电话:
+86 (0512) 65829739
传真:
+86 (010) 6788 5057
电子邮件:
orders@antibodies-online.cn

ENO2/NSE 抗体 (AA 416-433)

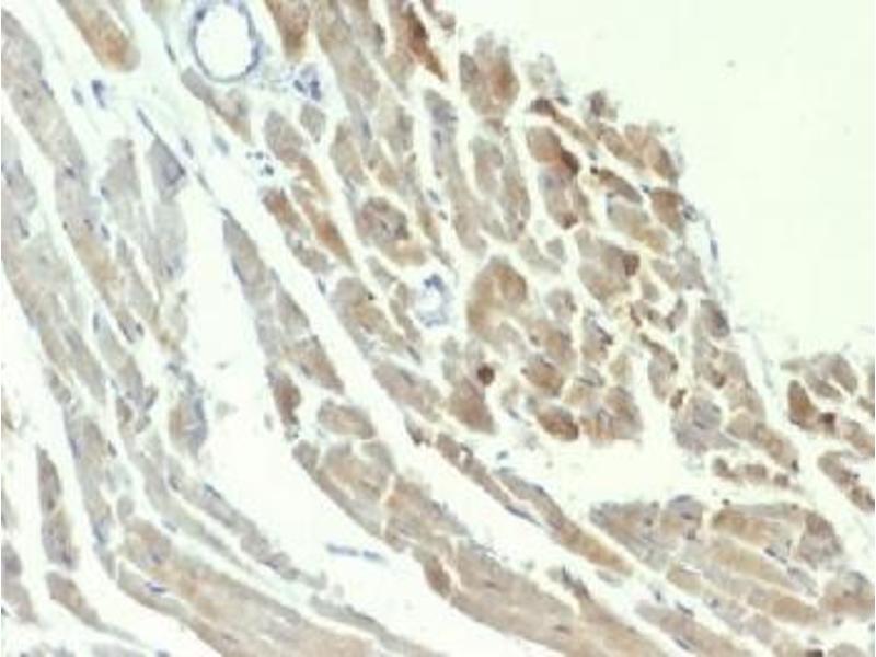
The 小鼠 单克隆 anti-ENO2/NSE antibody is suitable to detect ENO2/NSE in samples from 人, 小鼠 和 大鼠. It has been validated for WB, IF, FACS 和 IHC (p).
产品编号 ABIN4949836
发货至: 中国
Contact our Customer Service for availability and price in your country. Contact Info

Our Local Distributor

中国
北京 101111
No. 88 KeChuang 6th Street
Beijing Economic Technological Development Area
Room 801-803
4A Biotech Co.,Ltd.
Tel +86 (0512) 65829739 传真 +86 (010) 6788 5057

Quick Overview for ENO2/NSE 抗体 (AA 416-433) (ABIN4949836)

抗原

See all ENO2/NSE (ENO2) 抗体
ENO2/NSE (ENO2) (Enolase 2 (Gamma, Neuronal) (ENO2))

适用

  • 216
  • 98
  • 81
  • 6
  • 5
  • 5
  • 5
  • 5
  • 3
  • 3
  • 3
  • 3
  • 2
  • 2
  • 2
  • 2
  • 1
人, 小鼠, 大鼠

宿主

  • 122
  • 106
  • 5
  • 1
  • 1
小鼠

克隆类型

  • 119
  • 116
单克隆

标记

  • 116
  • 21
  • 17
  • 9
  • 6
  • 6
  • 3
  • 3
  • 3
  • 3
  • 3
  • 3
  • 2
  • 2
  • 2
  • 2
  • 2
  • 2
  • 2
  • 2
  • 2
  • 2
  • 2
  • 2
  • 2
  • 2
  • 2
  • 2
  • 2
  • 2
  • 2
  • 2
  • 1
  • 1
This ENO2/NSE antibody is un-conjugated

应用范围

  • 172
  • 107
  • 69
  • 43
  • 35
  • 33
  • 26
  • 26
  • 17
  • 13
  • 11
  • 9
  • 8
  • 6
  • 4
  • 3
  • 3
  • 2
  • 2
  • 1
  • 1
  • 1
  • 1
  • 1
Western Blotting (WB), Immunofluorescence (IF), Flow Cytometry (FACS), Immunohistochemistry (Paraffin-embedded Sections) (IHC (p))

克隆位点

ENO2-1375
  • 抗原表位

    • 31
    • 26
    • 9
    • 9
    • 9
    • 7
    • 7
    • 6
    • 2
    • 2
    • 2
    • 2
    • 2
    • 2
    • 1
    • 1
    • 1
    • 1
    • 1
    • 1
    • 1
    • 1
    • 1
    • 1
    • 1
    • 1
    AA 416-433

    纯化方法

    Protein G affinity chromatography

    免疫原

    Amino acids 416-433 of human Neuron Specific Enolase were used as the immunogen for this NSE antibody.

    亚型

    IgG2b
  • 应用备注

    The concentration stated for each application is a general starting point. Variations in protocols, secondaries and substrates may require the NSE antibody to be titered up or down for optimal performance.\. Western blot: 0.5-1 μg/mL,FACS: 0.5-1 μg/million cells in 0.1ml,IF: 1-2 μg/mL,IHC (FFPE): 0.1-0.2 μg/mL for 30 min at RT

    限制

    仅限研究用
  • 浓度

    1 mg/mL

    缓冲液

    1 mg/mL in 1X PBS, BSA free, sodium azide free

    储存液

    Azide free

    储存条件

    4 °C,-20 °C

    储存方法

    Store the NSE antibody at 2-8°C (with azide) or aliquot and store at -20°C or colder (without azide).
  • 抗原

    ENO2/NSE (ENO2) (Enolase 2 (Gamma, Neuronal) (ENO2))

    别名

    NSE / Neuron Specific Enolase

    背景

    Recognizes a protein of about 50  kDa, which is identified as gamma-Enolase/Neuron Specific Enolase/Enolase 2. Three isoenzymes of enolases are identified, alpha, beta and gamma. Alpha-isoform is expressed in most tissues, whereas beta-form is expressed predominantly in muscle tissue and gamma-enolase is found only in nervous tissue. These isoforms exist as both homodimers and heterodimers, and they play a role in converting phosphoglyceric acid to phosphenolpyruvic acid in the glycolytic pathway. NSE is a useful marker to identify peripheral nerves and tumors of neuro-endocrine origins, such as pheochromocytomas. It it be usually employed in combination with other markers such as Synaptophysin, Chromogranin A, and Neurofilament.

    基因ID

    2026
You are here: