电话:
+86 (0512) 65829739
传真:
+86 (010) 6788 5057
电子邮件:
orders@antibodies-online.cn

SUMO4 抗体

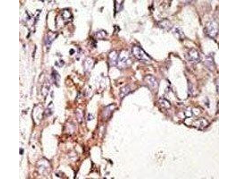
This 兔 多克隆 antibody specifically detects SUMO4 in WB, IHC 和 ELISA. It exhibits reactivity toward 人.
产品编号 ABIN3032653
发货至: 中国
Contact our Customer Service for availability and price in your country. Contact Info

Our Local Distributor

中国
北京 101111
No. 88 KeChuang 6th Street
Beijing Economic Technological Development Area
Room 801-803
4A Biotech Co.,Ltd.
Tel +86 (0512) 65829739 传真 +86 (010) 6788 5057

Quick Overview for SUMO4 抗体 (ABIN3032653)

抗原

See all SUMO4 抗体
SUMO4 (Small Ubiquitin Related Modifier 4 (SUMO4))

适用

  • 54
  • 27
  • 27

宿主

  • 51
  • 3

克隆类型

  • 33
  • 21
多克隆

标记

  • 26
  • 4
  • 3
  • 3
  • 3
  • 3
  • 3
  • 3
  • 1
  • 1
  • 1
  • 1
  • 1
  • 1
This SUMO4 antibody is un-conjugated

应用范围

  • 39
  • 18
  • 16
  • 15
  • 10
  • 10
  • 10
  • 5
  • 3
Western Blotting (WB), Immunohistochemistry (IHC), ELISA
  • 纯化方法

    Antigen affinity purified

    免疫原

    This SUMO4 antibody was produced from rabbits immunized with a KLH conjugated synthetic peptide selected from the center region of human SUMO4.

    亚型

    Ig Fraction
  • 应用备注

    Titration of the SUMO4 antibody may be required due to differences in protocols and secondary/substrate sensitivity.\. IHC (Paraffin): 1:50-1:100,Western blot: 1:1000

    限制

    仅限研究用
  • 状态

    Liquid

    缓冲液

    In 1X PBS, pH 7.4, with 0.09 % sodium azide

    储存液

    Sodium azide

    注意事项

    This product contains Sodium azide: a POISONOUS AND HAZARDOUS SUBSTANCE which should be handled by trained staff only.

    储存条件

    -20 °C

    储存方法

    Aliquot the SUMO4 antibody and store frozen at -20°C or colder. Avoid repeated freeze-thaw cycles.
  • 抗原

    SUMO4 (Small Ubiquitin Related Modifier 4 (SUMO4))

    别名

    SUMO4

    背景

    Ubiquitin-like protein which can be covalently attached to target lysines as a monomer. Does not seem to be involved in protein degradation and may modulate protein subcellular localization, stability or activity. Upon oxidative stress, conjugates to various anti-oxidant enzymes, chaperones, and stress defense proteins. May also conjugate to NFKBIA, TFAP2A and FOS, negatively regulating their transcriptional activity, and to NR3C1, positively regulating its transcriptional activity. Covalent attachment to its substrates requires prior activation by the E1 complex SAE1-SAE2 and linkage to the E2 enzyme UBE2I. [UniProt]

    UniProt

    Q6EEV6
You are here: