电话:
+86 (0512) 65829739
传真:
+86 (010) 6788 5057
电子邮件:
orders@antibodies-online.cn

SUMO4 抗体

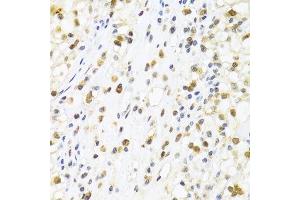
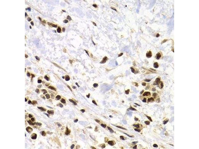
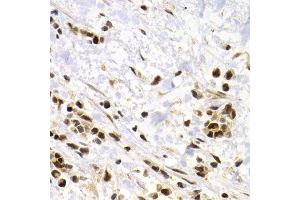
The 兔 多克隆 anti-SUMO4 antibody (ABIN3017370) specifically detects SUMO4 in WB 和 IHC. The antibody is reactive with 人 samples.
产品编号 ABIN3017370
发货至: 中国
Contact our Customer Service for availability and price in your country. Contact Info

Our Local Distributor

中国
北京 101111
No. 88 KeChuang 6th Street
Beijing Economic Technological Development Area
Room 801-803
4A Biotech Co.,Ltd.
Tel +86 (0512) 65829739 传真 +86 (010) 6788 5057

Quick Overview for SUMO4 抗体 (ABIN3017370)

抗原

See all SUMO4 抗体
SUMO4 (Small Ubiquitin Related Modifier 4 (SUMO4))

适用

  • 54
  • 27
  • 27

宿主

  • 51
  • 3

克隆类型

  • 33
  • 21
多克隆

标记

  • 26
  • 4
  • 3
  • 3
  • 3
  • 3
  • 3
  • 3
  • 1
  • 1
  • 1
  • 1
  • 1
  • 1
This SUMO4 antibody is un-conjugated

应用范围

  • 39
  • 18
  • 16
  • 16
  • 10
  • 10
  • 10
  • 5
  • 3
Western Blotting (WB), Immunohistochemistry (IHC)
  • 交叉反应

    人, 小鼠

    产品特性

    Polyclonal Antibodies

    免疫原

    A synthetic peptide of human SUMO4

    亚型

    IgG
  • 应用备注

    WB,1:1000 - 1:2000,IHC,1:100 - 1:300

    限制

    仅限研究用
  • 缓冲液

    PBS with 0.02 % sodium azide,50 % glycerol, pH 7.3.

    储存液

    Sodium azide

    注意事项

    This product contains Sodium azide: a POISONOUS AND HAZARDOUS SUBSTANCE which should be handled by trained staff only.

    储存条件

    -20 °C

    储存方法

    Store at -20°C. Avoid freeze / thaw cycles.
  • 抗原

    SUMO4 (Small Ubiquitin Related Modifier 4 (SUMO4))

    别名

    SUMO4

    背景

    This gene is a member of the SUMO gene family. This family of genes encode small ubiquitin-related modifiers that are attached to proteins and control the target proteins' subcellular localization, stability, or activity. The protein described in this record is located in the cytoplasm and specifically modifies IKBA, leading to negative regulation of NF-kappa-B-dependent transcription of the IL12B gene. A specific polymorphism in this SUMO gene, which leads to the M55V substitution, has been associated with type I diabetes. The RefSeq contains this polymorphism.,SUMO4,IDDM5,SMT3H4,SUMO-4,dJ281H8.4,Epigenetics & Nuclear Signaling,Transcription Factors,Cell Biology & Developmental Biology,Ubiquitin,Endocrine & Metabolism,Mitochondrial metabolism,Immunology & Inflammation,IL-6 Receptor Signaling Pathway,NF-kB Signaling Pathway,SUMO4

    分子量

    10 kDa

    基因ID

    387082

    UniProt

    Q6EEV6
You are here: