电话:
+86 (0512) 65829739
传真:
+86 (010) 6788 5057
电子邮件:
orders@antibodies-online.cn

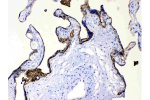
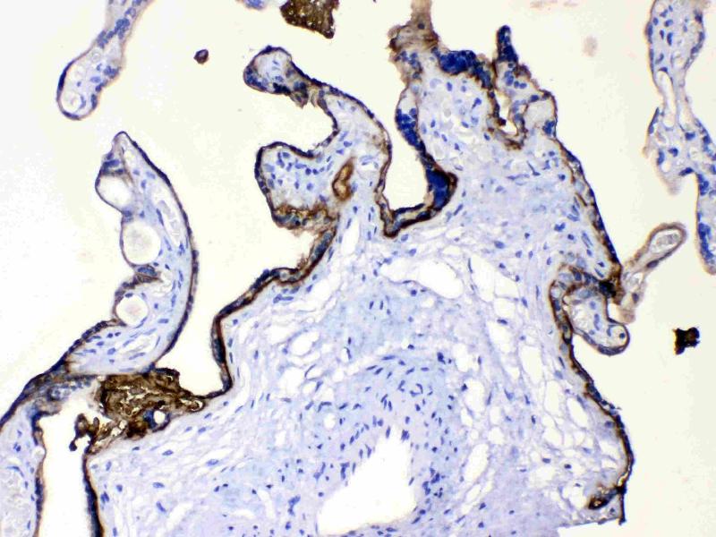
PLAP 抗体 (C-Term)

The 兔 多克隆 anti-PLAP antibody is suitable to detect PLAP in samples from 人. It has been validated for WB, IHC, IF, FACS 和 ICC.
产品编号 ABIN4886453
发货至: 中国
Contact our Customer Service for availability and price in your country. Contact Info

Our Local Distributor

中国
北京 101111
No. 88 KeChuang 6th Street
Beijing Economic Technological Development Area
Room 801-803
4A Biotech Co.,Ltd.
Tel +86 (0512) 65829739 传真 +86 (010) 6788 5057

Quick Overview for PLAP 抗体 (C-Term) (ABIN4886453)

抗原

See all PLAP (ALPP) 抗体
PLAP (ALPP) (Placental Alkaline Phosphatase (ALPP))

适用

  • 176
  • 25
  • 8
  • 2
  • 2
  • 2
  • 1
  • 1
  • 1
  • 1

宿主

  • 107
  • 71
  • 4
  • 2

克隆类型

  • 104
  • 75
  • 2
多克隆

标记

  • 99
  • 14
  • 5
  • 5
  • 5
  • 4
  • 3
  • 3
  • 3
  • 3
  • 3
  • 3
  • 2
  • 2
  • 2
  • 2
  • 2
  • 2
  • 2
  • 2
  • 2
  • 1
  • 1
  • 1
  • 1
  • 1
  • 1
  • 1
  • 1
  • 1
  • 1
  • 1
  • 1
  • 1
  • 1
This PLAP antibody is un-conjugated

应用范围

  • 125
  • 80
  • 54
  • 46
  • 45
  • 30
  • 19
  • 15
  • 13
  • 13
  • 11
  • 4
  • 4
  • 1
  • 1
  • 1
  • 1
  • 1
  • 1
  • 1
Western Blotting (WB), Immunohistochemistry (IHC), Immunofluorescence (IF), Flow Cytometry (FACS), Immunocytochemistry (ICC)
  • 抗原表位

    • 19
    • 16
    • 16
    • 7
    • 4
    • 3
    • 2
    • 2
    • 2
    • 2
    • 2
    • 2
    • 2
    • 1
    • 1
    • 1
    • 1
    • 1
    • 1
    • 1
    • 1
    • 1
    • 1
    • 1
    • 1
    AA 403-433, C-Term

    原理

    Anti-Placental alkaline phosphatase (PLAP)/ALPP Antibody

    序列

    KARDRKAYTV LLYGNGPGYV LKDGARPDVT E

    交叉反应 (详细)

    No cross-reactivity with other proteins

    产品特性

    Anti-Placental alkaline phosphatase (PLAP)/ALPP Antibody (ABIN4886453). Tested in Flow Cytometry, IF, IHC, ICC, WB applications. This antibody reacts with Human. This is a premium antibody that guarantees superior quality, high affinity, and strong signals with minimal background in Western blot applications.

    纯化方法

    Immunogen affinity purified.

    免疫原

    A synthetic peptide corresponding to a sequence at the C-terminus of human ALPP.

    亚型

    IgG
  • 应用备注

    Western blot, 0.1-0.5 μg/mL, Human
    Immunohistochemistry (Paraffin-embedded Section), 2-5 μg/mL, Human
    Immunocytochemistry/Immunofluorescence, 5 μg/mL, Human
    Immunofluorescence, 5 μg/mL, Human
    Flow Cytometry (Fixed), 1-3 μg/1x106 cells, Human

    说明

    Antibody can be supported by chemiluminescence kit ABIN921124 in WB, supported by ABIN921231 in IHC(P).

    限制

    仅限研究用
  • 状态

    Lyophilized

    溶解方式

    Add 0.2 mL of distilled water will yield a concentration of 500 μg/mL.

    浓度

    500 μg/mL

    缓冲液

    Each vial contains 4 mg Trehalose, 0.9 mg NaCl, 0.2 mg Na2HPO4, 0.05 mg Sodium azide.

    储存液

    Sodium azide

    注意事项

    This product contains Sodium azide: a POISONOUS AND HAZARDOUS SUBSTANCE which should be handled by trained staff only.

    注意事项

    Avoid repeated freezing and thawing.

    储存条件

    4 °C,-20 °C

    储存方法

    Store at -20°C for one year from date of receipt. After reconstitution, at 4°C for one month.
    It can also be aliquotted and stored frozen at -20°C for six months. Avoid repeated freeze-thaw cycles.
  • 抗原

    PLAP (ALPP) (Placental Alkaline Phosphatase (ALPP))

    别名

    ALPP

    背景

    Synonyms: Alkaline phosphatase, placental type,3.1.3.1,Alkaline phosphatase Regan isozyme,Placental alkaline phosphatase 1,PLAP-1,ALPP,PLAP,

    Tissue Specificity: Detected in placenta (at protein level). .

    Background: Alkaline phosphatase, placental type also known as placental alkaline phosphatase (PLAP) is an allosteric enzyme that in humans is encoded by the ALPP gene. The protein encoded by this gene is an alkaline phosphatase, a metalloenzyme that catalyzes the hydrolysis of phosphoric acid monoesters. It belongs to a multigene family composed of four alkaline phosphatase isoenzymes. The enzyme functions as a homodimer and has a catalytic site containing one magnesium and two zinc ions, which are required for its enzymatic function. The protein is primarily expressed in placental and endometrial tissue, however, strong ectopic expression has been detected in ovarian adenocarcinoma, serous cystadenocarcinoma, and other ovarian cancer cells.

    分子量

    70 kDa

    基因ID

    250

    UniProt

    P05187
You are here: