电话:
+86 (0512) 65829739
传真:
+86 (010) 6788 5057
电子邮件:
orders@antibodies-online.cn

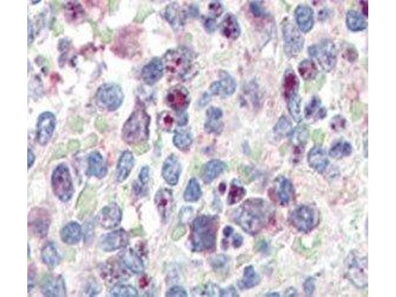
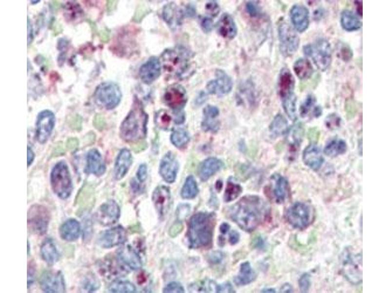
SNAIL 抗体 (AA 9-39)

The 兔 多克隆 anti-SNAIL antibody is suitable to detect SNAIL in samples from 人. It has been validated for WB, ELISA 和 IHC.
产品编号 ABIN3032657
发货至: 中国
Contact our Customer Service for availability and price in your country. Contact Info

Our Local Distributor

中国
北京 101111
No. 88 KeChuang 6th Street
Beijing Economic Technological Development Area
Room 801-803
4A Biotech Co.,Ltd.
Tel +86 (0512) 65829739 传真 +86 (010) 6788 5057

Quick Overview for SNAIL 抗体 (AA 9-39) (ABIN3032657)

抗原

See all SNAIL (SNAI1) 抗体
SNAIL (SNAI1)

适用

  • 85
  • 40
  • 19
  • 7
  • 3
  • 3
  • 3
  • 1
  • 1

宿主

  • 70
  • 13
  • 3
  • 2

克隆类型

  • 75
  • 13
多克隆

标记

  • 64
  • 5
  • 3
  • 2
  • 2
  • 2
  • 2
  • 2
  • 2
  • 2
  • 1
  • 1
This SNAIL antibody is un-conjugated

应用范围

  • 65
  • 42
  • 32
  • 20
  • 10
  • 6
  • 5
  • 3
  • 2
  • 2
  • 1
  • 1
  • 1
  • 1
Western Blotting (WB), ELISA, Immunohistochemistry (IHC)
  • 抗原表位

    • 14
    • 11
    • 10
    • 7
    • 4
    • 3
    • 2
    • 2
    • 2
    • 2
    • 2
    • 1
    • 1
    • 1
    • 1
    • 1
    • 1
    • 1
    • 1
    • 1
    • 1
    AA 9-39

    纯化方法

    Purified

    免疫原

    A portion of amino acids 9-39 from the human protein was used as the immunogen for this anti-SNAIL antibody.

    亚型

    Ig Fraction
  • 应用备注

    Titration of the anti-SNAIL antibody may be required due to differences in protocols and secondary/substrate sensitivity.\. Western blot: 1:1000,IHC (Paraffin): 1:10-1:50

    限制

    仅限研究用
  • 状态

    Liquid

    缓冲液

    In 1X PBS, pH 7.4, with 0.09 % sodium azide

    储存液

    Sodium azide

    注意事项

    This product contains Sodium azide: a POISONOUS AND HAZARDOUS SUBSTANCE which should be handled by trained staff only.

    储存条件

    -20 °C

    储存方法

    Aliquot the anti-SNAIL antibody and store frozen at -20°C or colder. Avoid repeated freeze-thaw cycles.
  • 抗原

    SNAIL (SNAI1)

    背景

    The Drosophila embryonic protein SNAI1, commonly known as Snail, is a zinc finger transcriptional repressor which downregulates the expression of ectodermal genes within the mesoderm. The nuclear protein encoded by this gene is structurally similar to the Drosophila snail protein, and is also thought to be critical for mesoderm formation in the developing embryo. At least two variants of a similar processed pseudogene have been found on chromosome 2. SNAI1 zinc-fingers (ZF) binds to E-box, an E-cadherin promoter region, and represses the expression of the adhesion molecule, which induces the tightly bound epithelial cells to break loose from each other and migrate into the developing embryo to become mesenchymal cells. This process allows for the formation of the mesodermal layer in the developing embryo. Though SNAI1 is shown to repress expression of E-cadherin in epithelial cells, studies have shown homozygous mutant embryos are still able to form a mesodermal layer. However, the mesodermal layer present shows characteristics of epithelial cells and not mesenchymal cells (the mutant mesoderm cells exhibited a polarized state). Other studies show that mutation of specific ZFs contribute to a decrease in SNAI1 E-cadherin repression. [Wiki]

    UniProt

    O95863

    途径

    Negative Regulation of intrinsic apoptotic Signaling
You are here: