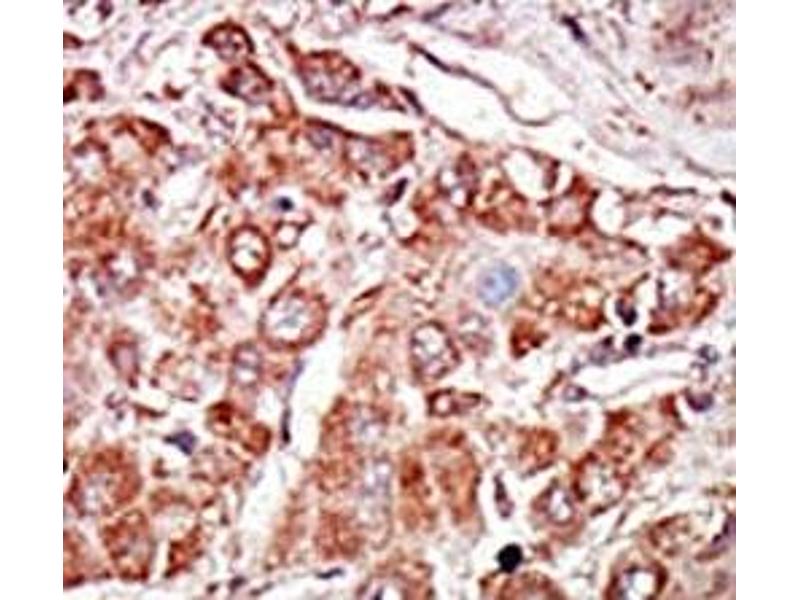
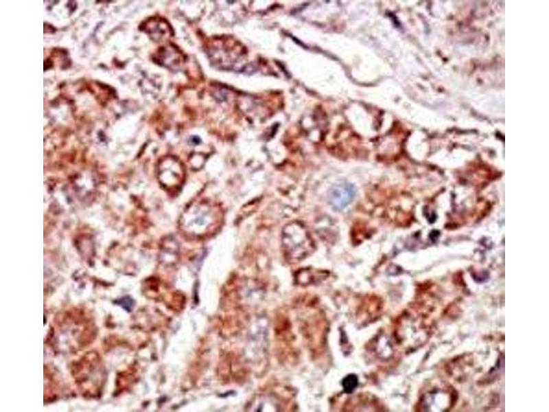
EIF2AK2 抗体 (AA 11-42)
Our Local Distributor
北京 101111
Quick Overview for EIF2AK2 抗体 (AA 11-42) (ABIN3030884)
抗原
See all EIF2AK2 抗体适用
宿主
克隆类型
标记
应用范围
-
-
抗原表位
- AA 11-42
-
纯化方法
- Purified
-
免疫原
- A portion of amino acids 11-42 from the human protein was used as the immunogen for this PKR antibody.
-
亚型
- Ig Fraction
-
-
-
-
应用备注
- Titration of the PKR antibody may be required due to differences in protocols and secondary/substrate sensitivity.\. Western blot: 1:1000,IHC (Paraffin): 1:50-1:100
-
限制
- 仅限研究用
-
-
-
状态
- Liquid
-
缓冲液
- In 1X PBS pH 7.4 with 0.09 % sodium azide
-
储存液
- Sodium azide
-
注意事项
- This product contains Sodium azide: a POISONOUS AND HAZARDOUS SUBSTANCE which should be handled by trained staff only.
-
储存条件
- -20 °C
-
储存方法
- Aliquot the PKR antibody and store frozen at -20°C or colder. Avoid repeated freeze-thaw cycles.
-
-
- EIF2AK2 (Eukaryotic Translation Initiation Factor 2-alpha Kinase 2 (EIF2AK2))
-
别名
- PKR
-
背景
- Interferon-induced, double-stranded RNA-activated protein kinase (PRKR/PKR) is a serine-threonine kinase. Activation by dsRNAs leads to autophosphorylation of PKR and allows the kinase to phosphorylate its natural substrate, the alpha subunit of eukaryotic protein synthesis initiation factor-2 (EIF2-alpha), leading to the inhibition of protein synthesis. PRKR, which is involved in TLR signaling and mediates apoptosis in fibroblasts in response to viral infection and inflammatory cytokines, activates IKK and NFKB, thereby suppressing apoptosis. Apoptosis induced by live pathogenic gram-positive and gram-negative bacteria requirs both TLR4 and PKR, possibly representing a major mechanism for pathogenic bacteria that use specific virulence factors to avoid detection and destruction by the innate immune system.
-
UniProt
- P19525
-
途径
- DNA Damage Repair, ER-Nucleus Signaling, Hepatitis C
抗原
-