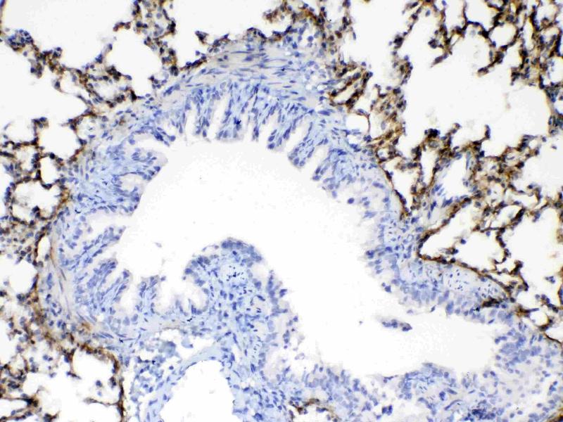
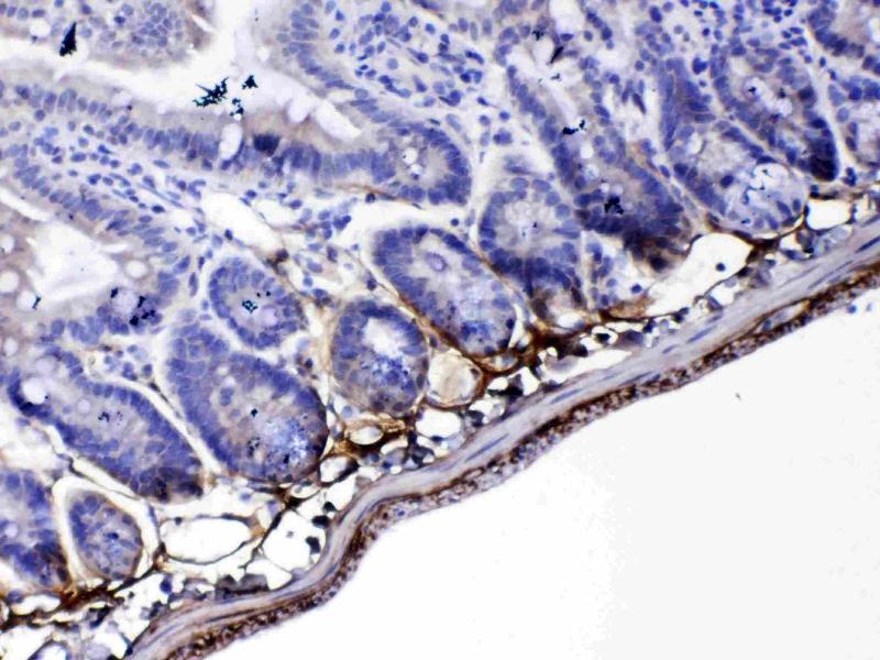
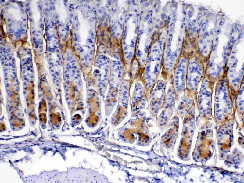
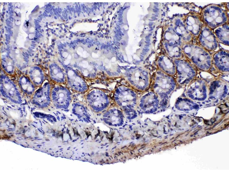
Periostin 抗体 (AA 577-810)

The 兔 多克隆 anti-Periostin antibody (ABIN5519054) specifically detects Periostin in WB, IHC 和 ELISA. The antibody is reactive with 小鼠 和 大鼠 samples.
产品编号 ABIN5519054
发货至: 中国
Contact our Customer Service for availability and price in your country. Contact Info

Our Local Distributor

中国
北京 101111
No. 88 KeChuang 6th Street
Beijing Economic Technological Development Area
Room 801-803
4A Biotech Co.,Ltd.
Tel +86 (0512) 65829739 传真 +86 (010) 6788 5057

Quick Overview for Periostin 抗体 (AA 577-810) (ABIN5519054)

抗原

See all Periostin (POSTN) 抗体
Periostin (POSTN)

