电话:
+86 (0512) 65829739
传真:
+86 (010) 6788 5057
电子邮件:
orders@antibodies-online.cn

CDC20 抗体

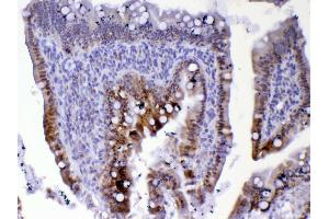
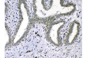
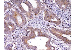
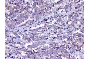
The 兔 多克隆 anti-CDC20 antibody (ABIN5518976) specifically detects CDC20 in WB, IHC, FACS, IF, ICC 和 IHC (fro). The antibody is reactive with 人, 小鼠 和 大鼠 samples.
产品编号 ABIN5518976
发货至: 中国
Contact our Customer Service for availability and price in your country. Contact Info

Our Local Distributor

中国
北京 101111
No. 88 KeChuang 6th Street
Beijing Economic Technological Development Area
Room 801-803
4A Biotech Co.,Ltd.
Tel +86 (0512) 65829739 传真 +86 (010) 6788 5057

Quick Overview for CDC20 抗体 (ABIN5518976)

抗原

See all CDC20 抗体
CDC20 (Cell Division Cycle 20 Homolog (S. Cerevisiae) (CDC20))

适用

  • 62
  • 23
  • 19
  • 6
  • 3
  • 3
  • 3
  • 3
  • 2
  • 2
  • 1
  • 1
  • 1
人, 小鼠, 大鼠

宿主

  • 49
  • 13

克隆类型

  • 48
  • 14
多克隆

标记

  • 35
  • 4
  • 2
  • 2
  • 2
  • 2
  • 2
  • 2
  • 1
  • 1
  • 1
  • 1
  • 1
  • 1
  • 1
  • 1
  • 1
  • 1
  • 1
This CDC20 antibody is un-conjugated

应用范围

  • 30
  • 19
  • 15
  • 15
  • 13
  • 10
  • 7
  • 4
  • 3
  • 2
  • 1
  • 1
Western Blotting (WB), Immunohistochemistry (IHC), Flow Cytometry (FACS), Immunofluorescence (IF), Immunocytochemistry (ICC), Immunohistochemistry (Frozen Sections) (IHC (fro))
  • 原理

    Anti-Cdc20 Antibody

    序列

    QTPTKKEHQK AWALNLNGFD VEEAKILRLS GKPQNAPEGY QNRLKVLYSQ KAT

    交叉反应 (详细)

    No cross-reactivity with other proteins.

    产品特性

    Anti-Cdc20 Antibody (ABIN5518976). Tested in Flow Cytometry, IF, IHC, IHC-F, ICC, WB applications. This antibody reacts with Human, Mouse, Rat. This is a premium antibody that guarantees superior quality, high affinity, and strong signals with minimal background in Western blot applications.

    纯化方法

    Immunogen affinity purified.

    免疫原

    A synthetic peptide corresponding to a sequence at the N-terminus of human Cdc20, which shares 98.1% amino acid (aa) sequence identity with both mouse and rat Cdc20.

    亚型

    IgG
  • 应用备注

    Western blot, 0.1-0.5 μg/mL
    Immunohistochemistry (Paraffin-embedded Section), 0.5-1 μg/mL
    Immunohistochemistry (Frozen Section), 0.5-1 μg/mL
    Immunocytochemistry/Immunofluorescence, 2 μg/mL
    Flow Cytometry (Fixed), 1-3 μg/1x106 cells

    说明

    We recommend Enhanced Chemiluminescent Kit with anti-Rabbit IgG (ABIN921124) for Western blot, and HRP Conjugated anti-Rabbit IgG Super Vision Assay Kit (SV0002-1) for IHC(P).

    限制

    仅限研究用
  • 状态

    Lyophilized

    溶解方式

    Add 0.2 mL of distilled water will yield a concentration of 500 μg/mL.

    浓度

    500 μg/mL

    缓冲液

    Each vial contains 4 mg Trehalose, 0.9 mg NaCl, 0.2 mg Na2HPO4, 0.05 mg Sodium azide.

    储存液

    Sodium azide

    注意事项

    This product contains Sodium azide: a POISONOUS AND HAZARDOUS SUBSTANCE which should be handled by trained staff only.

    储存条件

    4 °C,-20 °C

    储存方法

    Store at -20°C for one year from date of receipt. After reconstitution, at 4°C for one month.
    It can also be aliquotted and stored frozen at -20°C for six months. Avoid repeated freeze-thaw cycles.
  • 抗原

    CDC20 (Cell Division Cycle 20 Homolog (S. Cerevisiae) (CDC20))

    别名

    CDC20

    背景

    Cell division cycle protein 20 homolog, p55CDC, CDC20,

    分子量

    55 kDa

    基因ID

    991

    UniProt

    Q12834
You are here: