电话:
+86 (0512) 65829739
传真:
+86 (010) 6788 5057
电子邮件:
orders@antibodies-online.cn

Calpain 2 抗体 (AA 500-700)

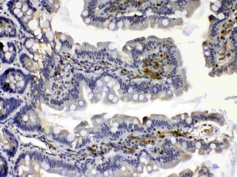
The 兔 多克隆 anti-Calpain 2 antibody is suitable to detect Calpain 2 in samples from 人, 小鼠 和 大鼠. It has been validated for WB, IHC, IF, ICC 和 FACS.
产品编号 ABIN5518897
发货至: 中国
Contact our Customer Service for availability and price in your country. Contact Info

Our Local Distributor

中国
北京 101111
No. 88 KeChuang 6th Street
Beijing Economic Technological Development Area
Room 801-803
4A Biotech Co.,Ltd.
Tel +86 (0512) 65829739 传真 +86 (010) 6788 5057

Quick Overview for Calpain 2 抗体 (AA 500-700) (ABIN5518897)

抗原

See all Calpain 2 (CAPN2) 抗体
Calpain 2 (CAPN2)

适用

  • 84
  • 54
  • 30
  • 5
  • 2
  • 1
  • 1
人, 小鼠, 大鼠

宿主

  • 82
  • 8

克隆类型

  • 60
  • 30
多克隆

标记

  • 38
  • 6
  • 6
  • 4
  • 4
  • 4
  • 4
  • 4
  • 4
  • 3
  • 1
  • 1
  • 1
  • 1
  • 1
  • 1
  • 1
  • 1
  • 1
  • 1
  • 1
  • 1
  • 1
This Calpain 2 antibody is un-conjugated

应用范围

  • 56
  • 26
  • 23
  • 15
  • 13
  • 13
  • 13
  • 11
  • 6
  • 4
  • 2
Western Blotting (WB), Immunohistochemistry (IHC), Immunofluorescence (IF), Immunocytochemistry (ICC), Flow Cytometry (FACS)
  • 抗原表位

    • 15
    • 11
    • 7
    • 6
    • 5
    • 3
    • 2
    • 2
    • 2
    • 1
    • 1
    • 1
    • 1
    • 1
    • 1
    • 1
    • 1
    • 1
    • 1
    • 1
    AA 500-700

    原理

    Anti-Calpain 2/CAPN2 Antibody

    交叉反应 (详细)

    No cross-reactivity with other proteins.

    产品特性

    Anti-Calpain 2/CAPN2 Antibody (ABIN5518897). Tested in Flow Cytometry, IF, IHC, ICC, WB applications. This antibody reacts with Human, Mouse, Rat. This is a premium antibody that guarantees superior quality, high affinity, and strong signals with minimal background in Western blot applications.

    纯化方法

    Immunogen affinity purified.

    免疫原

    E. coli-derived human Calpain 2 recombinant protein (Position: R500-L700). Human Calpain 2 shares 93.5% and 92.5% amino acid (aa) sequence identity with mouse and rat Calpain 2, respectively.

    亚型

    IgG
  • 应用备注

    Immunohistochemistry (Paraffin-embedded Section), 0.5-1 μg/mL, Human, Rat Western blot, 0.1-0.5 μg/mL, Human, Mouse, Rat,
    Immunocytochemistry/Immunofluorescence, 2 μg/mL, Human
    Flow Cytometry (Fixed), 1-3 μg/1x106 cells, Human

    说明

    We recommend Enhanced Chemiluminescent Kit with anti-Rabbit IgG (ABIN921124) for Western blot, and HRP Conjugated anti-Rabbit IgG Super Vision Assay Kit (SV0002-1) for IHC(P).

    限制

    仅限研究用
  • 状态

    Lyophilized

    溶解方式

    Add 0.2 mL of distilled water will yield a concentration of 500 μg/mL.

    浓度

    500 μg/mL

    缓冲液

    Each vial contains 4 mg Trehalose, 0.9 mg NaCl, 0.2 mg Na2HPO4, 0.05 mg Sodium azide.

    储存液

    Sodium azide

    注意事项

    This product contains Sodium azide: a POISONOUS AND HAZARDOUS SUBSTANCE which should be handled by trained staff only.

    储存条件

    4 °C,-20 °C

    储存方法

    Store at -20°C for one year from date of receipt. After reconstitution, at 4°C for one month.
    It can also be aliquotted and stored frozen at -20°C for six months. Avoid repeated freeze-thaw cycles.
  • 抗原

    Calpain 2 (CAPN2)

    别名

    CAPN2

    背景

    Synonyms: Calpain-2 catalytic subunit,3.4.22.53,Calcium-activated neutral proteinase 2,CANP 2,Calpain M-type,Calpain large polypeptide L2,Calpain-2 large subunit,Millimolar-calpain,M-calpain,CAPN2,CANPL2,

    Tissue Specificity: Ubiquitous.

    Background: Calpain-2 catalytic subunit is a protein that in humans is encoded by the CAPN2 gene. The calpains, calcium-activated neutral proteases, are nonlysosomal, intracellular cysteine proteases. The mammalian calpains include ubiquitous, stomach-specific, and muscle-specific proteins. The ubiquitous enzymes consist of heterodimers with distinct large, catalytic subunits associated with a common small, regulatory subunit. This gene encodes the large subunit of the ubiquitous enzyme, calpain 2. Multiple heterogeneous transcriptional start sites in the 5' UTR have been reported.

    分子量

    80 kDa

    基因ID

    824

    UniProt

    P17655
You are here: