电话:
+86 (0512) 65829739
传真:
+86 (010) 6788 5057
电子邮件:
orders@antibodies-online.cn

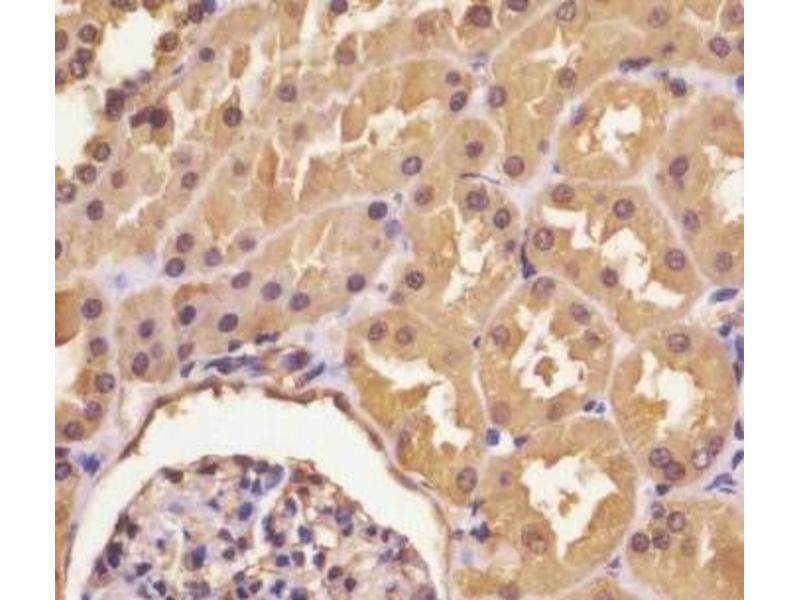
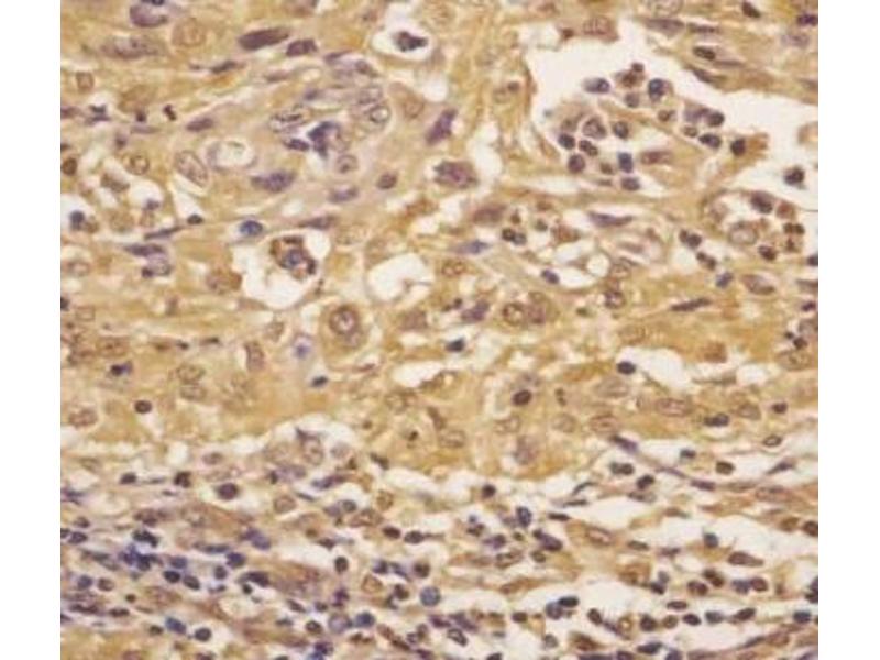
ASS1 抗体 (AA 192-221)

This 兔 多克隆 antibody specifically detects ASS1 in WB, IHC, ELISA, IF 和 FACS. It exhibits reactivity toward 人 和 小鼠.
产品编号 ABIN3030022
发货至: 中国
Contact our Customer Service for availability and price in your country. Contact Info

Our Local Distributor

中国
北京 101111
No. 88 KeChuang 6th Street
Beijing Economic Technological Development Area
Room 801-803
4A Biotech Co.,Ltd.
Tel +86 (0512) 65829739 传真 +86 (010) 6788 5057

Quick Overview for ASS1 抗体 (AA 192-221) (ABIN3030022)

抗原

See all ASS1 抗体
ASS1 (Argininosuccinate Synthase 1 (ASS1))

适用

  • 87
  • 42
  • 38
  • 8
  • 4
  • 4
  • 3
  • 3
  • 2
  • 2
  • 1
  • 1
  • 1
人, 小鼠

宿主

  • 72
  • 13
  • 2

克隆类型

  • 49
  • 38
多克隆

标记

  • 50
  • 6
  • 3
  • 3
  • 3
  • 3
  • 3
  • 3
  • 3
  • 3
  • 2
  • 2
  • 2
  • 1
This ASS1 antibody is un-conjugated

应用范围

  • 71
  • 55
  • 39
  • 33
  • 29
  • 18
  • 15
  • 9
  • 3
  • 1
Western Blotting (WB), Immunohistochemistry (IHC), ELISA, Immunofluorescence (IF), Flow Cytometry (FACS)
  • 抗原表位

    • 10
    • 8
    • 6
    • 5
    • 3
    • 3
    • 3
    • 2
    • 2
    • 2
    • 1
    • 1
    • 1
    • 1
    • 1
    • 1
    AA 192-221

    交叉反应 (详细)

    Expected species reactivity: Rat

    纯化方法

    Purified

    免疫原

    A portion of amino acids 192-221 from the human protein was used as the immunogen for this ASS1 antibody.

    亚型

    Ig Fraction
  • 应用备注

    Titration of the ASS1 antibody may be required due to differences in protocols and secondary/substrate sensitivity.\. Western blot: 1:1000,IHC (Paraffin): 1:50-1:100,Flow Cytometry: 1:10-1:50,Immunofluorescence: 1:10-1:50

    限制

    仅限研究用
  • 状态

    Liquid

    缓冲液

    In 1X PBS, pH 7.4, with 0.09 % sodium azide

    储存液

    Sodium azide

    注意事项

    This product contains Sodium azide: a POISONOUS AND HAZARDOUS SUBSTANCE which should be handled by trained staff only.

    储存条件

    -20 °C

    储存方法

    Aliquot the ASS1 antibody and store frozen at -20°C or colder. Avoid repeated freeze-thaw cycles.
  • 抗原

    ASS1 (Argininosuccinate Synthase 1 (ASS1))

    别名

    ASS1

    背景

    ASS catalyzes the penultimate step of the arginine biosynthetic pathway. There are approximately 10 to 14 copies of this gene including the pseudogenes scattered across the human genome, among which the one located on chromosome 9 appears to be the only functional gene for argininosuccinate synthetase.

    UniProt

    P00966

    途径

    Response to Growth Hormone Stimulus, Cellular Response to Molecule of Bacterial Origin
You are here: