电话:
+86 (0512) 65829739
传真:
+86 (010) 6788 5057
电子邮件:
orders@antibodies-online.cn

CCR3 抗体 (N-Term)

This 兔 多克隆 antibody specifically detects CCR3 in WB, ELISA, IHC 和 IHC (p). It exhibits reactivity toward 人, 小鼠 和 大鼠.
产品编号 ABIN461875
发货至: 中国
Contact our Customer Service for availability and price in your country. Contact Info

Our Local Distributor

中国
北京 101111
No. 88 KeChuang 6th Street
Beijing Economic Technological Development Area
Room 801-803
4A Biotech Co.,Ltd.
Tel +86 (0512) 65829739 传真 +86 (010) 6788 5057

Quick Overview for CCR3 抗体 (N-Term) (ABIN461875)

抗原

See all CCR3 抗体
CCR3 (Chemokine (C-C Motif) Receptor 3 (CCR3))

适用

  • 106
  • 40
  • 35
  • 4
人, 小鼠, 大鼠

宿主

  • 71
  • 28
  • 5
  • 4

克隆类型

  • 62
  • 45
  • 1
多克隆

标记

  • 47
  • 10
  • 6
  • 5
  • 5
  • 3
  • 2
  • 2
  • 2
  • 2
  • 2
  • 2
  • 2
  • 1
  • 1
  • 1
  • 1
  • 1
  • 1
  • 1
  • 1
  • 1
  • 1
  • 1
  • 1
  • 1
  • 1
  • 1
  • 1
  • 1
  • 1
This CCR3 antibody is un-conjugated

应用范围

  • 59
  • 34
  • 28
  • 26
  • 16
  • 16
  • 13
  • 13
  • 13
  • 4
  • 3
  • 2
  • 1
  • 1
  • 1
  • 1
Western Blotting (WB), ELISA, Immunohistochemistry (IHC), Immunohistochemistry (Paraffin-embedded Sections) (IHC (p))
  • 抗原表位

    • 15
    • 8
    • 8
    • 6
    • 5
    • 3
    • 3
    • 1
    • 1
    • 1
    • 1
    • 1
    • 1
    • 1
    • 1
    • 1
    N-Term

    纯化方法

    Immunoaffinity purified

    亚型

    IgG
  • 应用备注

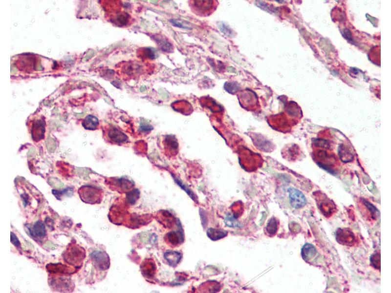
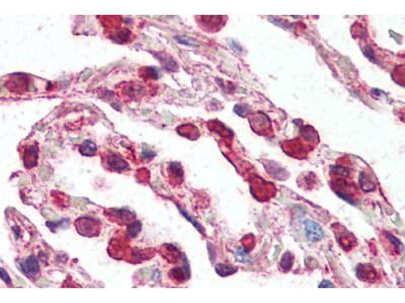
    Approved: ELISA, IHC, IHC-P (2.5 μg/mL), WB

    Usage: Immunohistochemistry: This antibody was validated for use in immunohistochemistry on a panel of 21 formalin-fixed, paraffin-embedded (FFPE) human tissues after heat induced antigen retrieval in  pH 6.0 citrate buffer. After incubation with the primary antibody, slides were incubated with biotinylated secondary antibody, followed by alkaline phosphatase-streptavidin and chromogen. The stained slides were evaluated by a pathologist to confirm staining specificity. The optimal working concentration for this antibody was determined to be 2.5 μg/mL.

    说明

    Target Species of Antibody: Human

    限制

    仅限研究用
  • 状态

    Liquid

    浓度

    Lot specific

    缓冲液

    PBS, 0.02 % sodium azide.

    储存液

    Sodium azide

    注意事项

    This product contains Sodium azide: a POISONOUS AND HAZARDOUS SUBSTANCE which should be handled by trained staff only.

    注意事项

    avoid freeze thaw cycles. Store undiluted.

    储存条件

    4 °C,-20 °C

    储存方法

    Store at 4°C for 3 months and -20°C, stable for up to 1 year. Avoid repeated freeze-thaw cycles.

    有效期

    12 months
  • 抗原

    CCR3 (Chemokine (C-C Motif) Receptor 3 (CCR3))

    别名

    CCR3

    背景

    Name/Gene ID: CCR3
    Subfamily: Chemokine
    Family: GPCR

    Synonyms: CCR3, C-C chemokine receptor type 3, B-chemokine receptor, CD193, CD193 antigen, Chemokine c-c motif receptor 3, C-C chemokine receptor 3, CKR3, CC-CKR-3, CCR-3, CMKBR3, Eosinophil eotaxin receptor, Eotaxin receptor, C-C CKR-3, CC chemokine receptor 3

    基因ID

    1232

    UniProt

    P51677
You are here: