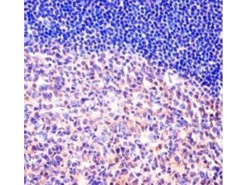
MCM6 抗体 (AA 80-109)
Our Local Distributor
北京 101111
Quick Overview for MCM6 抗体 (AA 80-109) (ABIN3028840)
抗原
See all MCM6 抗体适用
宿主
克隆类型
标记
应用范围
-
-
抗原表位
- AA 80-109
-
交叉反应 (详细)
- Expected species reactivity: Bovine
-
纯化方法
- Antigen affinity purified
-
免疫原
- A portion of amino acids 80-109 from the human protein was used as the immunogen for this MCM6 antibody.
-
亚型
- Ig Fraction
-
-
-
-
应用备注
- Titration of the MCM6 antibody may be required due to differences in protocols and secondary/substrate sensitivity.\. Western blot: 1:1000,IHC (Paraffin): 1:10-1:50
-
限制
- 仅限研究用
-
-
-
状态
- Liquid
-
缓冲液
- In 1X PBS, pH 7.4, with 0.09 % sodium azide
-
储存液
- Sodium azide
-
注意事项
- This product contains Sodium azide: a POISONOUS AND HAZARDOUS SUBSTANCE which should be handled by trained staff only.
-
储存条件
- -20 °C
-
储存方法
- Aliquot the MCM6 antibody and store frozen at -20°C or colder. Avoid repeated freeze-thaw cycles.
-
-
- MCM6 (Minichromosome Maintenance Complex Component 6 (MCM6))
-
别名
- MCM6
-
背景
- MCM6 one of the highly conserved mini-chromosome maintenance proteins (MCM) that are essential for the initiation of eukaryotic genome replication.
-
UniProt
- Q14566
-
途径
- DNA Damage Repair, Mitotic G1-G1/S Phases, DNA Replication, Synthesis of DNA
抗原
-