电话:
+86 (0512) 65829739
传真:
+86 (010) 6788 5057
电子邮件:
orders@antibodies-online.cn

NOV 抗体 (AA 334-357)

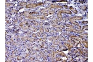
The 兔 多克隆 anti-NOV antibody (ABIN5647955) specifically detects NOV in WB 和 IHC (p). The antibody is reactive with 人 和 大鼠 samples.
产品编号 ABIN5647955
发货至: 中国
Contact our Customer Service for availability and price in your country. Contact Info

Our Local Distributor

中国
北京 101111
No. 88 KeChuang 6th Street
Beijing Economic Technological Development Area
Room 801-803
4A Biotech Co.,Ltd.
Tel +86 (0512) 65829739 传真 +86 (010) 6788 5057

Quick Overview for NOV 抗体 (AA 334-357) (ABIN5647955)

抗原

See all NOV 抗体
NOV (Nephroblastoma Overexpressed (NOV))

适用

  • 51
  • 34
  • 20
  • 2
  • 2
  • 2
  • 2
  • 2
  • 1
  • 1
人, 大鼠

宿主

  • 50
  • 7
  • 1

克隆类型

  • 53
  • 6
多克隆

标记

  • 36
  • 3
  • 1
  • 1
  • 1
  • 1
  • 1
  • 1
  • 1
  • 1
  • 1
  • 1
  • 1
  • 1
  • 1
  • 1
  • 1
  • 1
  • 1
  • 1
  • 1
  • 1
This NOV antibody is un-conjugated

应用范围

  • 49
  • 16
  • 13
  • 13
  • 13
  • 9
  • 8
  • 8
  • 3
  • 3
  • 3
  • 1
  • 1
Western Blotting (WB), Immunohistochemistry (Paraffin-embedded Sections) (IHC (p))
  • 抗原表位

    • 15
    • 5
    • 5
    • 2
    • 2
    • 1
    • 1
    • 1
    • 1
    • 1
    • 1
    • 1
    • 1
    • 1
    • 1
    • 1
    • 1
    AA 334-357

    纯化方法

    Antigen affinity purified

    免疫原

    Amino acids 334-357 (HTNCPKNNEAFLQELELKTTRGKM) were used as the immunogen for the CCN3 antibody.

    亚型

    IgG
  • 应用备注

    Optimal dilution of the CCN3 antibody should be determined by the researcher.\. Western Blot: 0.5-1 μg/mL,IHC (FFPE): 1-2 μg/mL

    限制

    仅限研究用
  • 缓冲液

    0.5 mg/mL if reconstituted with 0.2 mL sterile DI water

    储存条件

    -20 °C

    储存方法

    After reconstitution, the CCN3 antibody can be stored for up to one month at 4°C. For long-term, aliquot and store at -20°C. Avoid repeated freezing and thawing.
  • 抗原

    NOV (Nephroblastoma Overexpressed (NOV))

    别名

    CCN3 / NOV / IGFBP9

    背景

    NOV (nephroblastoma overexpressed), also known as CCN3, is a matricellular protein that in humans is encoded by the NOV gene. The protein encoded by this gene is a small secreted cysteine-rich protein and a member of the CCN family of regulatory proteins. CNN family proteins associate with the extracellular matrix and play an important role in cardiovascular and skeletal development, fibrosis and cancer development.

    UniProt

    P48745

    途径

    Smooth Muscle Cell Migration, Growth Factor Binding
You are here: