电话:
+86 (0512) 65829739
传真:
+86 (010) 6788 5057
电子邮件:
orders@antibodies-online.cn

Ubiquilin 1 抗体 (Internal Region)

This 小鼠 单克隆 antibody specifically detects Ubiquilin 1 in WB, ELISA, IHC, IHC (p) 和 IP. It exhibits reactivity toward 人.
产品编号 ABIN396937
发货至: 中国
Contact our Customer Service for availability and price in your country. Contact Info

Our Local Distributor

中国
北京 101111
No. 88 KeChuang 6th Street
Beijing Economic Technological Development Area
Room 801-803
4A Biotech Co.,Ltd.
Tel +86 (0512) 65829739 传真 +86 (010) 6788 5057

Quick Overview for Ubiquilin 1 抗体 (Internal Region) (ABIN396937)

抗原

See all Ubiquilin 1 (UBQLN1) 抗体
Ubiquilin 1 (UBQLN1)

适用

  • 56
  • 28
  • 4
  • 2
  • 2
  • 2
  • 2
  • 2
  • 2
  • 1
  • 1

宿主

  • 50
  • 5
  • 2
小鼠

克隆类型

  • 53
  • 4
单克隆

标记

  • 32
  • 5
  • 4
  • 4
  • 3
  • 3
  • 1
  • 1
  • 1
  • 1
  • 1
  • 1
This Ubiquilin 1 antibody is un-conjugated

应用范围

  • 46
  • 34
  • 21
  • 9
  • 3
  • 3
  • 2
  • 1
  • 1
Western Blotting (WB), ELISA, Immunohistochemistry (IHC), Immunohistochemistry (Paraffin-embedded Sections) (IHC (p)), Immunoprecipitation (IP)

克隆位点

3D5E2
  • 抗原表位

    • 8
    • 7
    • 7
    • 6
    • 4
    • 3
    • 2
    • 2
    • 2
    • 1
    • 1
    • 1
    • 1
    • 1
    • 1
    • 1
    Internal Region

    特异性

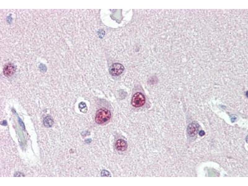
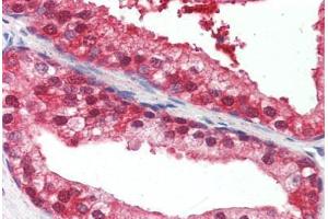
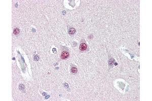
    Specific for the ubiquilin protein. On Western blots, it identifies a band at ~66kD. Reactivity has been confirmed with human HEK293 cell lysates.

    纯化方法

    Protein A purified

    免疫原

    Recombinant protein derived from an internal region of human ubiquilin.

    Type of Immunogen: Recombinant protein

    亚型

    IgG2b kappa
  • 应用备注

    Approved: ELISA (0.1 - 1 μg/mL), IHC, IHC-P (10 μg/mL), IP, WB (1 μg/mL)

    Usage: Immunohistochemistry: This antibody was validated for use in immunohistochemistry on a panel of 21 formalin-fixed, paraffin-embedded (FFPE) human tissues after heat induced antigen retrieval in  pH 6.0 citrate buffer. After incubation with the primary antibody, slides were incubated with biotinylated secondary antibody, followed by alkaline phosphatase-streptavidin and chromogen. The stained slides were evaluated by a pathologist to confirm staining specificity. The optimal working concentration for this antibody was determined to be 10 μg/mL. Immunoprecipitation: 2 μg/reaction. Use native protein.

    说明

    Target Species of Antibody: Human

    限制

    仅限研究用
  • 状态

    Liquid

    浓度

    Lot specific

    缓冲液

    PBS,  pH 7.4, 0.09 % sodium azide.

    储存液

    Sodium azide

    注意事项

    This product contains Sodium azide: a POISONOUS AND HAZARDOUS SUBSTANCE which should be handled by trained staff only.

    注意事项

    Avoid repeated freezing and thawing.

    储存条件

    4 °C,-20 °C

    储存方法

    Short term: 4°C. Long term: Store at -20°C. Avoid freeze-thaw cycles.
  • 抗原

    Ubiquilin 1 (UBQLN1)

    别名

    UBQLN1 / Ubiquilin

    背景

    Name/Gene ID: UBQLN1

    Synonyms: UBQLN1, DA41, HPLIC-1, PLIC-1, Ubiquilin, UBQN, XDRP1, DSK2, PLIC1, Ubiquilin 1, Ubiquilin-1

    基因ID

    29979

    UniProt

    Q9UMX0
You are here: