电话:
+86 (0512) 65829739
传真:
+86 (010) 6788 5057
电子邮件:
orders@antibodies-online.cn

VEGFR2/CD309 抗体 (AA 20-242)

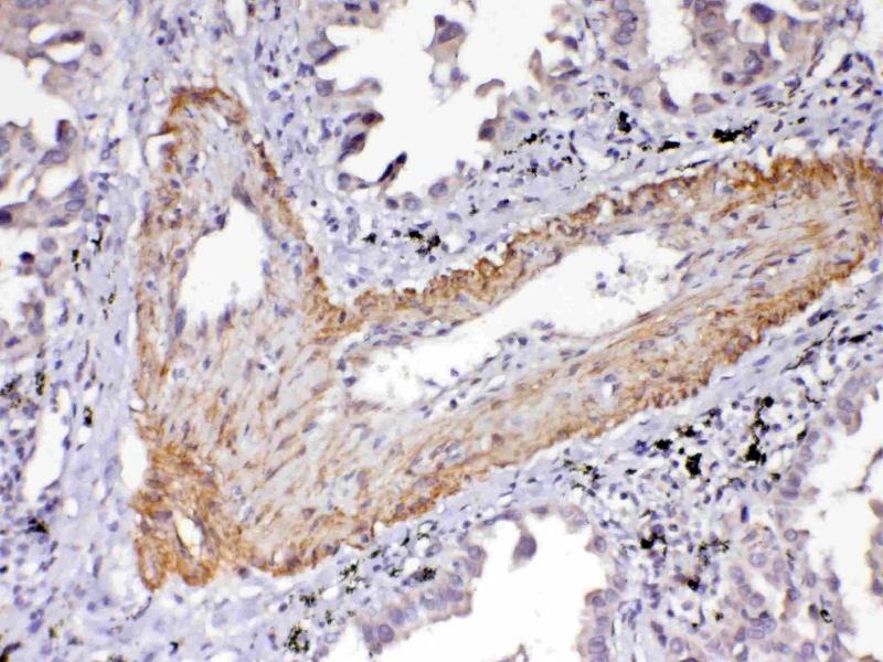
Cited in 4+ publications. The 兔 多克隆 anti-VEGFR2/CD309 antibody (ABIN5519021) specifically detects VEGFR2/CD309 in WB, IHC, FACS 和 ICC. The antibody is reactive with 人 samples.
产品编号 ABIN5519021
发货至: 中国
Contact our Customer Service for availability and price in your country. Contact Info

Our Local Distributor

中国
北京 101111
No. 88 KeChuang 6th Street
Beijing Economic Technological Development Area
Room 801-803
4A Biotech Co.,Ltd.
Tel +86 (0512) 65829739 传真 +86 (010) 6788 5057

Quick Overview for VEGFR2/CD309 抗体 (AA 20-242) (ABIN5519021)

抗原

See all VEGFR2/CD309 (VEGFR2) 抗体
VEGFR2/CD309 (VEGFR2) (VEGF Receptor 2 (VEGFR2))

适用

  • 339
  • 212
  • 144
  • 17
  • 9
  • 5
  • 4
  • 3
  • 3
  • 3
  • 1
  • 1
  • 1
  • 1
  • 1
  • 1
  • 1
  • 1
  • 1

宿主

  • 301
  • 61
  • 35
  • 14
  • 1
  • 1
  • 1

克隆类型

  • 280
  • 134
多克隆

标记

  • 186
  • 33
  • 20
  • 14
  • 14
  • 8
  • 8
  • 8
  • 8
  • 8
  • 8
  • 7
  • 6
  • 6
  • 6
  • 6
  • 6
  • 6
  • 6
  • 6
  • 6
  • 6
  • 6
  • 3
  • 2
  • 2
  • 2
  • 2
  • 2
  • 2
  • 2
  • 2
  • 2
  • 1
  • 1
  • 1
  • 1
  • 1
This VEGFR2/CD309 antibody is un-conjugated

应用范围

  • 223
  • 120
  • 109
  • 102
  • 64
  • 34
  • 26
  • 26
  • 21
  • 15
  • 13
  • 13
  • 9
  • 7
  • 7
  • 3
  • 3
  • 2
  • 2
  • 1
  • 1
  • 1
Western Blotting (WB), Immunohistochemistry (IHC), Flow Cytometry (FACS), Immunocytochemistry (ICC)
  • 抗原表位

    • 39
    • 34
    • 27
    • 23
    • 21
    • 16
    • 16
    • 11
    • 11
    • 10
    • 9
    • 7
    • 6
    • 6
    • 5
    • 5
    • 5
    • 3
    • 3
    • 3
    • 2
    • 2
    • 2
    • 2
    • 2
    • 2
    • 2
    • 2
    • 2
    • 2
    • 2
    • 2
    • 1
    • 1
    • 1
    • 1
    • 1
    • 1
    • 1
    • 1
    • 1
    • 1
    • 1
    • 1
    • 1
    • 1
    • 1
    • 1
    • 1
    • 1
    AA 20-242

    原理

    Anti-VEGF Receptor 2/KDR Antibody

    交叉反应 (详细)

    No cross-reactivity with other proteins.

    产品特性

    Anti-VEGF Receptor 2/KDR Antibody (ABIN5519021). Tested in Flow Cytometry, IHC, ICC, WB applications. This antibody reacts with Human. This is a premium antibody that guarantees superior quality, high affinity, and strong signals with minimal background in Western blot applications.

    纯化方法

    Immunogen affinity purified.

    免疫原

    E. coli-derived human VEGF Receptor 2 recombinant protein (Position: A20-L242).

    亚型

    IgG
  • 应用备注

    Western blot, 0.1-0.5 μg/mL
    Immunohistochemistry (Paraffin-embedded Section), 0.5-1 μg/mL
    Immunocytochemistry, 0.5-1 μg/mL

    说明

    We recommend Enhanced Chemiluminescent Kit with anti-Rabbit IgG (ABIN921124) for Western blot, and HRP Conjugated anti-Rabbit IgG Super Vision Assay Kit (SV0002-1) for IHC(P).

    限制

    仅限研究用
  • 状态

    Lyophilized

    溶解方式

    Add 0.2 mL of distilled water will yield a concentration of 500 μg/mL.

    浓度

    500 μg/mL

    缓冲液

    Each vial contains 5 mg BSA, 0.9 mg NaCl, 0.2 mg Na2HPO4, 0.05 mg Sodium azide.

    储存液

    Sodium azide

    注意事项

    This product contains Sodium azide: a POISONOUS AND HAZARDOUS SUBSTANCE which should be handled by trained staff only.

    储存条件

    4 °C,-20 °C

    储存方法

    Store at -20°C for one year from date of receipt. After reconstitution, at 4°C for one month.
    It can also be aliquotted and stored frozen at -20°C for six months. Avoid repeated freeze-thaw cycles.
  • Huang, Li, Pan, Cheng, Ren, Jia, Ma, Xu: "A novel multi-target RNAi adenovirus inhibits hepatoma cell proliferation, migration, and induction of angiogenesis." in: Oncotarget, Vol. 7, Issue 36, pp. 57705-57713, (2018) (PubMed).

    Zhu, Tuerxun, Hui, Abliz: "Effects of propranolol and isoproterenol on infantile hemangioma endothelial cells in vitro." in: Experimental and therapeutic medicine, Vol. 8, Issue 2, pp. 647-651, (2014) (PubMed).

    Liu, Yang, Zhang, Shui, Song, Yao, Dai, Sun: "Fructopyrano-(1?4)-glucopyranose inhibits the proliferation of liver cancer cells and angiogenesis in a VEGF/VEGFR dependent manner." in: International journal of clinical and experimental medicine, Vol. 7, Issue 11, pp. 3859-69, (2014) (PubMed).

    Wu, You, Ma, Li, Yuan, Li, Ye, Liu, Yao, Chen, Lai, Yang: "Role of transient receptor potential ion channels and evoked levels of neuropeptides in a formaldehyde-induced model of asthma in BALB/c mice." in: PLoS ONE, Vol. 8, Issue 5, pp. e62827, (2013) (PubMed).

  • 抗原

    VEGFR2/CD309 (VEGFR2) (VEGF Receptor 2 (VEGFR2))

    别名

    KDR

    背景

    Synonyms: Vascular endothelial growth factor receptor 2, VEGFR-2, 2.7.10.1, Fetal liver kinase 1, FLK-1, Kinase insert domain receptor, KDR, Protein-tyrosine kinase receptor flk-1, CD309, KDR, FLK1, VEGFR2,

    Tissue Specificity: Detected in cornea (at protein level). Widely expressed.

    Background: KDR (Kinase Insert Domain Receptor), also known as FLK1, VEGFR or VEGFR2, is a VEGF receptor. KDR is the human gene encoding it. Vascular endothelial growth factor (VEGF) is the only mitogen that specifically acts on endothelial cells. Its expression is upregulated by hypoxia, and its cell-surface receptor, known as fetal liver kinase-1 (Flk1) in mouse, is exclusively expressed in endothelial cells. Flk1 is the mouse homolog of KDR.

    分子量

    180 kDa

    基因ID

    3791

    UniProt

    P35968

    途径

    RTK signaling, Glycosaminoglycan Metabolic Process, Signaling Events mediated by VEGFR1 and VEGFR2, Growth Factor Binding, Regulation of long-term Neuronal Synaptic Plasticity, VEGF Signaling
You are here: