PINK1 抗体
Our Local Distributor
北京 101111
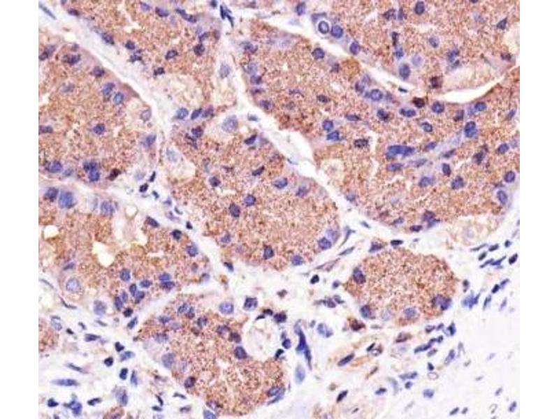
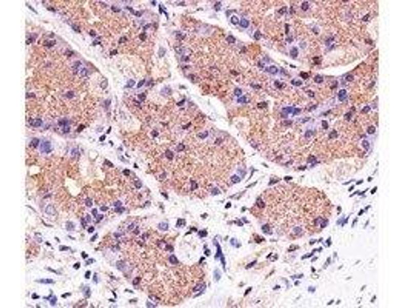
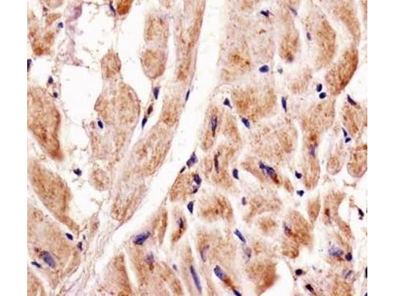
Quick Overview for PINK1 抗体 (ABIN3028956)
抗原
See all PINK1 抗体适用
宿主
克隆类型
标记
应用范围
克隆位点
-
-
纯化方法
- Purified
-
免疫原
- Recombinant protein was used to produced this monoclonal PINK1 antibody.
-
亚型
- IgG1
-
-
-
-
应用备注
- Titration of the PINK1 antibody may be required due to differences in protocols and secondary/substrate sensitivity.\. IHC (Paraffin): 1:25-100,Immunofluorescence: 1:25,Western blot: 1:100-2000
-
限制
- 仅限研究用
-
-
-
状态
- Liquid
-
缓冲液
- In 1X PBS, pH 7.4, with 0.09 % sodium azide
-
储存液
- Sodium azide
-
注意事项
- This product contains Sodium azide: a POISONOUS AND HAZARDOUS SUBSTANCE which should be handled by trained staff only.
-
储存条件
- -20 °C
-
储存方法
- Aliquot the PINK1 antibody and store frozen at -20°C or colder. Avoid repeated freeze-thaw cycles.
-
-
- PINK1 (PTEN Induced Putative Kinase 1 (PINK1))
-
别名
- PINK1
-
背景
- This gene encodes a serine/threonine protein kinase that localizes to mitochondria. It is thought to protect cells from stress-induced mitochondrial dysfunction. Mutations in this gene cause one form of autosomal recessive early-onset Parkinson disease.
-
UniProt
- Q9BXM7
-
途径
- Autophagy
抗原
-