电话:
+86 (0512) 65829739
传真:
+86 (010) 6788 5057
电子邮件:
orders@antibodies-online.cn

MAP3K8 抗体

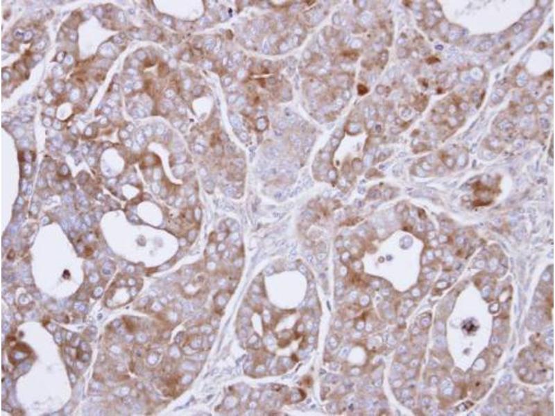
This 兔 多克隆 antibody specifically detects MAP3K8 in WB, IHC (p), IF 和 ICC. It exhibits reactivity toward 人.
产品编号 ABIN2855464
发货至: 中国
Contact our Customer Service for availability and price in your country. Contact Info

Our Local Distributor

中国
北京 101111
No. 88 KeChuang 6th Street
Beijing Economic Technological Development Area
Room 801-803
4A Biotech Co.,Ltd.
Tel +86 (0512) 65829739 传真 +86 (010) 6788 5057

Quick Overview for MAP3K8 抗体 (ABIN2855464)

抗原

See all MAP3K8 抗体
MAP3K8 (Mitogen-Activated Protein Kinase Kinase Kinase 8 (MAP3K8))

适用

  • 86
  • 41
  • 39
  • 7
  • 4
  • 4
  • 4
  • 2
  • 2
  • 1
  • 1

宿主

  • 85
  • 1

克隆类型

  • 85
  • 1
多克隆

标记

  • 37
  • 8
  • 7
  • 5
  • 3
  • 3
  • 2
  • 2
  • 2
  • 2
  • 2
  • 2
  • 1
  • 1
  • 1
  • 1
  • 1
  • 1
  • 1
  • 1
  • 1
  • 1
  • 1
This MAP3K8 antibody is un-conjugated

应用范围

  • 54
  • 40
  • 30
  • 15
  • 8
  • 7
  • 3
  • 3
  • 2
  • 2
  • 2
  • 2
  • 2
  • 1
Western Blotting (WB), Immunohistochemistry (Paraffin-embedded Sections) (IHC (p)), Immunofluorescence (IF), Immunocytochemistry (ICC)
  • 交叉反应

    人, 小鼠

    产品特性

    Rabbit Polyclonal antibody to MAP3K8 (mitogen-activated protein kinase kinase kinase 8)
    MAP3K8 antibody [N3C3]

    纯化方法

    Purified by antigen-affinity chromatography.

    免疫原

    Recombinant protein encompassing a sequence within the center region of human MAP3K8. The exact sequence is proprietary.

    亚型

    IgG
  • 应用备注

    WB: 1:5000-1:50000. ICC/IF: 1:100-1:1000. IHC-P: 1:100-1:1000. Optimal dilutions/concentrations should be determined by the researcher. Not tested in other applications.

    说明

    Positive Control: Lovo

    Validation: Orthogonal, Overexpression

    限制

    仅限研究用
  • 状态

    Liquid

    浓度

    0.33 mg/mL

    缓冲液

    1XPBS, 1 % BSA, 20 % Glycerol ( pH 7), 0.025 % ProClin 300

    储存液

    ProClin

    注意事项

    This product contains ProClin: a POISONOUS AND HAZARDOUS SUBSTANCE which should be handled by trained staff only.

    储存条件

    4 °C,-20 °C

    储存方法

    Store as concentrated solution. Centrifuge briefly prior to opening vial. For short-term storage (1-2 weeks), store at 4°C. For long-term storage, aliquot and store at -20°C or below. Avoid multiple freeze-thaw cycles.
  • 抗原

    MAP3K8 (Mitogen-Activated Protein Kinase Kinase Kinase 8 (MAP3K8))

    别名

    mitogen-activated protein kinase kinase kinase 8

    背景

    This gene was identified by its oncogenic transforming activity in cells. The encoded protein is a member of the serine/threonine protein kinase family. This kinase can activate both the MAP kinase and JNK kinase pathways. This kinase was shown to activate IkappaB kinases, and thus induce the nuclear production of NF-kappaB. This kinase was also found to promote the production of TNF-alpha and IL-2 during T lymphocyte activation. Studies of a similar gene in rat suggested the direct involvement of this kinase in the proteolysis of NF-kappaB1,p105 (NFKB1). This gene may also utilize a downstream in-frame translation start codon, and thus produce an isoform containing a shorter N-terminus. The shorter isoform has been shown to display weaker transforming activity.

    分子量

    53 kDa

    基因ID

    1326

    UniProt

    P41279

    途径

    PI3K-Akt Signaling, TCR Signaling
You are here: