电话:
+86 (0512) 65829739
传真:
+86 (010) 6788 5057
电子邮件:
orders@antibodies-online.cn

CCT4 抗体 (AA 452-539)

The 兔 多克隆 anti-CCT4 antibody (ABIN4886514) specifically detects CCT4 in WB, IHC, IF, IP, FACS, ICC 和 IHC (fro). The antibody is reactive with 人, 小鼠 和 大鼠 samples.
产品编号 ABIN4886514
发货至: 中国
Contact our Customer Service for availability and price in your country. Contact Info

Our Local Distributor

中国
北京 101111
No. 88 KeChuang 6th Street
Beijing Economic Technological Development Area
Room 801-803
4A Biotech Co.,Ltd.
Tel +86 (0512) 65829739 传真 +86 (010) 6788 5057

Quick Overview for CCT4 抗体 (AA 452-539) (ABIN4886514)

抗原

See all CCT4 抗体
CCT4 (Chaperonin Containing TCP1, Subunit 4 (Delta) (CCT4))

适用

  • 38
  • 13
  • 11
  • 2
  • 1
  • 1
  • 1
  • 1
  • 1
  • 1
  • 1
  • 1
  • 1
  • 1
人, 小鼠, 大鼠

宿主

  • 38
  • 1

克隆类型

  • 38
  • 1
多克隆

标记

  • 20
  • 3
  • 2
  • 2
  • 2
  • 2
  • 2
  • 2
  • 1
  • 1
  • 1
  • 1
This CCT4 antibody is un-conjugated

应用范围

  • 24
  • 12
  • 10
  • 4
  • 2
  • 1
  • 1
  • 1
Western Blotting (WB), Immunohistochemistry (IHC), Immunofluorescence (IF), Immunoprecipitation (IP), Flow Cytometry (FACS), Immunocytochemistry (ICC), Immunohistochemistry (Frozen Sections) (IHC (fro))
  • 抗原表位

    • 8
    • 4
    • 2
    • 1
    • 1
    • 1
    • 1
    • 1
    • 1
    • 1
    • 1
    AA 452-539

    原理

    Anti-TCP1 delta/CCT4 Antibody

    交叉反应 (详细)

    No cross-reactivity with other proteins

    产品特性

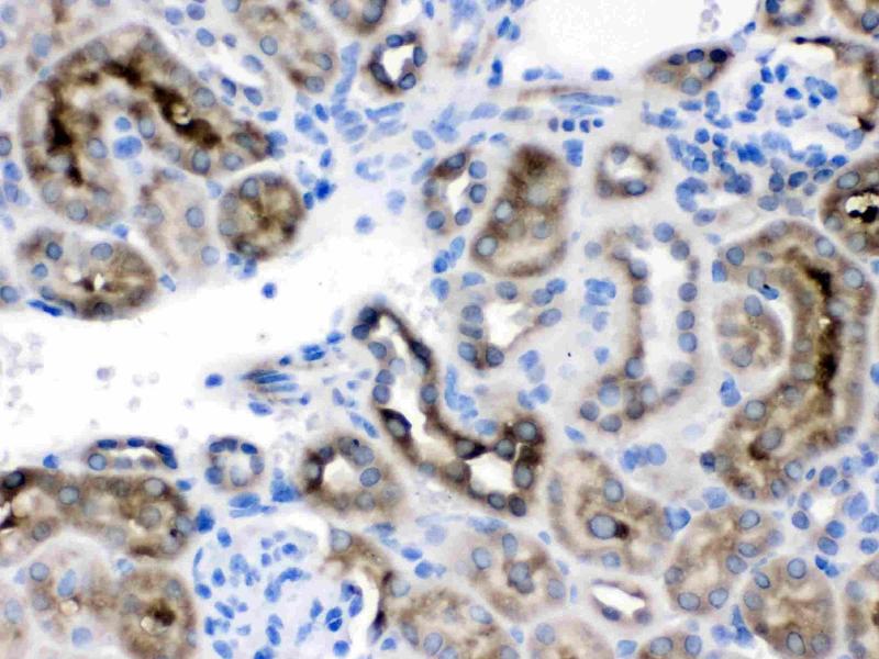
    Anti-TCP1 delta/CCT4 Antibody (ABIN4886514). Tested in Flow Cytometry, IF, IHC, IHC-F, ICC, WB applications. This antibody reacts with Human, Mouse, Rat. This is a premium antibody that guarantees superior quality, high affinity, and strong signals with minimal background in Western blot applications.

    纯化方法

    Immunogen affinity purified.

    免疫原

    E. coli-derived human CCT4 recombinant protein (Position: R452-R539). Human CCT4 shares 97.7% amino acid (aa) sequence identity with both mouse and rat CCT4.

    亚型

    IgG
  • 应用备注

    Western blot, 0.1-0.5 μg/mL, Human, Mouse, Rat
    Immunohistochemistry (Paraffin-embedded Section), 0.5-1 μg/mL, Human, Mouse, Rat
    Immunohistochemistry (Frozen Section), 0.5-1 μg/mL, Mouse, Rat
    Immunocytochemistry/Immunofluorescence, 2 μg/mL, Human, Mouse, Rat
    Immunoprecipitation, 0.5-2 μg/mL, Human
    Flow Cytometry (Fixed), 1-3 μg/1x106 cells, Human

    说明

    Antibody can be supported by chemiluminescence kit ABIN921124 in WB, supported by ABIN921231 in IHC(P) and ICC.

    限制

    仅限研究用
  • 状态

    Lyophilized

    溶解方式

    Add 0.2 mL of distilled water will yield a concentration of 500 μg/mL.

    浓度

    500 μg/mL

    缓冲液

    Each vial contains 5 mg BSA, 0.9 mg NaCl, 0.2 mg Na2HPO4, 0.01 mg Sodium azide.

    储存液

    Sodium azide

    注意事项

    This product contains Sodium azide: a POISONOUS AND HAZARDOUS SUBSTANCE which should be handled by trained staff only.

    注意事项

    Avoid repeated freezing and thawing.

    储存条件

    4 °C,-20 °C

    储存方法

    Store at -20°C for one year from date of receipt. After reconstitution, at 4°C for one month.
    It can also be aliquotted and stored frozen at -20°C for six months. Avoid repeated freeze-thaw cycles.
  • 抗原

    CCT4 (Chaperonin Containing TCP1, Subunit 4 (Delta) (CCT4))

    别名

    CCT4

    背景

    Synonyms: T-complex protein 1 subunit delta,TCP-1-delta,CCT-delta,Stimulator of TAR RNA-binding,CCT4,CCTD, SRB,

    Tissue Specificity: Expressed in the temporal lobe, frontal lobe, parietal lobe, hippocampus, and cerebellum. Also found in kidney, lung, liver, heart, skeletal muscle, placenta. .

    Background: T-complex protein 1 subunit delta is a protein that in humans is encoded by the CCT4 gene. This gene is mapped to 2p15. The chaperonin containing TCP1 complex (CCT), also called the TCP1 ring complex, consists of 2 back-to-back rings, each containing 8 unique but homologous subunits, such as CCT4. CCT assists the folding of newly translated polypeptide substrates through multiple rounds of ATP-driven release and rebinding of partially folded intermediate forms. Substrates of CCT include the cytoskeletal proteins actin and tubulin, as well as alpha-transducin.

    分子量

    58 kDa

    基因ID

    10575

    UniProt

    P50991

    途径

    Embryonic Body Morphogenesis
You are here: