电话:
+86 (0512) 65829739
传真:
+86 (010) 6788 5057
电子邮件:
orders@antibodies-online.cn

CDC20 抗体 (AA 1-270)

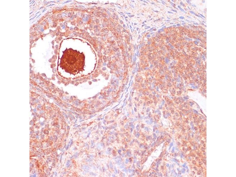
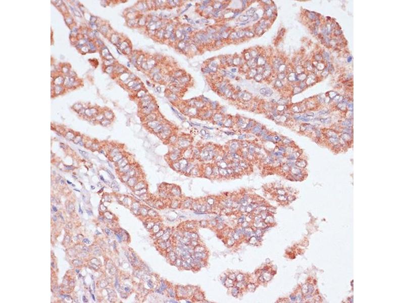
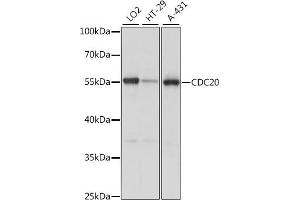
The 兔 多克隆 anti-CDC20 antibody (ABIN7266246) specifically detects CDC20 in WB, IHC, IF 和 IP. The antibody is reactive with 人 samples.
产品编号 ABIN7266246
发货至: 中国
Contact our Customer Service for availability and price in your country. Contact Info

Our Local Distributor

中国
北京 101111
No. 88 KeChuang 6th Street
Beijing Economic Technological Development Area
Room 801-803
4A Biotech Co.,Ltd.
Tel +86 (0512) 65829739 传真 +86 (010) 6788 5057

Quick Overview for CDC20 抗体 (AA 1-270) (ABIN7266246)

抗原

See all CDC20 抗体
CDC20 (Cell Division Cycle 20 Homolog (S. Cerevisiae) (CDC20))

适用

  • 62
  • 24
  • 20
  • 6
  • 3
  • 3
  • 3
  • 3
  • 2
  • 2
  • 1
  • 1
  • 1

宿主

  • 49
  • 13

克隆类型

  • 48
  • 14
多克隆

标记

  • 35
  • 4
  • 2
  • 2
  • 2
  • 2
  • 2
  • 2
  • 1
  • 1
  • 1
  • 1
  • 1
  • 1
  • 1
  • 1
  • 1
  • 1
  • 1
This CDC20 antibody is un-conjugated

应用范围

  • 30
  • 20
  • 15
  • 15
  • 13
  • 10
  • 6
  • 4
  • 3
  • 2
  • 2
  • 1
  • 1
Western Blotting (WB), Immunohistochemistry (IHC), Immunofluorescence (IF), Immunoprecipitation (IP)
  • 抗原表位

    • 8
    • 6
    • 3
    • 2
    • 2
    • 1
    • 1
    • 1
    • 1
    • 1
    • 1
    • 1
    • 1
    • 1
    AA 1-270

    原理

    CDC20 Rabbit pAb

    序列

    MAQFAFESDL HSLLQLDAPI PNAPPARWQR KAKEAAGPAP SPMRAANRSH SAGRTPGRTP GKSSSKVQTT PSKPGGDRYI PHRSAAQMEV ASFLLSKENQ PENSQTPTKK EHQKAWALNL NGFDVEEAKI LRLSGKPQNA PEGYQNRLKV LYSQKATPGS SRKTCRYIPS LPDRILDAPE IRNDYYLNLV DWSSGNVLAV ALDNSVYLWS ASSGDILQLL QMEQPGEYIS SVAWIKEGNY LAVGTSSAEV QLWDVQQQKR LRNMTSHSAR

    交叉反应

    人, 小鼠, 大鼠

    产品特性

    Polyclonal Antibodies

    纯化方法

    Affinity purification

    免疫原

    Recombinant fusion protein containing a sequence corresponding to amino acids 1-270 of human CDC20 (NP_001246.2).

    亚型

    IgG
  • 应用备注

    WB,1:500 - 1:2000,IHC,1:50 - 1:100,IF,1:50 - 1:100,IP,1:50 - 1:200

    限制

    仅限研究用
  • 状态

    Liquid

    缓冲液

    PBS with 0.02 % sodium azide,50 % glycerol, pH 7.3.

    储存液

    Sodium azide

    注意事项

    This product contains Sodium azide: a POISONOUS AND HAZARDOUS SUBSTANCE which should be handled by trained staff only.

    储存条件

    -20 °C

    储存方法

    Store at -20°C. Avoid freeze / thaw cycles.
  • 抗原

    CDC20 (Cell Division Cycle 20 Homolog (S. Cerevisiae) (CDC20))

    别名

    CDC20

    背景

    CDC20 appears to act as a regulatory protein interacting with several other proteins at multiple points in the cell cycle. It is required for two microtubule-dependent processes, nuclear movement prior to anaphase and chromosome separation.,CDC20,CDC20A,bA276H19.3,p55CDC,Cell Biology & Developmental Biology,Ubiquitin,Ubiquitin-Proteasome Signaling Pathway,CDC20

    分子量

    54kDa

    基因ID

    991

    UniProt

    Q12834
You are here: