电话:
+86 (0512) 65829739
传真:
+86 (010) 6788 5057
电子邮件:
orders@antibodies-online.cn

EZH1 抗体 (AA 160-280)

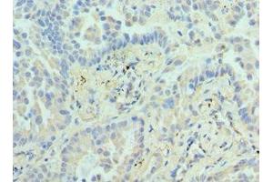
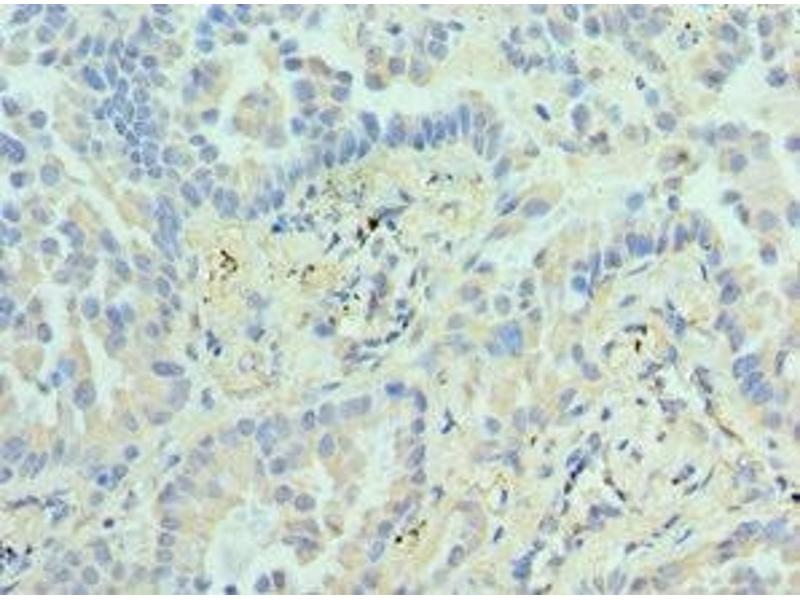
The 兔 多克隆 anti-EZH1 antibody is suitable to detect EZH1 in samples from 人. It has been validated for ELISA 和 IHC.
产品编号 ABIN7155474
发货至: 中国
Contact our Customer Service for availability and price in your country. Contact Info

Our Local Distributor

中国
北京 101111
No. 88 KeChuang 6th Street
Beijing Economic Technological Development Area
Room 801-803
4A Biotech Co.,Ltd.
Tel +86 (0512) 65829739 传真 +86 (010) 6788 5057

Quick Overview for EZH1 抗体 (AA 160-280) (ABIN7155474)

抗原

See all EZH1 抗体
EZH1 (Enhancer of Zeste Homolog 1 (EZH1))

适用

  • 67
  • 39
  • 31
  • 5
  • 4
  • 3
  • 3
  • 2
  • 2
  • 2
  • 2
  • 2
  • 2
  • 1

宿主

  • 63
  • 4
  • 1

克隆类型

  • 64
  • 4
多克隆

标记

  • 37
  • 4
  • 4
  • 4
  • 1
  • 1
  • 1
  • 1
  • 1
  • 1
  • 1
  • 1
  • 1
  • 1
  • 1
  • 1
  • 1
  • 1
  • 1
  • 1
  • 1
  • 1
  • 1
This EZH1 antibody is un-conjugated

应用范围

  • 53
  • 30
  • 21
  • 13
  • 13
  • 11
  • 9
  • 6
  • 4
  • 4
  • 3
  • 2
  • 1
ELISA, Immunohistochemistry (IHC)
  • 抗原表位

    • 15
    • 8
    • 7
    • 5
    • 4
    • 3
    • 2
    • 2
    • 1
    • 1
    • 1
    • 1
    • 1
    • 1
    • 1
    • 1
    • 1
    • 1
    AA 160-280

    原理

    EZH1 Antibody

    纯化方法

    Antigen Affinity Purified

    免疫原

    Recombinant Human Histone-lysine N-methyltransferase EZH1 protein (160-280AA)

    亚型

    IgG
  • 应用备注

    Optimal working dilution should be determined by the investigator.

    限制

    仅限研究用
  • 状态

    Liquid

    缓冲液

    PBS with 0.02 % sodium azide, 50 % glycerol, pH 7.3.

    储存液

    Sodium azide

    注意事项

    This product contains Sodium azide: a POISONOUS AND HAZARDOUS SUBSTANCE which should be handled by trained staff only.

    储存条件

    -20 °C,-80 °C

    储存方法

    Upon receipt, store at -20°C or -80°C. Avoid repeated freeze.
  • 抗原

    EZH1 (Enhancer of Zeste Homolog 1 (EZH1))

    别名

    EZH1

    背景

    Background: Polycomb group (PcG) protein. Catalytic subunit of the PRC2/EED-EZH1 complex, which methylates \\\'Lys-27\\\' of histone H3, leading to transcriptional repression of the affected target gene. Able to mono-, di- and trimethylate \\\'Lys-27\\\' of histone H3 to form H3K27me1, H3K27me2 and H3K27me3, respectively. Required for embryonic stem cell derivation and self-renewal, suggesting that it is involved in safeguarding embryonic stem cell identity. Compared to EZH2-containing complexes, it is less abundant in embryonic stem cells, has weak methyltransferase activity and plays a less critical role in forming H3K27me3, which is required for embryonic stem cell identity and proper differentiation.

    Aliases: Enhancer of zeste homolog 1 (Drosophila) antibody, Enhancer of zeste homolog 1 antibody, ENX-2 antibody, ENX2 antibody, Ezh1 antibody, EZH1_HUMAN antibody, Histone-lysine N-methyltransferase EZH1 antibody

    UniProt

    Q92800
You are here: