电话:
+86 (0512) 65829739
传真:
+86 (010) 6788 5057
电子邮件:
orders@antibodies-online.cn

CD70 抗体 (AA 72-101)

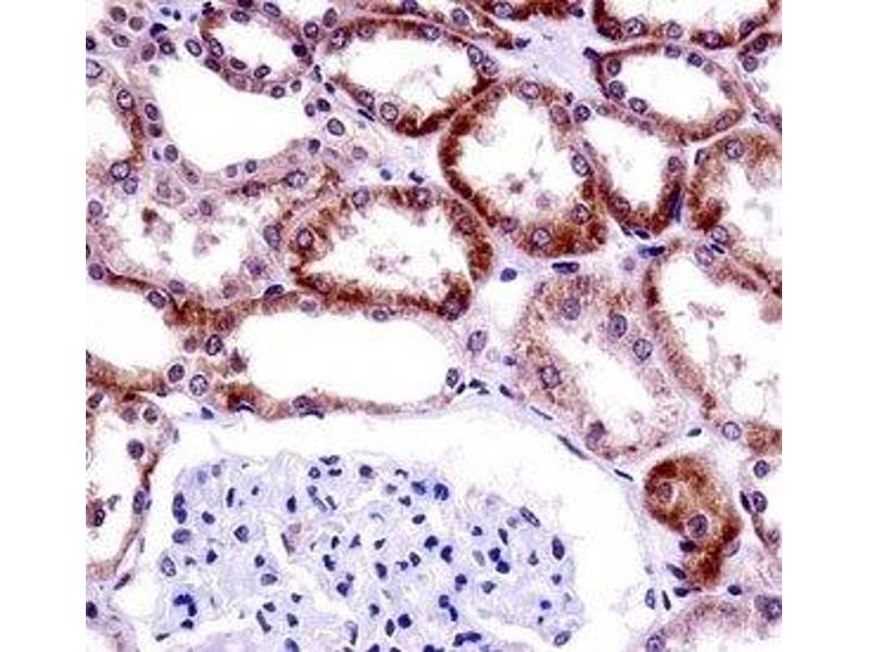
The 兔 多克隆 anti-CD70 antibody (ABIN3030417) specifically detects CD70 in WB, ELISA 和 IHC. The antibody is reactive with 人 samples.
产品编号 ABIN3030417
发货至: 中国
Contact our Customer Service for availability and price in your country. Contact Info

Our Local Distributor

中国
北京 101111
No. 88 KeChuang 6th Street
Beijing Economic Technological Development Area
Room 801-803
4A Biotech Co.,Ltd.
Tel +86 (0512) 65829739 传真 +86 (010) 6788 5057

Quick Overview for CD70 抗体 (AA 72-101) (ABIN3030417)

抗原

See all CD70 抗体
CD70 (CD70 Molecule (CD70))

适用

  • 128
  • 25
  • 3
  • 3
  • 3
  • 2
  • 2
  • 2
  • 1
  • 1
  • 1

宿主

  • 73
  • 51
  • 12
  • 6
  • 2
  • 1
  • 1

克隆类型

  • 75
  • 70
  • 1
多克隆

标记

  • 75
  • 13
  • 12
  • 12
  • 8
  • 4
  • 4
  • 1
  • 1
  • 1
  • 1
  • 1
  • 1
  • 1
  • 1
  • 1
  • 1
  • 1
  • 1
  • 1
  • 1
  • 1
  • 1
  • 1
  • 1
This CD70 antibody is un-conjugated

应用范围

  • 54
  • 54
  • 50
  • 41
  • 24
  • 19
  • 18
  • 17
  • 11
  • 9
  • 9
  • 8
  • 5
  • 3
  • 3
  • 2
  • 2
  • 2
  • 1
Western Blotting (WB), ELISA, Immunohistochemistry (IHC)
  • 抗原表位

    • 8
    • 8
    • 7
    • 5
    • 5
    • 4
    • 4
    • 3
    • 3
    • 3
    • 3
    • 3
    • 2
    • 2
    • 1
    • 1
    • 1
    • 1
    • 1
    • 1
    • 1
    • 1
    AA 72-101

    纯化方法

    Antigen affinity purified

    免疫原

    A portion of amino acids 72-101 from the human protein was used as the immunogen for this CD70 antibody.

    亚型

    Ig Fraction
  • 应用备注

    Titration of the CD70 antibody may be required due to differences in protocols and secondary/substrate sensitivity.\. Western blot: 1:1000,IHC (Paraffin): 1:10-1:50

    限制

    仅限研究用
  • 状态

    Liquid

    缓冲液

    In 1X PBS, pH 7.4, with 0.09 % sodium azide

    储存液

    Sodium azide

    注意事项

    This product contains Sodium azide: a POISONOUS AND HAZARDOUS SUBSTANCE which should be handled by trained staff only.

    储存条件

    -20 °C

    储存方法

    Aliquot the CD70 antibody and store frozen at -20°C or colder. Avoid repeated freeze-thaw cycles.
  • 抗原

    CD70 (CD70 Molecule (CD70))

    别名

    CD70

    背景

    The protein encoded by this gene is a cytokine that belongs to the tumor necrosis factor (TNF) ligand family. This cytokine is a ligand for TNFRSF27/CD27. It is a surface antigen on activated, but not on resting, T and B lymphocytes. It induces proliferation of costimulated T cells, enhances the generation of cytolytic T cells, and contributes to T cell activation. This cytokine is also reported to play a role in regulating B-cell activation, cytotoxic function of natural killer cells, and immunoglobulin sythesis.

    UniProt

    P32970

    途径

    Cancer Immune Checkpoints
You are here: