电话:
+86 (0512) 65829739
传真:
+86 (010) 6788 5057
电子邮件:
orders@antibodies-online.cn

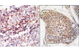
TEK 抗体 (C-Term)

The 兔 多克隆 anti-TEK antibody is suitable to detect TEK in samples from 人. It has been validated for WB, IHC (p) 和 EIA.
产品编号 ABIN359945
发货至: 中国
Contact our Customer Service for availability and price in your country. Contact Info

Our Local Distributor

中国
北京 101111
No. 88 KeChuang 6th Street
Beijing Economic Technological Development Area
Room 801-803
4A Biotech Co.,Ltd.
Tel +86 (0512) 65829739 传真 +86 (010) 6788 5057

Quick Overview for TEK 抗体 (C-Term) (ABIN359945)

抗原

See all TEK 抗体
TEK (TEK Tyrosine Kinase, Endothelial (TEK))

适用

  • 132
  • 65
  • 49
  • 22
  • 4
  • 3

宿主

  • 119
  • 24
  • 5
  • 3
  • 2
  • 1
  • 1

克隆类型

  • 125
  • 30
多克隆

标记

  • 80
  • 10
  • 9
  • 6
  • 4
  • 3
  • 3
  • 3
  • 3
  • 3
  • 3
  • 3
  • 3
  • 3
  • 3
  • 3
  • 3
  • 1
  • 1
  • 1
  • 1
  • 1
  • 1
  • 1
  • 1
  • 1
  • 1
This TEK antibody is un-conjugated

应用范围

  • 79
  • 58
  • 40
  • 40
  • 35
  • 32
  • 14
  • 13
  • 12
  • 9
  • 8
  • 7
  • 3
  • 2
  • 2
Western Blotting (WB), Immunohistochemistry (Paraffin-embedded Sections) (IHC (p)), Enzyme Immunoassay (EIA)
  • 抗原表位

    • 20
    • 19
    • 16
    • 8
    • 7
    • 6
    • 5
    • 4
    • 4
    • 4
    • 4
    • 3
    • 2
    • 2
    • 2
    • 2
    • 2
    • 1
    • 1
    • 1
    • 1
    • 1
    • 1
    • 1
    • 1
    • 1
    • 1
    • 1
    • 1
    • 1
    • 1
    • 1
    • 1
    • 1
    • 1
    • 1
    • 1
    • 1
    C-Term

    特异性

    This antiobdy recognizes TEK (TIE2).

    纯化方法

    Protein G Chromatography, eluted with high and low pH buffers and neutralized immediately, followed by dialysis against PBS

    免疫原

    This antibody is generated from rabbits immunized with a KLH conjugated synthetic peptide selected from the C-terminal region of human TEK.

    亚型

    Ig Fraction
  • 应用备注

    ELISA: 1/1,000. Western Blot: 1/50-1/100. Immunohistochemistry: 1/50-1/100.
    Other applications not tested.
    Optimal dilutions are dependent on conditions and should be determined by the user.

    限制

    仅限研究用
  • 状态

    Liquid

    浓度

    0.25 mg/mL

    缓冲液

    PBS with 0.09 % (W/V) Sodium Azide as preservative.

    储存液

    Sodium azide

    注意事项

    This product contains sodium azide: a POISONOUS AND HAZARDOUS SUBSTANCE which should be handled by trained staff only.

    注意事项

    Avoid repeated freezing and thawing.

    储存条件

    4 °C/-20 °C

    储存方法

    Store the antibody undiluted at 2-8 °C for one month or (in aliquots) at-20 °C for longer.
  • 抗原

    TEK (TEK Tyrosine Kinase, Endothelial (TEK))

    别名

    CD202b / TEK

    背景

    The TEK receptor tyrosine kinase is expressed almost exclusively in endothelial cells in mice, rats, and humans. This receptor possesses a unique extracellular domain containing 2 immunoglobulin-like loops separated by 3 epidermal growth factor-like repeats that are connected to 3 fibronectin type III-like repeats. The ligand for the receptor is angiopoietin-1. Defects in TEK are associated with inherited venous malformations, the TEK signaling pathway appears to be critical for endothelial cell-smooth muscle cell communication in venous morphogenesis. TEK is closely related to the TIE receptor tyrosine kinase.Synonyms: Angiopoietin-1 receptor, TIE-2, TIE2, Tunica interna endothelial cell kinase, Tyrosine-protein kinase receptor TEK, Tyrosine-protein kinase receptor TIE-2, p140 TEK

    基因ID

    7010, 9606

    UniProt

    Q02763

    途径

    RTK signaling, Growth Factor Binding
You are here: