电话:
+86 (0512) 65829739
传真:
+86 (010) 6788 5057
电子邮件:
orders@antibodies-online.cn

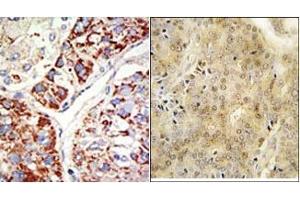
EZH1 抗体 (Middle Region)

This 兔 多克隆 antibody specifically detects EZH1 in WB, IHC (p) 和 EIA. It exhibits reactivity toward 人.
产品编号 ABIN357745
发货至: 中国
Contact our Customer Service for availability and price in your country. Contact Info

Our Local Distributor

中国
北京 101111
No. 88 KeChuang 6th Street
Beijing Economic Technological Development Area
Room 801-803
4A Biotech Co.,Ltd.
Tel +86 (0512) 65829739 传真 +86 (010) 6788 5057

Quick Overview for EZH1 抗体 (Middle Region) (ABIN357745)

抗原

See all EZH1 抗体
EZH1 (Enhancer of Zeste Homolog 1 (EZH1))

适用

  • 67
  • 39
  • 31
  • 5
  • 4
  • 3
  • 3
  • 2
  • 2
  • 2
  • 2
  • 2
  • 2
  • 1

宿主

  • 63
  • 4
  • 1

克隆类型

  • 64
  • 4
多克隆

标记

  • 37
  • 4
  • 4
  • 4
  • 1
  • 1
  • 1
  • 1
  • 1
  • 1
  • 1
  • 1
  • 1
  • 1
  • 1
  • 1
  • 1
  • 1
  • 1
  • 1
  • 1
  • 1
  • 1
This EZH1 antibody is un-conjugated

应用范围

  • 52
  • 31
  • 22
  • 13
  • 13
  • 10
  • 9
  • 6
  • 4
  • 4
  • 3
  • 1
  • 1
Western Blotting (WB), Immunohistochemistry (Paraffin-embedded Sections) (IHC (p)), Enzyme Immunoassay (EIA)
  • 抗原表位

    • 15
    • 8
    • 7
    • 6
    • 4
    • 3
    • 2
    • 2
    • 1
    • 1
    • 1
    • 1
    • 1
    • 1
    • 1
    • 1
    • 1
    Middle Region

    特异性

    This antibody is specific to EZH1 (Center).

    纯化方法

    Protein G Chromatography, eluted with high and low pH buffers and neutralized immediately, followed by dialysis against PBS.

    免疫原

    This antibody is generated from rabbits immunized with a KLH conjugated synthetic peptide selected from the center region of human EZH1.

    亚型

    Ig Fraction
  • 应用备注

    ELISA: 1/1,000. Western Blot: 1/50-1/100. Immunohistochemistry: 1/50-1/100.
    Other applications not tested.
    Optimal dilutions are dependent on conditions and should be determined by the user.

    限制

    仅限研究用
  • 状态

    Liquid

    浓度

    0.25 mg/mL

    缓冲液

    PBS with 0.09 % (W/V) Sodium Azide as preservative.

    储存液

    Sodium azide

    注意事项

    This product contains sodium azide: a POISONOUS AND HAZARDOUS SUBSTANCE which should be handled by trained staff only.

    注意事项

    Avoid repeated freezing and thawing.

    储存条件

    4 °C/-20 °C

    储存方法

    Store the antibody undiluted at 2-8 °C for one month or (in aliquots) at-20 °C for longer.
  • 抗原

    EZH1 (Enhancer of Zeste Homolog 1 (EZH1))

    别名

    EZH1

    背景

    EZH1 encodes a protein of 747 amino acids that displays 55 % amino acid identity overall with the Drosophila homolog.1 The strong sequence conservation suggested potential roles for EZH1 in human development as a transcriptional regulator and as a component of protein complexes that preserve heterochromatin stability. EZH1 is expressed as 2 major transcripts in all adult and fetal human tissues evaluated.. Analysis of an EZH1 cDNA revealed an unusual splicing event involving EZH1 and a tandemly linked gene GPR2 and suggested a potential mechanism for modifying the EZH1 protein in the conserved C-terminal domain. The GPR2 gene maps to 17q21.1-q21.3 in the vicinity of the BRCA1 gene.Synonyms: ENX-2, Enhancer of zeste homolog 1, Histone-lysine N-methyltransferase EZH1, KIAA0388

    分子量

    85270 Da

    基因ID

    2145, 9606

    UniProt

    Q92800
You are here: