电话:
+86 (0512) 65829739
传真:
+86 (010) 6788 5057
电子邮件:
orders@antibodies-online.cn

Cytokeratin 18 抗体 (HRP)

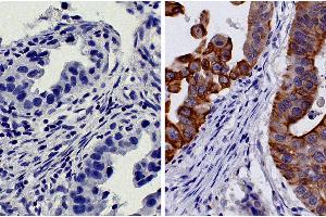
The HRP-conjugated 小鼠 单克隆 anti-Cytokeratin 18 antibody (Clone SB38b) (ABIN376344) specifically detects Cytokeratin 18 in WB, IHC, ELISA 和 ICC.
产品编号 ABIN376344
发货至: 中国
Contact our Customer Service for availability and price in your country. Contact Info

Our Local Distributor

中国
北京 101111
No. 88 KeChuang 6th Street
Beijing Economic Technological Development Area
Room 801-803
4A Biotech Co.,Ltd.
Tel +86 (0512) 65829739 传真 +86 (010) 6788 5057

Quick Overview for Cytokeratin 18 抗体 (HRP) (ABIN376344)

抗原

See all Cytokeratin 18 (KRT18) 抗体
Cytokeratin 18 (KRT18) (Keratin 18 (KRT18))

宿主

  • 198
  • 167
  • 3
  • 1
  • 1
  • 1
小鼠

克隆类型

  • 227
  • 141
  • 3
单克隆

标记

  • 182
  • 32
  • 22
  • 9
  • 6
  • 6
  • 6
  • 6
  • 6
  • 6
  • 5
  • 5
  • 5
  • 5
  • 5
  • 5
  • 5
  • 4
  • 4
  • 4
  • 4
  • 4
  • 4
  • 4
  • 4
  • 4
  • 4
  • 4
  • 2
  • 2
  • 2
  • 1
  • 1
  • 1
  • 1
  • 1
  • 1
This Cytokeratin 18 antibody is conjugated to HRP

应用范围

  • 309
  • 193
  • 126
  • 124
  • 78
  • 77
  • 60
  • 54
  • 47
  • 43
  • 33
  • 31
  • 13
  • 8
  • 7
  • 6
  • 5
  • 4
  • 2
  • 1
  • 1
Western Blotting (WB), Immunohistochemistry (IHC), ELISA, Immunocytochemistry (ICC)

克隆位点

SB38b
  • 亚型

    IgG2b
  • 应用备注

    Each laboratory should determine an optimum working titer for use in its particular application. Other applications have not been tested but use in such assays should not necessarily be excluded.

    样本量

    1 mL

    限制

    仅限研究用
  • 状态

    Liquid

    注意事项

    Protect conjugated products from light.
    Each reagent is stable for the period shown on the bottle label if stored as directed.

    储存条件

    4 °C
  • 抗原

    Cytokeratin 18 (KRT18) (Keratin 18 (KRT18))

    别名

    Cytokeratin 18

    途径

    Apoptosis, Caspase Cascade in Apoptosis
You are here: