电话:
+86 (0512) 65829739
传真:
+86 (010) 6788 5057
电子邮件:
orders@antibodies-online.cn

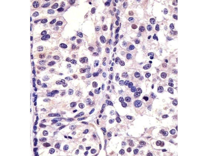
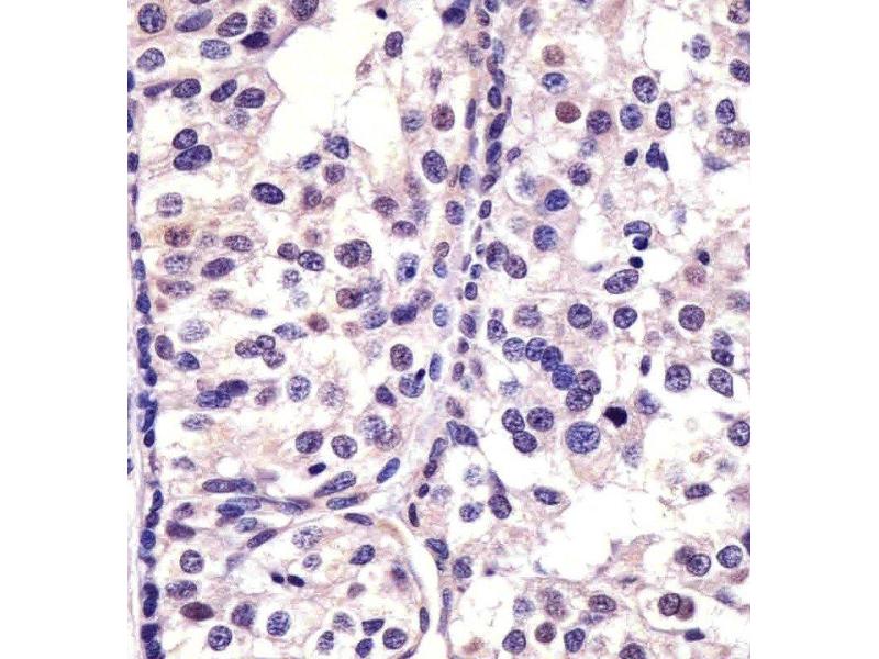
CDK4 抗体

The 小鼠 单克隆 anti-CDK4 antibody (Clone 9C3) (ABIN4907874) specifically detects CDK4 in WB 和 IHC (p). The antibody is reactive with 人 和 小鼠 samples.
产品编号 ABIN4907874
发货至: 中国
Contact our Customer Service for availability and price in your country. Contact Info

Our Local Distributor

中国
北京 101111
No. 88 KeChuang 6th Street
Beijing Economic Technological Development Area
Room 801-803
4A Biotech Co.,Ltd.
Tel +86 (0512) 65829739 传真 +86 (010) 6788 5057

Quick Overview for CDK4 抗体 (ABIN4907874)

抗原

See all CDK4 抗体
CDK4 (Cyclin-Dependent Kinase 4 (CDK4))

适用

  • 141
  • 81
  • 65
  • 19
  • 8
  • 6
  • 5
  • 4
  • 3
  • 1
  • 1
  • 1
人, 小鼠

宿主

  • 121
  • 38
  • 2
  • 1
小鼠

克隆类型

  • 95
  • 66
单克隆

标记

  • 92
  • 11
  • 9
  • 5
  • 4
  • 3
  • 3
  • 3
  • 3
  • 3
  • 3
  • 3
  • 2
  • 2
  • 2
  • 2
  • 1
  • 1
  • 1
  • 1
  • 1
  • 1
  • 1
  • 1
  • 1
  • 1
  • 1
  • 1
This CDK4 antibody is un-conjugated

应用范围

  • 138
  • 52
  • 48
  • 47
  • 43
  • 39
  • 22
  • 14
  • 13
  • 11
  • 6
  • 4
  • 2
  • 2
  • 1
  • 1
  • 1
  • 1
  • 1
Western Blotting (WB), Immunohistochemistry (Paraffin-embedded Sections) (IHC (p))

克隆位点

9C3
  • 交叉反应

    人, 小鼠

    纯化方法

    Purified by Protein G.

    免疫原

    This CDK4 antibody is generated from a mouse immunized with a recombinant protein.

    亚型

    IgG2a
  • 应用备注

    WB 1:300-5000
    IHC-P 1:200-400

    限制

    仅限研究用
  • 状态

    Liquid

    浓度

    0.5 μg/μL

    缓冲液

    0.01M TBS( pH 7.4) with 1 % BSA, 0.02 % Proclin300 and 50 % Glycerol.

    储存液

    ProClin

    注意事项

    This product contains ProClin: a POISONOUS AND HAZARDOUS SUBSTANCE, which should be handled by trained staff only.

    储存条件

    -20 °C

    储存方法

    Store at -20°C for 12 months.

    有效期

    12 months
  • 抗原

    CDK4 (Cyclin-Dependent Kinase 4 (CDK4))

    别名

    CDK4

    背景

    Synonyms: CMM3, PSK-J3, Cyclin-dependent kinase 4, Cell division protein kinase 4, CDK4

    Background: Ser/Thr-kinase component of cyclin D-CDK4 (DC) complexes that phosphorylate and inhibit members of the retinoblastoma (RB) protein family including RB1 and regulate the cell-cycle during G(1)/S transition. Phosphorylation of RB1 allows dissociation of the transcription factor E2F from the RB/E2F complexes and the subsequent transcription of E2F target genes which are responsible for the progression through the G(1) phase. Hypophosphorylates RB1 in early G(1) phase. Cyclin D-CDK4 complexes are major integrators of various mitogenenic and antimitogenic signals. Also phosphorylates SMAD3 in a cell-cycle-dependent manner and represses its transcriptional activity. Component of the ternary complex, cyclin D/CDK4/CDKN1B, required for nuclear translocation and activity of the cyclin D-CDK4 complex.

    基因ID

    1019

    UniProt

    P11802

    途径

    Cell Division Cycle, Mitotic G1-G1/S Phases, Regulation of Cell Size
You are here: