HMOX1 抗体
Our Local Distributor
北京 101111
Quick Overview for HMOX1 抗体 (ABIN462109)
抗原
See all HMOX1 抗体适用
宿主
克隆类型
标记
应用范围
-
-
纯化方法
- Protein A purified
-
免疫原
-
Synthetic peptide derived from sequence near the amino-terminus of human HO-1 (Hsp32).
Type of Immunogen: Synthetic peptide
-
-
-
-
应用备注
-
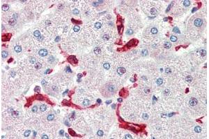
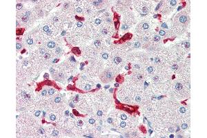
Approved: IHC, IHC-P (10 μg/mL), IP (1:100), WB (1:1000)
Usage: Immunohistochemistry: This antibody was validated for use in immunohistochemistry on a panel of 21 formalin-fixed, paraffin-embedded (FFPE) human tissues after heat induced antigen retrieval in pH 6.0 citrate buffer. After incubation with the primary antibody, slides were incubated with biotinylated secondary antibody, followed by alkaline phosphatase-streptavidin and chromogen. The stained slides were evaluated by a pathologist to confirm staining specificity. The optimal working concentration for this antibody was determined to be 10 μg/mL. -
说明
-
Target Species of Antibody: Human
-
限制
- 仅限研究用
-
-
-
状态
- Liquid
-
浓度
- Lot specific
-
缓冲液
- PBS, 0.09 % azide, 50 % glycerol
-
储存液
- Sodium azide
-
注意事项
- This product contains Sodium azide: a POISONOUS AND HAZARDOUS SUBSTANCE which should be handled by trained staff only.
-
注意事项
- Aliquot to Avoid freeze/thaw cycles.
-
储存条件
- -20 °C
-
储存方法
- Store at -20°C. Aliquot to avoid freeze/thaw cycles.
-
-
- HMOX1 (Heme Oxygenase (Decycling) 1 (HMOX1))
-
别名
- HMOX1 / HO-1
-
背景
-
Name/Gene ID: HMOX1
Synonyms: HMOX1, BK286B10, HO-1, HSP32, Heat shock protein, 32-kD, Heme oxygenase (decycling) 1, Heme oxygenase 1, HO1 -
基因ID
- 3162
-
UniProt
- P09601
-
途径
- Transition Metal Ion Homeostasis, Regulation of Leukocyte Mediated Immunity, Positive Regulation of Immune Effector Process, Production of Molecular Mediator of Immune Response, SARS-CoV-2 Protein Interactome
抗原
-