INSRR 抗体 (AA 668-702)
Our Local Distributor
北京 101111
Quick Overview for INSRR 抗体 (AA 668-702) (ABIN3029735)
抗原
See all INSRR 抗体适用
宿主
克隆类型
标记
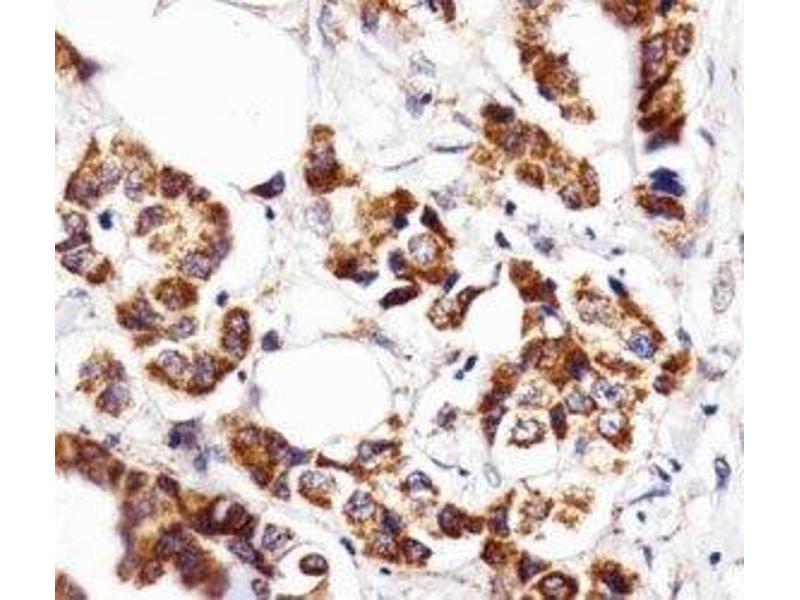
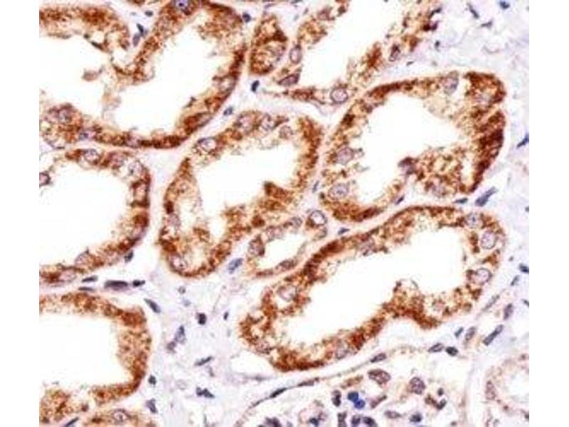
应用范围
-
-
抗原表位
- AA 668-702
-
纯化方法
- Antigen affinity purified
-
免疫原
- This Insulin Receptor Related antibody was produced from a rabbit immunized with a KLH conjugated synthetic peptide between 668-702 amino acids from the Central region of human INSRR.
-
亚型
- Ig Fraction
-
-
-
-
应用备注
- Titration of the Insulin Receptor Related antibody may be required due to differences in protocols and secondary/substrate sensitivity.\. IHC (Paraffin): 1:25,Western blot: 1:1000
-
限制
- 仅限研究用
-
-
-
状态
- Liquid
-
缓冲液
- In 1X PBS pH 7.4 with 0.09 % sodium azide
-
储存液
- Sodium azide
-
注意事项
- This product contains Sodium azide: a POISONOUS AND HAZARDOUS SUBSTANCE which should be handled by trained staff only.
-
储存条件
- -20 °C
-
储存方法
- Aliquot the Insulin Receptor Related antibody and store frozen at -20°C or colder. Avoid repeated freeze-thaw cycles.
-
-
- INSRR (Insulin Receptor-Related Receptor (INSRR))
-
别名
- Insulin Receptor Related (INSRR)
-
背景
- Receptor with tyrosine-protein kinase activity. Functions as a pH sensing receptor which is activated by increased extracellular pH . Activates an intracellular signaling pathway that involves IRS1 and AKT1/PKB.
-
UniProt
- P14616
-
途径
- RTK signaling
抗原
-