电话:
+86 (0512) 65829739
传真:
+86 (010) 6788 5057
电子邮件:
orders@antibodies-online.cn

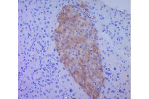
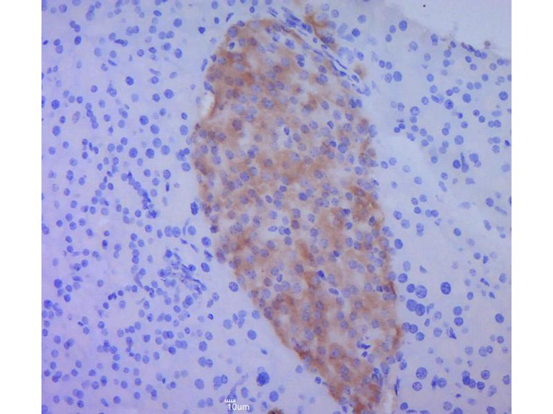
BMP4 抗体 (AA 251-350)

This 兔 多克隆 antibody specifically detects BMP4 in WB, ELISA 和 IHC (p). It exhibits reactivity toward 小鼠 和 绵羊.It has been mentioned in 1 publication
产品编号 ABIN685642
发货至: 中国
Contact our Customer Service for availability and price in your country. Contact Info

Our Local Distributor

中国
北京 101111
No. 88 KeChuang 6th Street
Beijing Economic Technological Development Area
Room 801-803
4A Biotech Co.,Ltd.
Tel +86 (0512) 65829739 传真 +86 (010) 6788 5057

Quick Overview for BMP4 抗体 (AA 251-350) (ABIN685642)

抗原

See all BMP4 抗体
BMP4 (Bone Morphogenetic Protein 4 (BMP4))

适用

  • 81
  • 43
  • 37
  • 17
  • 11
  • 10
  • 8
  • 6
  • 5
  • 4
  • 4
  • 3
  • 3
  • 2
  • 1
小鼠, 绵羊

宿主

  • 106
  • 25
  • 10
  • 1
  • 1

克隆类型

  • 102
  • 41
多克隆

标记

  • 69
  • 23
  • 11
  • 4
  • 3
  • 3
  • 3
  • 3
  • 3
  • 3
  • 3
  • 1
  • 1
  • 1
  • 1
  • 1
  • 1
  • 1
  • 1
  • 1
  • 1
  • 1
  • 1
  • 1
  • 1
  • 1
This BMP4 antibody is un-conjugated

应用范围

  • 116
  • 56
  • 38
  • 38
  • 30
  • 20
  • 15
  • 12
  • 5
  • 2
  • 1
  • 1
  • 1
  • 1
  • 1
Western Blotting (WB), ELISA, Immunohistochemistry (Paraffin-embedded Sections) (IHC (p))
  • 抗原表位

    • 12
    • 6
    • 6
    • 5
    • 5
    • 4
    • 4
    • 3
    • 3
    • 3
    • 2
    • 2
    • 2
    • 2
    • 2
    • 2
    • 2
    • 1
    • 1
    • 1
    • 1
    • 1
    • 1
    • 1
    • 1
    • 1
    • 1
    • 1
    AA 251-350

    交叉反应

    小鼠, 绵羊

    预测反应

    Human,Rat

    纯化方法

    Purified by Protein A.

    免疫原

    KLH conjugated synthetic peptide derived from rat BMP4

    亚型

    IgG
  • 应用备注

    WB 1:300-5000
    ELISA 1:500-1000
    IHC-P 1:200-400

    限制

    仅限研究用
  • 状态

    Liquid

    浓度

    1 μg/μL

    缓冲液

    0.01M TBS( pH 7.4) with 1 % BSA, 0.02 % Proclin300 and 50 % Glycerol.

    储存液

    ProClin

    注意事项

    This product contains ProClin: a POISONOUS AND HAZARDOUS SUBSTANCE, which should be handled by trained staff only.

    储存条件

    4 °C,-20 °C

    储存方法

    Shipped at 4°C. Store at -20°C for one year. Avoid repeated freeze/thaw cycles.

    有效期

    12 months
  • Wang, Zhao, Wang: "Umbilical cord blood cells regulate the differentiation of endogenous neural stem cells in hypoxic ischemic neonatal rats via the hedgehog signaling pathway." in: Brain research, Vol. 1560, pp. 18-26, (2014) (PubMed).

  • 抗原

    BMP4 (Bone Morphogenetic Protein 4 (BMP4))

    别名

    BMP4

    背景

    Synonyms: BMP 4, BMP2B, BMP2B1, Bone morphogenetic protein 4, DVR4, ZYME, BMP4_HUMAN, BMP-4, Bone morphogenetic protein 2B, BMP-2B.

    Background: BMPs (bone morphogenetic proteins) belong to the TGF beta superfamily of structurally related signaling proteins. Members of this superfamily are widely represented throughout the animal kingdom and have been implicated in a variety of developmental processes. Proteins of the TGF beta superfamily are disulfide-linked dimers composed of two 12-15 kDa polypeptide chains. As implied by their name, BMPs initiate, promote and regulate bone development, growth, remodeling and repair. Smad1 translocation to the nucleus is observed after the addition of BMP4 (also designated BMP2B), suggesting that BMP4 may play a role in activation of the Smad pathway. BMP is secreted into the extracellular matrix.

    途径

    Steroid Hormone Mediated Signaling Pathway, Regulation of Muscle Cell Differentiation, Tube Formation, Skeletal Muscle Fiber Development
You are here: