电话:
+86 (0512) 65829739
传真:
+86 (010) 6788 5057
电子邮件:
orders@antibodies-online.cn

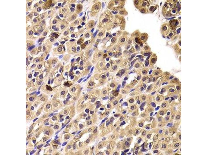
CCT4 抗体 (AA 130-390)

The 兔 多克隆 anti-CCT4 antibody is suitable to detect CCT4 in samples from 人. It has been validated for WB 和 IF.
产品编号 ABIN6138108
发货至: 中国
Contact our Customer Service for availability and price in your country. Contact Info

Our Local Distributor

中国
北京 101111
No. 88 KeChuang 6th Street
Beijing Economic Technological Development Area
Room 801-803
4A Biotech Co.,Ltd.
Tel +86 (0512) 65829739 传真 +86 (010) 6788 5057

Quick Overview for CCT4 抗体 (AA 130-390) (ABIN6138108)

抗原

See all CCT4 抗体
CCT4 (Chaperonin Containing TCP1, Subunit 4 (Delta) (CCT4))

适用

  • 38
  • 14
  • 12
  • 2
  • 1
  • 1
  • 1
  • 1
  • 1
  • 1
  • 1
  • 1
  • 1
  • 1

宿主

  • 38
  • 1

克隆类型

  • 38
  • 1
多克隆

标记

  • 20
  • 3
  • 2
  • 2
  • 2
  • 2
  • 2
  • 2
  • 1
  • 1
  • 1
  • 1
This CCT4 antibody is un-conjugated

应用范围

  • 24
  • 13
  • 10
  • 4
  • 3
  • 2
  • 1
  • 1
  • 1
  • 1
Western Blotting (WB), Immunofluorescence (IF)
  • 抗原表位

    • 8
    • 4
    • 2
    • 1
    • 1
    • 1
    • 1
    • 1
    • 1
    • 1
    • 1
    AA 130-390

    序列

    PTIISESFQK ALEKGIEILT DMSRPVELSD RETLLNSATT SLNSKVVSQY SSLLSPMSVN AVMKVIDPAT ATSVDLRDIK IVKKLGGTID DCELVEGLVL TQKVSNSGIT RVEKAKIGLI QFCLSAPKTD MDNQIVVSDY AQMDRVLREE RAYILNLVKQ IKKTGCNVLL IQKSILRDAL SDLALHFLNK MKIMVIKDIE REDIEFICKT IGTKPVAHID QFTADMLGSA ELAEEVNLNG SGKLLKITGC ASPGKTVTIV V

    交叉反应

    人, 小鼠, 大鼠

    产品特性

    Polyclonal Antibodies

    纯化方法

    Affinity purification

    免疫原

    Recombinant fusion protein containing a sequence corresponding to amino acids 130-390 of human CCT4 (NP_006421.2).

    亚型

    IgG
  • 应用备注

    WB,1:500 - 1:2000,IF,1:50 - 1:200

    说明

    HIGH QUALITY

    限制

    仅限研究用
  • 状态

    Liquid

    缓冲液

    PBS with 0.02 % sodium azide,50 % glycerol, pH 7.3.

    储存液

    Sodium azide

    注意事项

    This product contains Sodium azide: a POISONOUS AND HAZARDOUS SUBSTANCE which should be handled by trained staff only.

    储存条件

    -20 °C

    储存方法

    Store at -20°C. Avoid freeze / thaw cycles.
  • 抗原

    CCT4 (Chaperonin Containing TCP1, Subunit 4 (Delta) (CCT4))

    别名

    CCT4

    背景

    The chaperonin containing TCP1 (MIM 186980) complex (CCT), also called the TCP1 ring complex, consists of 2 back-to-back rings, each containing 8 unique but homologous subunits, such as CCT4. CCT assists the folding of newly translated polypeptide substrates through multiple rounds of ATP-driven release and rebinding of partially folded intermediate forms. Substrates of CCT include the cytoskeletal proteins actin (see MIM 102560) and tubulin (see MIM 191130), as well as alpha-transducin (MIM 139330) (Won et al., 1998 [PubMed 9819444]).[supplied by OMIM, Mar 2008],CCT4,CCT-DELTA,Cctd,SRB,Epigenetics & Nuclear Signaling,RNA Binding,Signal Transduction,CCT4

    分子量

    54 kDa/57 kDa

    基因ID

    10575

    UniProt

    P50991

    途径

    Embryonic Body Morphogenesis
You are here: