电话:
+86 (0512) 65829739
传真:
+86 (010) 6788 5057
电子邮件:
orders@antibodies-online.cn

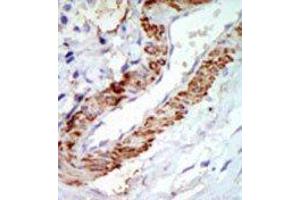
MAP3K8 抗体 (C-Term)

This 兔 多克隆 antibody specifically detects MAP3K8 in WB, IHC (p) 和 EIA. It exhibits reactivity toward 人.
产品编号 ABIN360298
发货至: 中国
Contact our Customer Service for availability and price in your country. Contact Info

Our Local Distributor

中国
北京 101111
No. 88 KeChuang 6th Street
Beijing Economic Technological Development Area
Room 801-803
4A Biotech Co.,Ltd.
Tel +86 (0512) 65829739 传真 +86 (010) 6788 5057

Quick Overview for MAP3K8 抗体 (C-Term) (ABIN360298)

抗原

See all MAP3K8 抗体
MAP3K8 (Mitogen-Activated Protein Kinase Kinase Kinase 8 (MAP3K8))

适用

  • 86
  • 41
  • 39
  • 7
  • 4
  • 4
  • 4
  • 2
  • 2
  • 1
  • 1

宿主

  • 85
  • 1

克隆类型

  • 85
  • 1
多克隆

标记

  • 37
  • 8
  • 7
  • 5
  • 3
  • 3
  • 2
  • 2
  • 2
  • 2
  • 2
  • 2
  • 1
  • 1
  • 1
  • 1
  • 1
  • 1
  • 1
  • 1
  • 1
  • 1
  • 1
This MAP3K8 antibody is un-conjugated

应用范围

  • 54
  • 40
  • 30
  • 15
  • 9
  • 7
  • 4
  • 3
  • 2
  • 2
  • 2
  • 2
  • 1
  • 1
Western Blotting (WB), Immunohistochemistry (Paraffin-embedded Sections) (IHC (p)), Enzyme Immunoassay (EIA)
  • 抗原表位

    • 20
    • 12
    • 9
    • 8
    • 7
    • 5
    • 3
    • 3
    • 3
    • 2
    • 2
    • 2
    • 1
    • 1
    • 1
    • 1
    • 1
    • 1
    • 1
    • 1
    • 1
    C-Term

    特异性

    This antibody reacts to COT (MAP3K8/MEKK8).

    纯化方法

    Protein G column, eluted with high and low pH buffers and neutralized immediately, followed by dialysis against PBS

    免疫原

    This antibody is generated from rabbits immunized with a KLH conjugated synthetic peptide selected from the C-terminal region of human MEKK8.

    亚型

    Ig Fraction
  • 应用备注

    ELISA: 1/1,000. Western blotting: 1/100 - 1/500. Immunohistochemistry: 1/50 - 1/100.
    Other applications not tested.
    Optimal dilutions are dependent on conditions and should be determined by the user.

    限制

    仅限研究用
  • 状态

    Liquid

    浓度

    0.25 mg/mL

    缓冲液

    PBS with 0.09 % (W/V) sodium azide

    储存液

    Sodium azide

    注意事项

    This product contains sodium azide: a POISONOUS AND HAZARDOUS SUBSTANCE which should be handled by trained staff only.

    注意事项

    Avoid repeated freezing and thawing.

    储存条件

    4 °C/-20 °C

    储存方法

    Store the antibody undiluted at 2-8 °C for one month or (in aliquots) at-20 °C for longer.
  • 抗原

    MAP3K8 (Mitogen-Activated Protein Kinase Kinase Kinase 8 (MAP3K8))

    别名

    MAP3K8 / TPL-2

    背景

    Mitogen-activated protein kinase (MAPK) signaling cascades include MAPK or extracellular signal-regulated kinase (ERK), MAPK kinase (MKK or MEK), and MAPK kinase kinase (MAPKKK or MEKK). MAPKK kinase/MEKK phosphorylates and activates its downstream protein kinase, MAPK kinase/MEK, which in turn activates MAPK. The kinases of these signaling cascades are highly conserved, and homologs exist in yeast, Drosophila, and mammalian cells. MEKK8 is able to activate NF-kappa-B 1 by stimulating proteasome-mediated proteolysis of NF-kappa-B 1/p105. The protein appears to play an important role in the cell cycle. This cytoplasmic protein is expressed in several normal tissues and human tumor-derived cell lines. The 58 kDa form is activated specifically during the S and G2/M phases of the cell cycle. The longer form undergoes phosphorylation on Ser residues mainly, and the shorter form on both Ser and Thr residues.Synonyms: COT, COT proto-oncogene serine/threonine-protein kinase, Cancer Osaka thyroid oncogene, ESTF, MAPK, Mitogen-activated protein kinase kinase kinase 8, Tumor progression locus 2, Tumor progression locus 2

    基因ID

    1326, 9606

    UniProt

    P41279

    途径

    PI3K-Akt Signaling, TCR Signaling
You are here: