电话:
+86 (0512) 65829739
传真:
+86 (010) 6788 5057
电子邮件:
orders@antibodies-online.cn

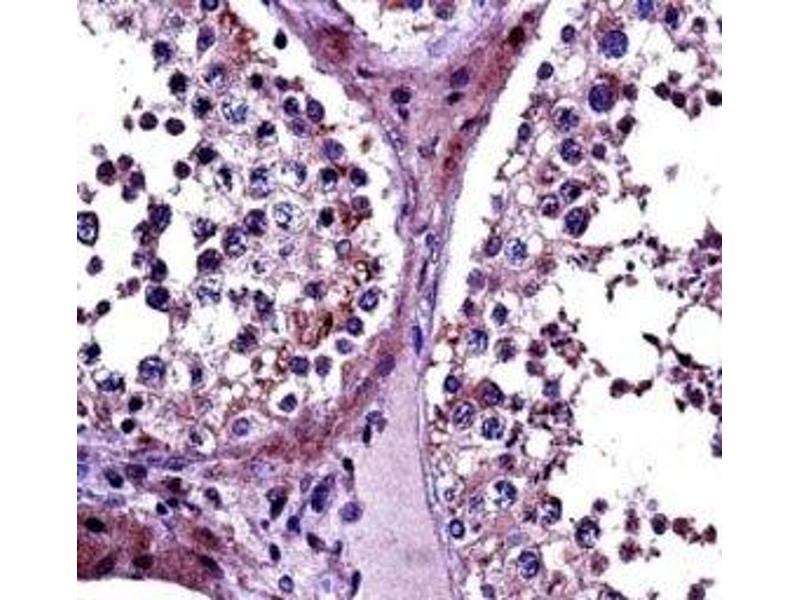
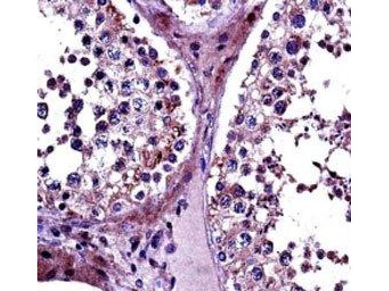
PRMT5 抗体 (AA 76-104)

The 兔 多克隆 anti-PRMT5 antibody is suitable to detect PRMT5 in samples from 人. It has been validated for WB, IHC 和 ELISA.
产品编号 ABIN3032360
发货至: 中国
Contact our Customer Service for availability and price in your country. Contact Info

Our Local Distributor

中国
北京 101111
No. 88 KeChuang 6th Street
Beijing Economic Technological Development Area
Room 801-803
4A Biotech Co.,Ltd.
Tel +86 (0512) 65829739 传真 +86 (010) 6788 5057

Quick Overview for PRMT5 抗体 (AA 76-104) (ABIN3032360)

抗原

See all PRMT5 抗体
PRMT5 (Protein Arginine Methyltransferase 5 (PRMT5))

适用

  • 105
  • 52
  • 33
  • 8
  • 6
  • 6
  • 3
  • 3
  • 3
  • 2
  • 2
  • 2
  • 2

宿主

  • 95
  • 7
  • 2
  • 1

克隆类型

  • 71
  • 33
  • 1
多克隆

标记

  • 59
  • 5
  • 4
  • 3
  • 3
  • 3
  • 3
  • 3
  • 3
  • 3
  • 1
  • 1
  • 1
  • 1
  • 1
  • 1
  • 1
  • 1
  • 1
  • 1
  • 1
  • 1
  • 1
  • 1
  • 1
  • 1
This PRMT5 antibody is un-conjugated

应用范围

  • 73
  • 41
  • 33
  • 24
  • 14
  • 14
  • 14
  • 13
  • 13
  • 10
  • 6
  • 3
  • 2
  • 1
  • 1
  • 1
Western Blotting (WB), Immunohistochemistry (IHC), ELISA
  • 抗原表位

    • 15
    • 9
    • 7
    • 6
    • 5
    • 4
    • 3
    • 3
    • 2
    • 2
    • 2
    • 1
    • 1
    • 1
    • 1
    • 1
    • 1
    • 1
    • 1
    • 1
    • 1
    AA 76-104

    交叉反应 (详细)

    Expected species reactivity: Bovine, Primate

    纯化方法

    Antigen affinity purified

    免疫原

    A portion of amino acids 76-104 from the human protein was used as the immunogen for this PRMT5 antibody.

    亚型

    Ig Fraction
  • 应用备注

    Titration of the PRMT5 antibody may be required due to differences in protocols and secondary/substrate sensitivity.\. Western blot: 1:1000,IHC (Paraffin): 1:10-1:50

    限制

    仅限研究用
  • 状态

    Liquid

    缓冲液

    In 1X PBS, pH 7.4, with 0.09 % sodium azide

    储存液

    Sodium azide

    注意事项

    This product contains Sodium azide: a POISONOUS AND HAZARDOUS SUBSTANCE which should be handled by trained staff only.

    储存条件

    -20 °C

    储存方法

    Aliquot the PRMT5 antibody and store frozen at -20°C or colder. Avoid repeated freeze-thaw cycles.
  • 抗原

    PRMT5 (Protein Arginine Methyltransferase 5 (PRMT5))

    别名

    PRMT5

    背景

    Arginine methyltransferase that can both catalyze the formation of omega-N monomethylarginine (MMA) and symmetrical dimethylarginine (sDMA), with a preference for the formation of MMA. Specifically mediates the symmetrical dimethylation of arginine residues in the small nuclear ribonucleoproteins Sm D1 (SNRPD1) and Sm D3 (SNRPD3), such methylation being required for the assembly and biogenesis of snRNP core particles. Methylates SUPT5H. Mono-and dimethylates arginine residues of myelin basic protein (MBP) in vitro. Plays a role in the assembly of snRNP core particles. May play a role in cytokine-activated transduction pathways. Negatively regulates cyclin E1 promoter activity and cellular proliferation. May regulate the SUPT5H transcriptional elongation properties. May be part of a pathway that is connected to a chloride current, possibly through cytoskeletal rearrangement. Methylates histone H2A and H4 'Arg-3' during germ cell development. Methylates histone H3 'Arg-8', which may repress transcription. Methylates the Piwi proteins (PIWIL1, PIWIL2 and PIWIL4), methylation of Piwi proteins being required for the interaction with Tudor domain-containing proteins and subsequent localization to the meiotic nuage. Methylates RPS10.

    UniProt

    O14744

    途径

    Chromatin Binding, Regulation of Muscle Cell Differentiation, Ribonucleoprotein Complex Subunit Organization, Skeletal Muscle Fiber Development
You are here: