电话:
+86 (0512) 65829739
传真:
+86 (010) 6788 5057
电子邮件:
orders@antibodies-online.cn

BMP4 抗体 (AA 5-34)

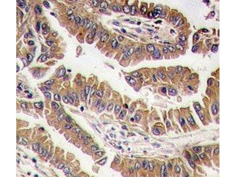
The 兔 多克隆 anti-BMP4 antibody (ABIN3030177) specifically detects BMP4 in WB, IHC 和 ELISA. The antibody is reactive with 人 samples.
产品编号 ABIN3030177
发货至: 中国
Contact our Customer Service for availability and price in your country. Contact Info

Our Local Distributor

中国
北京 101111
No. 88 KeChuang 6th Street
Beijing Economic Technological Development Area
Room 801-803
4A Biotech Co.,Ltd.
Tel +86 (0512) 65829739 传真 +86 (010) 6788 5057

Quick Overview for BMP4 抗体 (AA 5-34) (ABIN3030177)

抗原

See all BMP4 抗体
BMP4 (Bone Morphogenetic Protein 4 (BMP4))

适用

  • 80
  • 43
  • 38
  • 17
  • 11
  • 10
  • 8
  • 7
  • 5
  • 4
  • 4
  • 3
  • 3
  • 2
  • 1

宿主

  • 106
  • 25
  • 10
  • 1
  • 1

克隆类型

  • 102
  • 41
多克隆

标记

  • 69
  • 23
  • 11
  • 4
  • 3
  • 3
  • 3
  • 3
  • 3
  • 3
  • 3
  • 1
  • 1
  • 1
  • 1
  • 1
  • 1
  • 1
  • 1
  • 1
  • 1
  • 1
  • 1
  • 1
  • 1
  • 1
This BMP4 antibody is un-conjugated

应用范围

  • 116
  • 55
  • 38
  • 38
  • 30
  • 20
  • 15
  • 12
  • 6
  • 2
  • 1
  • 1
  • 1
  • 1
  • 1
Western Blotting (WB), Immunohistochemistry (IHC), ELISA
  • 抗原表位

    • 12
    • 6
    • 6
    • 5
    • 5
    • 4
    • 4
    • 3
    • 3
    • 3
    • 3
    • 2
    • 2
    • 2
    • 2
    • 2
    • 1
    • 1
    • 1
    • 1
    • 1
    • 1
    • 1
    • 1
    • 1
    • 1
    • 1
    • 1
    AA 5-34

    交叉反应 (详细)

    Expected species reactivity: Mouse, Bovine, Rabbit

    纯化方法

    Purified

    免疫原

    A portion of amino acids 5-34 from the human protein was used as the immunogen for this BMP4 antibody.

    亚型

    Ig Fraction
  • 应用备注

    Titration of the BMP4 antibody may be required due to differences in protocols and secondary/substrate sensitivity.\. Western blot: 1:1000,IHC (Paraffin): 1:10-1:50

    限制

    仅限研究用
  • 状态

    Liquid

    缓冲液

    In 1X PBS, pH 7.4, with 0.09 % sodium azide

    储存液

    Sodium azide

    注意事项

    This product contains Sodium azide: a POISONOUS AND HAZARDOUS SUBSTANCE which should be handled by trained staff only.

    储存条件

    -20 °C

    储存方法

    Aliquot the BMP4 antibody and store frozen at -20°C or colder. Avoid repeated freeze-thaw cycles.
  • 抗原

    BMP4 (Bone Morphogenetic Protein 4 (BMP4))

    别名

    BMP4

    背景

    Bmp4 is a member of the bone morphogenetic protein family which is part of the transforming growth factor-beta superfamily. The superfamily includes large families of growth and differentiation factors. Bone morphogenetic proteins were originally identified by an ability of demineralized bone extract to induce endochondral osteogenesis in vivo in an extraskeletal site. This particular family member plays an important role in the onset of endochondral bone formation in humans, and a reduction in expression has been associated with a variety of bone diseases, including the heritable disorder Fibrodysplasia Ossificans Progressiva. Alternative splicing in the 5' untranslated region of this gene has been described and three variants are described, all encoding an identical protein.

    UniProt

    P12644

    途径

    Steroid Hormone Mediated Signaling Pathway, Regulation of Muscle Cell Differentiation, Tube Formation, Skeletal Muscle Fiber Development
You are here: