电话:
+86 (0512) 65829739
传真:
+86 (010) 6788 5057
电子邮件:
orders@antibodies-online.cn

NOV 抗体 (C-Term)

This 兔 多克隆 antibody specifically detects NOV in WB, IHC, ICC, IF 和 FACS. It exhibits reactivity toward 大鼠.
产品编号 ABIN5518938
发货至: 中国
Contact our Customer Service for availability and price in your country. Contact Info

Our Local Distributor

中国
北京 101111
No. 88 KeChuang 6th Street
Beijing Economic Technological Development Area
Room 801-803
4A Biotech Co.,Ltd.
Tel +86 (0512) 65829739 传真 +86 (010) 6788 5057

Quick Overview for NOV 抗体 (C-Term) (ABIN5518938)

抗原

See all NOV 抗体
NOV (Nephroblastoma Overexpressed (NOV))

适用

  • 52
  • 34
  • 20
  • 2
  • 2
  • 2
  • 2
  • 2
  • 1
  • 1
大鼠

宿主

  • 50
  • 7
  • 1

克隆类型

  • 53
  • 6
多克隆

标记

  • 36
  • 3
  • 1
  • 1
  • 1
  • 1
  • 1
  • 1
  • 1
  • 1
  • 1
  • 1
  • 1
  • 1
  • 1
  • 1
  • 1
  • 1
  • 1
  • 1
  • 1
  • 1
This NOV antibody is un-conjugated

应用范围

  • 49
  • 16
  • 13
  • 13
  • 13
  • 9
  • 8
  • 7
  • 3
  • 3
  • 3
  • 1
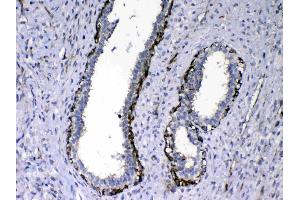
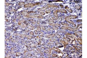
Western Blotting (WB), Immunohistochemistry (IHC), Immunocytochemistry (ICC), Immunofluorescence (IF), Flow Cytometry (FACS)
  • 抗原表位

    • 15
    • 5
    • 4
    • 2
    • 2
    • 1
    • 1
    • 1
    • 1
    • 1
    • 1
    • 1
    • 1
    • 1
    • 1
    • 1
    • 1
    AA 334-357, C-Term

    原理

    Anti-NOV/CCN3 Antibody

    序列

    HTNCPKNNEA FLQELELKTT RGKM

    交叉反应 (详细)

    No cross-reactivity with other proteins.

    产品特性

    Anti-NOV/CCN3 Antibody (ABIN5518938). Tested in Flow Cytometry, IF, IHC, ICC, WB applications. This antibody reacts with Rat. This is a premium antibody that guarantees superior quality, high affinity, and strong signals with minimal background in Western blot applications.

    纯化方法

    Immunogen affinity purified.

    免疫原

    A synthetic peptide corresponding to a sequence at the C-terminus of human NOV/CCN3, different from the related mouse sequence by seven amino acids, and from the related rat sequence by four amino acids.

    亚型

    IgG
  • 应用备注

    Western blot, 0.1-0.5 μg/mL, Human
    Immunohistochemistry (Paraffin-embedded Section), 0.5-1 μg/mL, Human, Rat
    Immunocytochemistry/Immunofluorescence, 2 μg/mL, Human
    Flow Cytometry (Fixed), 1-3 μg/1x106 cells, Human

    说明

    We recommend Enhanced Chemiluminescent Kit with anti-Rabbit IgG (ABIN921124) for Western blot, and HRP Conjugated anti-Rabbit IgG Super Vision Assay Kit (SV0002-1) for IHC(P).

    限制

    仅限研究用
  • 状态

    Lyophilized

    溶解方式

    Add 0.2 mL of distilled water will yield a concentration of 500 μg/mL.

    浓度

    500 μg/mL

    缓冲液

    Each vial contains 4 mg Trehalose, 0.9 mg NaCl, 0.2 mg Na2HPO4, 0.05 mg Sodium azide.

    储存液

    Sodium azide

    注意事项

    This product contains Sodium azide: a POISONOUS AND HAZARDOUS SUBSTANCE which should be handled by trained staff only.

    储存条件

    4 °C,-20 °C

    储存方法

    Store at -20°C for one year from date of receipt. After reconstitution, at 4°C for one month.
    It can also be aliquotted and stored frozen at -20°C for six months. Avoid repeated freeze-thaw cycles.
  • 抗原

    NOV (Nephroblastoma Overexpressed (NOV))

    别名

    NOV

    背景

    Synonyms: Protein NOV homolog,NovH,CCN family member 3,Insulin-like growth factor-binding protein 9,IBP-9,IGF-binding protein 9,IGFBP-9,Nephroblastoma-overexpressed gene protein homolog,NOV,CCN3, IGFBP9, NOVH,

    Tissue Specificity: Expressed in bone marrow, thymic cells and nephroblastoma. Increased expression in Wilms tumor of the stromal type. .

    Background: NOV (nephroblastoma overexpressed), also known as CCN3, is a matricellular protein that in humans is encoded by the NOV gene. The protein encoded by this gene is a small secreted cysteine-rich protein and a member of the CCN family of regulatory proteins. CNN family proteins associate with the extracellular matrix and play an important role in cardiovascular and skeletal development, fibrosis and cancer development.

    分子量

    47 kDa

    基因ID

    4856

    UniProt

    P48745

    途径

    Smooth Muscle Cell Migration, Growth Factor Binding
You are here: