C1S 抗体
Our Local Distributor
北京 101111
Quick Overview for C1S 抗体 (ABIN364242)
抗原
See all C1S 抗体适用
宿主
克隆类型
标记
应用范围
-
-
特异性
- Recognizes human C1s.
-
纯化方法
- Immunoaffinity purified
-
免疫原
-
Complement component 1 subunit (C1s) purified from human plasma.
Type of Immunogen: Purified protein -
亚型
- IgG
-
-
-
-
应用备注
-
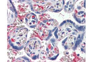
Approved: ELISA, IHC, IHC-P (5 μg/mL)
Usage: Immunohistochemistry: This antibody was validated for use in immunohistochemistry on a panel of 21 formalin-fixed, paraffin-embedded (FFPE) human tissues after heat induced antigen retrieval in pH 6.0 citrate buffer. After incubation with the primary antibody, slides were incubated with biotinylated secondary antibody, followed by alkaline phosphatase-streptavidin and chromogen. The stained slides were evaluated by a pathologist to confirm staining specificity. The optimal working concentration for this antibody was determined to be 5 μg/mL. -
说明
-
Target Species of Antibody: Human
-
限制
- 仅限研究用
-
-
-
状态
- Liquid
-
浓度
- Lot specific
-
缓冲液
- 10 mM HEPES, pH 7.4, 0.15 M sodium chloride, 50 % glycerol. No preservative added.
-
储存液
- Without preservative
-
注意事项
- Avoid repeat freeze-thaw cycles.
-
储存条件
- 4 °C,-20 °C
-
储存方法
- Short term: 4°C. Long term: Store at -20°C. Avoid freeze-thaw cycles.
-
-
- C1S (Complement Component 1, S Subcomponent (C1S))
-
别名
- Complement C1s
-
背景
-
Name/Gene ID: C1S
Subfamily: Serine S1
Family: Protease
Synonyms: C1S, C1 esterase, ComplementC1S, Complement 1s, Complement C1s subcomponent -
基因ID
- 716
-
UniProt
- P09871
-
途径
- Complement System
抗原
-