适用

  • 129
  • 45
  • 37
  • 6
  • 4
  • 4
  • 3
  • 3
  • 3
  • 2
  • 2
  • 2
  • 1
  • 1
  • 1
小鼠, 大鼠

宿主

  • 109
  • 37
  • 3
  • 2
  • 1

克隆类型

  • 80
  • 72
多克隆

标记

  • 91
  • 18
  • 8
  • 5
  • 4
  • 4
  • 4
  • 4
  • 4
  • 4
  • 2
  • 2
  • 1
  • 1
This Periostin antibody is un-conjugated

应用范围

  • 100
  • 73
  • 40
  • 22
  • 15
  • 15
  • 12
  • 10
  • 4
  • 3
  • 2
  • 2
  • 2
  • 1
  • 1
  • 1
Western Blotting (WB), Immunohistochemistry (IHC), ELISA
  • 抗原表位

    • 19
    • 9
    • 8
    • 7
    • 5
    • 5
    • 4
    • 4
    • 3
    • 3
    • 3
    • 3
    • 3
    • 2
    • 1
    • 1
    • 1
    • 1
    • 1
    • 1
    • 1
    • 1
    • 1
    • 1
    • 1
    • 1
    AA 577-810

    原理

    Anti-Periostin/Postn Antibody

    交叉反应 (详细)

    No cross-reactivity with other proteins.

    产品特性

    Anti-Periostin/Postn Antibody (ABIN5519054). Tested in ELISA, IHC, WB applications. This antibody reacts with Mouse, Rat. This is a premium antibody that guarantees superior quality, high affinity, and strong signals with minimal background in Western blot applications.

    纯化方法

    Immunogen affinity purified.

    免疫原

    E. coli-derived rat Periostin recombinant protein (Position: K577-Q810).

    亚型

    IgG
  • 应用备注

    Western blot, 0.1-0.5 μg/mL
    Immunohistochemistry (Paraffin-embedded Section), 0.5-1 μg/mL
    ELISA, 0.1-0.5 μg/mL

    说明

    We recommend Enhanced Chemiluminescent Kit with anti-Rabbit IgG (ABIN921124) for Western blot, and HRP Conjugated anti-Rabbit IgG Super Vision Assay Kit (SV0002-1) for IHC(P).

    限制

    仅限研究用
  • 状态

    Lyophilized

    溶解方式

    Add 0.2 mL of distilled water will yield a concentration of 500 μg/mL.

    浓度

    500 μg/mL

    缓冲液

    Each vial contains 4 mg Trehalose, 0.9 mg NaCl, 0.2 mg Na2HPO4, 0.05 mg Sodium azide.

    储存液

    Sodium azide

    注意事项

    This product contains Sodium azide: a POISONOUS AND HAZARDOUS SUBSTANCE which should be handled by trained staff only.

    储存条件

    4 °C,-20 °C

    储存方法

    Store at -20°C for one year from date of receipt. After reconstitution, at 4°C for one month.
    It can also be aliquotted and stored frozen at -20°C for six months. Avoid repeated freeze-thaw cycles.
  • 抗原

    Periostin (POSTN)

    别名

    Postn

    背景

    Synonyms: Periostin ,Periostin, osteoblast specific factor (Predicted), isoform CRA_a ,Postn ,Postn_predicted ,rCG_49960 ,

    Tissue Specificity: Ubiquitous. Highly expressed in testis.

    Background: POSTN (Periostin), also known as PN or OSF2, is a protein that in humans is encoded by the POSTN gene. The International Radiation Hybrid Mapping Consortium mapped the POSTN gene to chromosome 13. It was found that purified recombinant PN supported adhesion of ovarian epithelial cells. And periostin was overexpressed by the majority of human primary breast cancers examined. Transfected tumor cell lines overexpressing periostin showed accelerated growth and angiogenesis as xenografts in immunocompromised animals. It was showed that extracellular periostin induced reentry of differentiated mammalian cardiomyocytes into the cell cycle.

    分子量

    93 kDa

    基因ID

    361945
You are here: