电话:
+86 (0512) 65829739
传真:
+86 (010) 6788 5057
电子邮件:
orders@antibodies-online.cn

PRMT5 抗体 (N-Term)

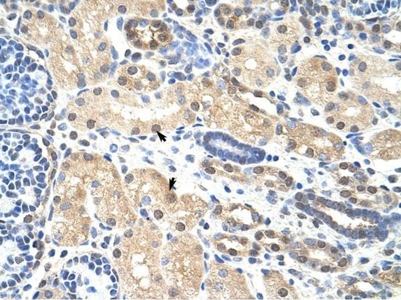
This 兔 多克隆 antibody specifically detects PRMT5 in WB 和 IHC. It exhibits reactivity toward 人, 小鼠, 大鼠 和 犬.
产品编号 ABIN629605
发货至: 中国
Contact our Customer Service for availability and price in your country. Contact Info

Our Local Distributor

中国
北京 101111
No. 88 KeChuang 6th Street
Beijing Economic Technological Development Area
Room 801-803
4A Biotech Co.,Ltd.
Tel +86 (0512) 65829739 传真 +86 (010) 6788 5057

Quick Overview for PRMT5 抗体 (N-Term) (ABIN629605)

抗原

See all PRMT5 抗体
PRMT5 (Protein Arginine Methyltransferase 5 (PRMT5))

适用

  • 105
  • 51
  • 32
  • 7
  • 6
  • 6
  • 3
  • 3
  • 3
  • 2
  • 2
  • 2
  • 2
人, 小鼠, 大鼠, 犬

宿主

  • 95
  • 7
  • 2
  • 1

克隆类型

  • 71
  • 33
  • 1
多克隆

标记

  • 59
  • 5
  • 4
  • 3
  • 3
  • 3
  • 3
  • 3
  • 3
  • 3
  • 1
  • 1
  • 1
  • 1
  • 1
  • 1
  • 1
  • 1
  • 1
  • 1
  • 1
  • 1
  • 1
  • 1
  • 1
  • 1
This PRMT5 antibody is un-conjugated

应用范围

  • 73
  • 41
  • 34
  • 24
  • 14
  • 14
  • 14
  • 13
  • 13
  • 10
  • 6
  • 3
  • 2
  • 1
  • 1
  • 1
Western Blotting (WB), Immunohistochemistry (IHC)
  • 抗原表位

    • 15
    • 9
    • 8
    • 5
    • 5
    • 4
    • 3
    • 3
    • 2
    • 2
    • 2
    • 1
    • 1
    • 1
    • 1
    • 1
    • 1
    • 1
    • 1
    • 1
    • 1
    N-Term

    特异性

    PRMT5 antibody was raised against the N terminal of PRMT5

    纯化方法

    Purified

    免疫原

    PRMT5 antibody was raised using the N terminal of PRMT5 corresponding to a region with amino acids FDFLCMPVFHPRFKREFIQEPAKNRPGPQTRSDLLLSGRDWNTLIVGKLS
  • 应用备注

    WB: 2.5 µg/mL, IHC: 4-8 µg/mL
    Optimal conditions should be determined by the investigator.

    说明

    PRMT5 Blocking Peptide, (ABIN938250), is also available for use as a blocking control in assays to test for specificity of this PRMT5 antibody

    限制

    仅限研究用
  • 状态

    Lyophilized

    溶解方式

    Lyophilized powder. Add distilled water for a 1 mg/mL concentration of PRMT5 antibody in PBS

    浓度

    Lot specific

    缓冲液

    PBS

    注意事项

    Avoid repeated freeze/thaw cycles.
    Dilute only prior to immediate use.

    储存条件

    4 °C/-20 °C

    储存方法

    Store at 2-8 °C for short periods. For longer periods of storage, store at -20 °C.
  • 抗原

    PRMT5 (Protein Arginine Methyltransferase 5 (PRMT5))

    别名

    PRMT5

    背景

    PRMT5 methylates specific arginine residues in the small nuclear ribonucleoproteins Sm D1 and Sm D3 to monomethylarginine and to symmetrical dimethylarginines (sDMAs). It methylates SUPT5H. PRMT5 plays a role in the assembly of snRNP core particles and may play a role in cytokine-activated transduction pathways. It negatively regulates cyclin E1 promoter activity and cellular proliferation and May regulate the SUPT5H transcriptional elongation properties. It may be part of a pathway that is connected to a chloride current, possibly through cytoskeletal rearrangement. PRMT5 methylates histone H2A/H4 'Arg-3' during germ cell development and methylates histone H3 'Arg-8', which may repress transcription.

    分子量

    68 kDa (MW of target protein)

    途径

    Chromatin Binding, Regulation of Muscle Cell Differentiation, Ribonucleoprotein Complex Subunit Organization, Skeletal Muscle Fiber Development
You are here: