电话:
+86 (0512) 65829739
传真:
+86 (010) 6788 5057
电子邮件:
orders@antibodies-online.cn

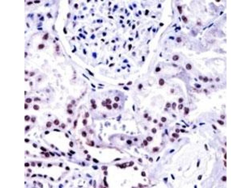
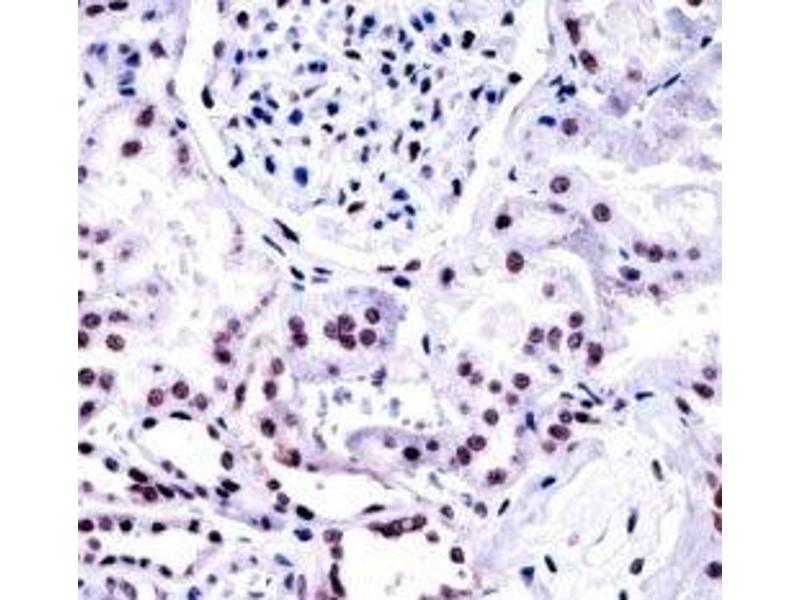
NONO 抗体 (AA 45-74)

The 兔 多克隆 anti-NONO antibody (ABIN3032025) specifically detects NONO in WB, IHC 和 ELISA. The antibody is reactive with 人 samples.
产品编号 ABIN3032025
发货至: 中国
Contact our Customer Service for availability and price in your country. Contact Info

Our Local Distributor

中国
北京 101111
No. 88 KeChuang 6th Street
Beijing Economic Technological Development Area
Room 801-803
4A Biotech Co.,Ltd.
Tel +86 (0512) 65829739 传真 +86 (010) 6788 5057

Quick Overview for NONO 抗体 (AA 45-74) (ABIN3032025)

抗原

See all NONO 抗体
NONO (Non-POU Domain Containing, Octamer-Binding (NONO))

适用

  • 87
  • 47
  • 43
  • 15
  • 12
  • 6
  • 5
  • 5
  • 5
  • 3
  • 3
  • 1

宿主

  • 81
  • 4
  • 2
  • 1

克隆类型

  • 61
  • 27
多克隆

标记

  • 44
  • 6
  • 3
  • 3
  • 3
  • 3
  • 3
  • 3
  • 3
  • 2
  • 1
  • 1
  • 1
  • 1
  • 1
  • 1
  • 1
  • 1
  • 1
  • 1
  • 1
  • 1
  • 1
  • 1
  • 1
This NONO antibody is un-conjugated

应用范围

  • 68
  • 42
  • 27
  • 22
  • 17
  • 14
  • 14
  • 13
  • 10
  • 6
  • 3
  • 2
  • 1
  • 1
Western Blotting (WB), Immunohistochemistry (IHC), ELISA
  • 抗原表位

    • 15
    • 8
    • 7
    • 6
    • 4
    • 3
    • 2
    • 2
    • 2
    • 2
    • 1
    • 1
    • 1
    • 1
    • 1
    • 1
    AA 45-74

    交叉反应 (详细)

    Expected species reactivity: Mouse, Rat

    纯化方法

    Antigen affinity purified

    免疫原

    A portion of amino acids 45-74 from the human protein was used as the immunogen for this NONO antibody.

    亚型

    Ig Fraction
  • 应用备注

    Titration of the NONO antibody may be required due to differences in protocols and secondary/substrate sensitivity.\. Western blot: 1:1000,IHC (Paraffin): 1:10-1:50

    限制

    仅限研究用
  • 状态

    Liquid

    缓冲液

    In 1X PBS, pH 7.4, with 0.09 % sodium azide

    储存液

    Sodium azide

    注意事项

    This product contains Sodium azide: a POISONOUS AND HAZARDOUS SUBSTANCE which should be handled by trained staff only.

    储存条件

    -20 °C

    储存方法

    Aliquot the NONO antibody and store frozen at -20°C or colder. Avoid repeated freeze-thaw cycles.
  • 抗原

    NONO (Non-POU Domain Containing, Octamer-Binding (NONO))

    别名

    NONO

    背景

    This gene encodes 'Non POU domain containing octamer binding protein', or NONO, an RNA-binding protein which plays various roles in the nucleus, including transcriptional regulation and RNA splicing. A rearrangement between this gene and the transcription factor E3 gene has been observed in papillary renal cell carcinoma. Alternatively spliced transcript variants have been described. Pseudogenes exist on Chromosomes 2 and 16. [provided by RefSeq].

    UniProt

    Q15233
You are here: