电话:
+86 (0512) 65829739
传真:
+86 (010) 6788 5057
电子邮件:
orders@antibodies-online.cn

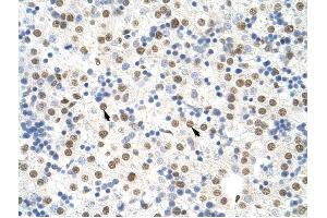
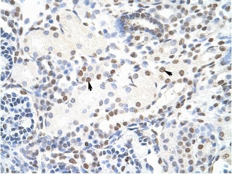
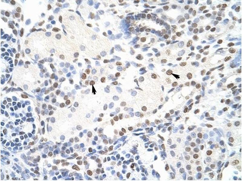
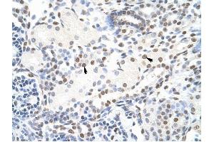
NONO 抗体 (C-Term)

The 兔 多克隆 anti-NONO antibody (ABIN629889) specifically detects NONO in WB 和 IHC. The antibody is reactive with 人 和 犬 samples.
产品编号 ABIN629889
发货至: 中国
Contact our Customer Service for availability and price in your country. Contact Info

Our Local Distributor

中国
北京 101111
No. 88 KeChuang 6th Street
Beijing Economic Technological Development Area
Room 801-803
4A Biotech Co.,Ltd.
Tel +86 (0512) 65829739 传真 +86 (010) 6788 5057

Quick Overview for NONO 抗体 (C-Term) (ABIN629889)

抗原

See all NONO 抗体
NONO (Non-POU Domain Containing, Octamer-Binding (NONO))

适用

  • 87
  • 47
  • 43
  • 15
  • 11
  • 6
  • 5
  • 5
  • 5
  • 3
  • 3
  • 1
人, 犬

宿主

  • 81
  • 4
  • 2
  • 1

克隆类型

  • 61
  • 27
多克隆

标记

  • 44
  • 6
  • 3
  • 3
  • 3
  • 3
  • 3
  • 3
  • 3
  • 2
  • 1
  • 1
  • 1
  • 1
  • 1
  • 1
  • 1
  • 1
  • 1
  • 1
  • 1
  • 1
  • 1
  • 1
  • 1
This NONO antibody is un-conjugated

应用范围

  • 68
  • 42
  • 27
  • 23
  • 17
  • 14
  • 14
  • 13
  • 10
  • 6
  • 3
  • 2
  • 1
  • 1
Western Blotting (WB), Immunohistochemistry (IHC)
  • 抗原表位

    • 15
    • 8
    • 8
    • 5
    • 4
    • 3
    • 2
    • 2
    • 2
    • 2
    • 1
    • 1
    • 1
    • 1
    • 1
    • 1
    C-Term

    特异性

    NONO antibody was raised against the C terminal of NONO

    纯化方法

    Purified

    免疫原

    NONO antibody was raised using the C terminal of NONO corresponding to a region with amino acids DGTLGLTPPTTERFGQAATMEGIGAIGGTPPAFNRAAPGAEFAPNKRRRY
  • 应用备注

    WB: 1.25 µg/mL, IHC: 4-8 µg/mL
    Optimal conditions should be determined by the investigator.

    说明

    NONO Blocking Peptide, (ABIN937355), is also available for use as a blocking control in assays to test for specificity of this NONO antibody

    限制

    仅限研究用
  • 状态

    Lyophilized

    溶解方式

    Lyophilized powder. Add distilled water for a 1 mg/mL concentration of NONO antibody in PBS

    浓度

    Lot specific

    缓冲液

    PBS

    注意事项

    Avoid repeated freeze/thaw cycles.
    Dilute only prior to immediate use.

    储存条件

    4 °C/-20 °C

    储存方法

    Store at 2-8 °C for short periods. For longer periods of storage, store at -20 °C.
  • 抗原

    NONO (Non-POU Domain Containing, Octamer-Binding (NONO))

    别名

    NONO

    背景

    NONO is DNA- and RNA binding protein, involved in several nuclear processes. It binds the conventional octamer sequence in double stranded DNA. It also binds single-stranded DNA and RNA at a site independent of the duplex site. It is involved in pre-mRNA splicing and interacts with U5 snRNA. The SFPQ-NONO heteromer associated with MATR3 may play a role in nuclear retention of defective RNAs, be involved in DNA unwinding by modulating the function of topoisomerase I/TOP1 and be involved in DNA nonhomologous end joining (NHEJ) required for double-strand break repair and V(D)J recombination and may stabilize paired DNA ends. NONO binds to an enhancer element in long terminal repeats of endogenous intracisternal A particles (IAPs) and activates transcription.

    分子量

    52 kDa (MW of target protein)
You are here: