电话:
+86 (0512) 65829739
传真:
+86 (010) 6788 5057
电子邮件:
orders@antibodies-online.cn

PARK7/DJ1 抗体 (AA 2-189)

The 兔 多克隆 anti-PARK7/DJ1 antibody is suitable to detect PARK7/DJ1 in samples from 小鼠 和 大鼠. It has been validated for WB, IHC 和 ELISA.
产品编号 ABIN5519050
发货至: 中国
Contact our Customer Service for availability and price in your country. Contact Info

Our Local Distributor

中国
北京 101111
No. 88 KeChuang 6th Street
Beijing Economic Technological Development Area
Room 801-803
4A Biotech Co.,Ltd.
Tel +86 (0512) 65829739 传真 +86 (010) 6788 5057

Quick Overview for PARK7/DJ1 抗体 (AA 2-189) (ABIN5519050)

抗原

See all PARK7/DJ1 (PARK7) 抗体
PARK7/DJ1 (PARK7) (Parkinson Protein 7 (PARK7))

适用

  • 126
  • 92
  • 73
  • 7
  • 5
  • 4
  • 4
  • 3
  • 2
  • 1
  • 1
  • 1
  • 1
  • 1
小鼠, 大鼠

宿主

  • 127
  • 20
  • 2
  • 1

克隆类型

  • 103
  • 47
多克隆

标记

  • 79
  • 16
  • 10
  • 4
  • 4
  • 4
  • 4
  • 4
  • 4
  • 2
  • 2
  • 2
  • 2
  • 1
  • 1
  • 1
  • 1
  • 1
  • 1
  • 1
  • 1
  • 1
  • 1
  • 1
  • 1
  • 1
This PARK7/DJ1 antibody is un-conjugated

应用范围

  • 124
  • 74
  • 48
  • 43
  • 29
  • 25
  • 17
  • 14
  • 13
  • 13
  • 5
  • 5
  • 4
  • 2
  • 2
  • 1
  • 1
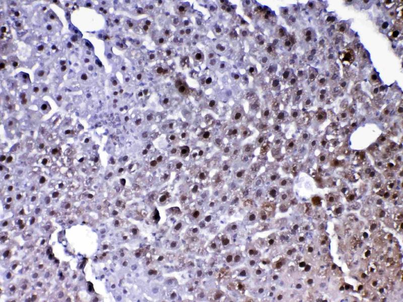
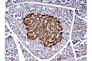
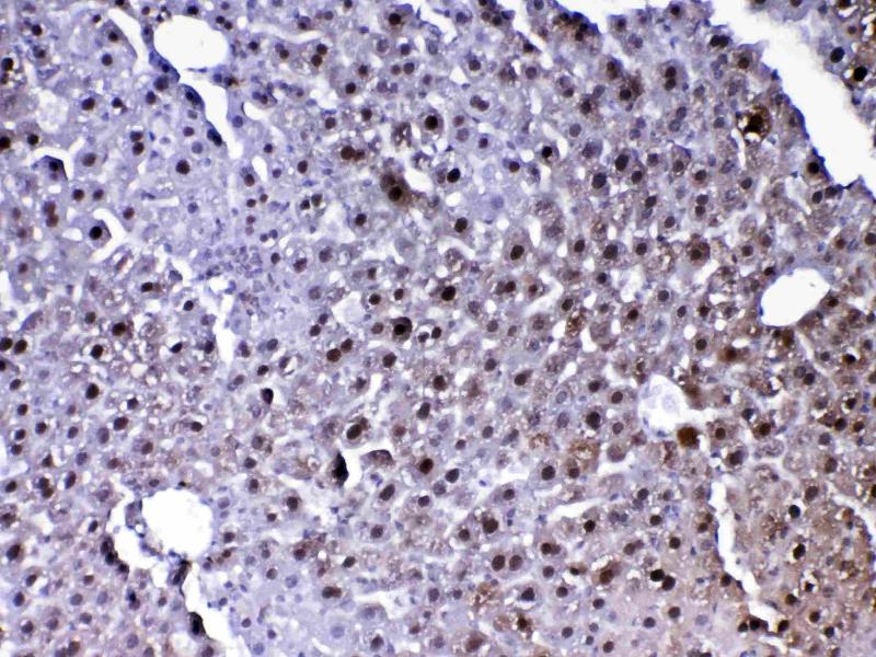
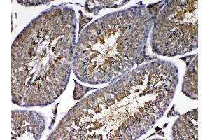
Western Blotting (WB), Immunohistochemistry (IHC), ELISA
  • 抗原表位

    • 26
    • 16
    • 13
    • 7
    • 6
    • 4
    • 3
    • 3
    • 2
    • 2
    • 2
    • 2
    • 1
    • 1
    • 1
    • 1
    • 1
    • 1
    • 1
    • 1
    • 1
    • 1
    • 1
    • 1
    • 1
    • 1
    AA 2-189

    原理

    Anti-PARK7/DJ1 Antibody

    交叉反应 (详细)

    No cross-reactivity with other proteins.

    产品特性

    Anti-PARK7/DJ1 Antibody (ABIN5519050). Tested in ELISA, IHC, WB applications. This antibody reacts with Mouse, Rat. This is a premium antibody that guarantees superior quality, high affinity, and strong signals with minimal background in Western blot applications.

    纯化方法

    Immunogen affinity purified.

    免疫原

    E. coli-derived rat PARK7 / DJ1 recombinant protein (Position: A2-D189).

    亚型

    IgG
  • 应用备注

    Western blot, 0.1-0.5 μg/mL
    Immunohistochemistry (Paraffin-embedded Section), 0.5-1 μg/mL
    ELISA (Cap), 1-5 μg/mL

    说明

    We recommend Enhanced Chemiluminescent Kit with anti-Rabbit IgG (ABIN921124) for Western blot, and HRP Conjugated anti-Rabbit IgG Super Vision Assay Kit (SV0002-1) for IHC(P).

    限制

    仅限研究用
  • 状态

    Lyophilized

    溶解方式

    Add 0.2 mL of distilled water will yield a concentration of 500 μg/mL.

    浓度

    500 μg/mL

    缓冲液

    Each vial contains 5 mg BSA, 0.9 mg NaCl, 0.2 mg Na2HPO4, 0.05 mg Sodium azide.

    储存液

    Sodium azide

    注意事项

    This product contains Sodium azide: a POISONOUS AND HAZARDOUS SUBSTANCE which should be handled by trained staff only.

    储存条件

    4 °C,-20 °C

    储存方法

    Store at -20°C for one year from date of receipt. After reconstitution, at 4°C for one month.
    It can also be aliquotted and stored frozen at -20°C for six months. Avoid repeated freeze-thaw cycles.
  • 抗原

    PARK7/DJ1 (PARK7) (Parkinson Protein 7 (PARK7))

    别名

    PARK7

    背景

    Synonyms: Protein DJ-1, DJ-1, Contraception-associated protein 1

    Tissue Specificity: Ubiquitous. Detected on epididymal sperm. Highly expressed in testis and prostate. Detected at lower levels in heart, lung, brain, liver, kidney, seminal vesicle, caput and corpus epididymis.

    Background: Parkinson disease (autosomal recessive, early onset) 7, also known as DJ1, is a protein which in humans is encoded by the PARK7 gene. PARK7 belongs to the peptidase C56 family of proteins. PARK7 is mapped to chromosome 1p36. It acts as a positive regulator of androgen receptor-dependent transcription. It is also involved in tumorigenesis and in maintaining mitochondrial homeostasis. This gene may also function as a redox-sensitive chaperone, as a sensor foroxidative stress, and it apparently protects neurons against oxidative stress and cell death. It has been found that PARK7 mutations that impair transcriptional coactivator function can render dopaminergic neurons vulnerable to apoptosis and may contribute to the pathogenesis of Parkinson disease.

    分子量

    22 kDa

    基因ID

    117287

    UniProt

    O88767

    途径

    Intracellular Steroid Hormone Receptor Signaling Pathway, Regulation of Intracellular Steroid Hormone Receptor Signaling, Proton Transport
You are here: