电话:
+86 (0512) 65829739
传真:
+86 (010) 6788 5057
电子邮件:
orders@antibodies-online.cn

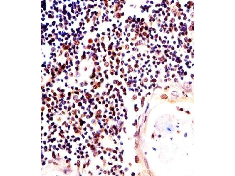
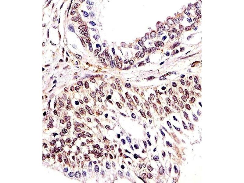
H2AFX 抗体

This 小鼠 单克隆 antibody specifically detects H2AFX in WB 和 IHC (p). It exhibits reactivity toward 人.
产品编号 ABIN4910434
发货至: 中国
Contact our Customer Service for availability and price in your country. Contact Info

Our Local Distributor

中国
北京 101111
No. 88 KeChuang 6th Street
Beijing Economic Technological Development Area
Room 801-803
4A Biotech Co.,Ltd.
Tel +86 (0512) 65829739 传真 +86 (010) 6788 5057

Quick Overview for H2AFX 抗体 (ABIN4910434)

抗原

See all H2AFX 抗体
H2AFX (H2A Histone Family, Member X (H2AFX))

适用

  • 203
  • 104
  • 90
  • 25
  • 25
  • 19
  • 15
  • 11
  • 8
  • 3
  • 2
  • 2
  • 2
  • 1
  • 1
  • 1

宿主

  • 181
  • 22
  • 2
  • 2
小鼠

克隆类型

  • 121
  • 86
单克隆

标记

  • 122
  • 10
  • 6
  • 6
  • 6
  • 6
  • 6
  • 6
  • 5
  • 4
  • 4
  • 3
  • 2
  • 2
  • 2
  • 2
  • 2
  • 2
  • 2
  • 2
  • 2
  • 2
  • 1
  • 1
  • 1
This H2AFX antibody is un-conjugated

应用范围

  • 174
  • 90
  • 72
  • 55
  • 45
  • 31
  • 30
  • 27
  • 25
  • 16
  • 8
  • 4
  • 4
  • 3
  • 2
  • 2
  • 2
  • 2
  • 1
  • 1
Western Blotting (WB), Immunohistochemistry (Paraffin-embedded Sections) (IHC (p))

克隆位点

8C5
  • 交叉反应

    纯化方法

    Purified monoclonal antibody supplied in PBS with 0.09% (W/V) sodium azide. This antibody is purified through a protein G column, eluted with high and low pH buffers and neutralized immediately, followed by dialysis against PBS.

    免疫原

    This H2AFX antibody is generated from mice immunized with a KLH conjugated synthetic peptide between 115-143 amino acids from the C-terminal region of human H2AFX.

    亚型

    IgG1
  • 应用备注

    WB 1:300-5000
    IHC-P 1:200-400

    限制

    仅限研究用
  • 状态

    Liquid

    浓度

    0.5 μg/μL

    缓冲液

    0.01M TBS( pH 7.4) with 1 % BSA, 0.02 % Proclin300 and 50 % Glycerol.

    储存液

    ProClin

    注意事项

    This product contains ProClin: a POISONOUS AND HAZARDOUS SUBSTANCE, which should be handled by trained staff only.

    储存条件

    4 °C,-20 °C

    储存方法

    Shipped at 4°C. Store at -20°C for one year. Avoid repeated freeze/thaw cycles.

    有效期

    12 months
  • 抗原

    H2AFX (H2A Histone Family, Member X (H2AFX))

    别名

    H2AFX

    背景

    Synonyms: H2AX, H2A.X, H2A/X, Histone H2AX, Histone H2A.X, H2AFX

    Background: Variant histone H2A which replaces conventional H2A in a subset of nucleosomes. Nucleosomes wrap and compact DNA into chromatin, limiting DNA accessibility to the cellular machineries which require DNA as a template. Histones thereby play a central role in transcription regulation, DNA repair, DNA replication and chromosomal stability. DNA accessibility is regulated via a complex set of post-translational modifications of histones, also called histone code, and nucleosome remodeling. Required for checkpoint-mediated arrest of cell cycle progression in response to low doses of ionizing radiation and for efficient repair of DNA double strand breaks (DSBs) specifically when modified by C-terminal phosphorylation.

    基因ID

    3014

    UniProt

    P16104

    途径

    Telomere Maintenance, DNA Damage Repair, Positive Regulation of Response to DNA Damage Stimulus
You are here: