电话:
+86 (0512) 65829739
传真:
+86 (010) 6788 5057
电子邮件:
orders@antibodies-online.cn

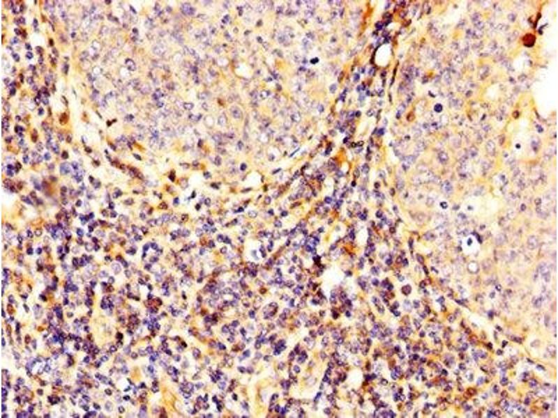
Calpain 2 抗体 (Catalytic Subunit)

The 兔 多克隆 anti-Calpain 2 antibody is suitable to detect Calpain 2 in samples from 人. It has been validated for WB, ELISA, IHC, IF 和 IP.
产品编号 ABIN7146540
发货至: 中国
Contact our Customer Service for availability and price in your country. Contact Info

Our Local Distributor

中国
北京 101111
No. 88 KeChuang 6th Street
Beijing Economic Technological Development Area
Room 801-803
4A Biotech Co.,Ltd.
Tel +86 (0512) 65829739 传真 +86 (010) 6788 5057

Quick Overview for Calpain 2 抗体 (Catalytic Subunit) (ABIN7146540)

抗原

See all Calpain 2 (CAPN2) 抗体
Calpain 2 (CAPN2)

适用

  • 84
  • 55
  • 31
  • 5
  • 2
  • 1
  • 1

宿主

  • 82
  • 8

克隆类型

  • 60
  • 30
多克隆

标记

  • 38
  • 6
  • 6
  • 4
  • 4
  • 4
  • 4
  • 4
  • 4
  • 3
  • 1
  • 1
  • 1
  • 1
  • 1
  • 1
  • 1
  • 1
  • 1
  • 1
  • 1
  • 1
  • 1
This Calpain 2 antibody is un-conjugated

应用范围

  • 56
  • 25
  • 23
  • 15
  • 14
  • 13
  • 13
  • 11
  • 7
  • 4
  • 1
Western Blotting (WB), ELISA, Immunohistochemistry (IHC), Immunofluorescence (IF), Immunoprecipitation (IP)
  • 抗原表位

    • 15
    • 10
    • 7
    • 5
    • 5
    • 3
    • 2
    • 2
    • 2
    • 2
    • 1
    • 1
    • 1
    • 1
    • 1
    • 1
    • 1
    • 1
    • 1
    • 1
    AA 20-700, Catalytic Subunit

    原理

    CAPN2 Antibody

    纯化方法

    Protein G purified

    纯度

    >95 %

    免疫原

    Recombinant Human Calpain-2 catalytic subunit protein (20-700AA)

    亚型

    IgG
  • 应用备注

    Optimal working dilution should be determined by the investigator.

    限制

    仅限研究用
  • 状态

    Liquid

    缓冲液

    Preservative: 0.03 % Proclin 300
    Constituents: 50 % Glycerol, 0.01M PBS, PH 7.4

    储存液

    ProClin

    注意事项

    This product contains ProClin: a POISONOUS AND HAZARDOUS SUBSTANCE which should be handled by trained staff only.

    储存条件

    -20 °C,-80 °C

    储存方法

    Upon receipt, store at -20°C or -80°C. Avoid repeated freeze.
  • 抗原

    Calpain 2 (CAPN2)

    别名

    CAPN2

    背景

    Background: Calcium-regulated non-lysosomal thiol-protease which catalyze limited proteolysis of substrates involved in cytoskeletal remodeling and signal transduction.

    Aliases: Calcium activated neutral proteinase 2 antibody, Calcium activated neutral proteinase antibody, Calcium-activated neutral protease 2, catalytic subunit antibody, Calcium-activated neutral proteinase 2 antibody, CALP80 antibody, Calpain 2 (m/II) large subunit antibody, Calpain 2 catalytic subunit antibody, Calpain 2 large catalytic subunit antibody, Calpain 2 large subunit antibody, Calpain 2, large [catalytic] subunit antibody, Calpain large polypeptide L2 antibody, Calpain M type antibody, Calpain M-type antibody, Calpain-2 catalytic subunit antibody, Calpain-2 large subunit antibody, Calpain2 antibody, CAN2_HUMAN antibody, CANP 2 antibody, CANP L2 antibody, CANP2 antibody, CANPL 2 antibody, CANPL2 antibody, CANPml antibody, Capa2 antibody, CAPN 2 antibody, CAPN2 antibody, FLJ39928 antibody, M calpain antibody, M calpin antibody, M type antibody, M-calpain antibody, mCANP antibody, Millimolar calpain antibody, Millimolar-calpain antibody

    UniProt

    P17655
You are here: